症例・治療例紹介
Cases
セラミック治療 → 前歯クラウン(オールセラミック)
1ページ目 / 73
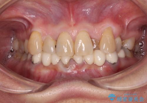
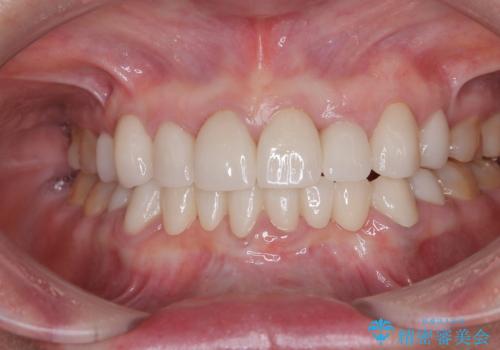
前歯の変色を改善し、本来の自然な美しさへ
担当医 河口智英


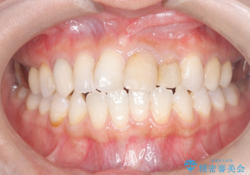
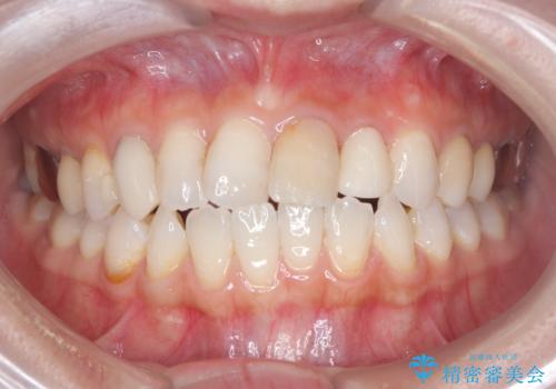
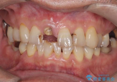
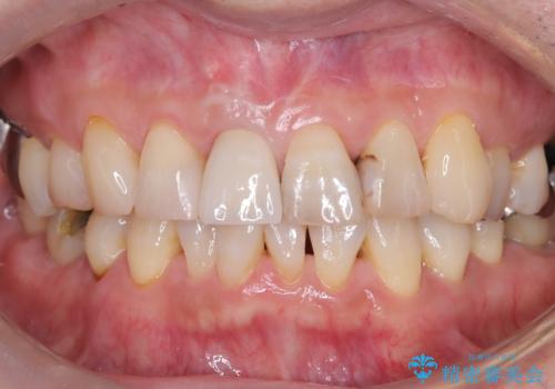
[セラミック治療] 前歯の審美治療に伴う矯正治療
![[セラミック治療] 前歯の審美治療に伴う矯正治療の症例 治療前](https://seimitsushinbi.jp/wp/wp-content/uploads/2025/07/f4514efaf8f4c349983b616a2063fe7c-500x350.jpg?v=1753874062)
![[セラミック治療] 前歯の審美治療に伴う矯正治療の症例 治療後](https://seimitsushinbi.jp/wp/wp-content/uploads/2025/07/IMG_9983-2-500x350.jpg?v=1753874235)
前歯の色が気になる オールセラミッククラウンで綺麗で健康な歯に
担当医 榊原康平


前歯が痛い!|歯の色が気になる!|精密根管治療後、オールセラミッククラウンで審美修復
担当医 河野豊嘉


神経を取って変色した歯 オールセラミッククラウンで綺麗に仕上げる


飛び出した前歯 インビザラインを用いた抜歯矯正治療


不自然な色彩の前歯 オールセラミッククラウンで自然な口元に


転んで折れてしまった前歯 インプラント補綴治療


【セラミッククラウン】歯の根元が欠けた、歯が揺れている気がする
担当医 町田睦月


前歯の見た目が気になる!|矮小歯をオールセラミッククラウンで綺麗な形に!|審美回復
担当医 河野豊嘉


歯周病でグラグラの歯 矯正治療と歯周外科を併用した総合歯科治療


外れるブリッジと気になる八重歯 総合歯科治療で美しい口元に


奥歯の咬み合わせのズレと前歯の突出感 変則的な抜歯矯正


折れた前歯を即時インプラントで回復


ニューヨークから1泊で通院 1DAYインプラント


セラミック治療の注意事項(リスク・副作用など)
- 天然歯を削ります
- 硬い素材は天然歯を傷つけてしまう場合があります
- かみ合わせや歯ぎしりが強すぎる方はセラミックが割れてしまう可能性があります
- 自費診療(保険適用外治療)となります
