症例・治療例紹介
Cases
最新の症例
すり減った前歯の形態回復
担当医 大元洋佑


定期健診で歯並びを相談 セラミックブラケットでのワイヤー矯正例


部分矯正とセラミック治療


前歯のがたつきをマウスピース矯正できれいに!
担当医 大元洋佑


マイクロインプラントで達成する出っ歯の後方移動


八重歯 インビザラインで抜歯矯正 ただし1本のみの抜歯で済みます


前歯のガタつき、下顎の前突感を治したい インビザライン矯正例
担当医 高悠莉


前歯の並び モニター治療で


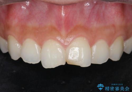
前歯が取れてしまった ジルコニアクラウンでの修復
担当医 岡田康成


【抜歯即時埋入即時過重】1DAYインプラント


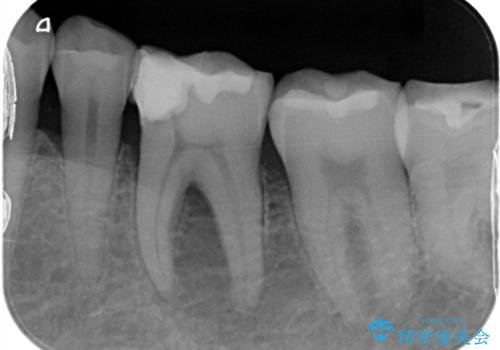
【根管治療】物が当たるだけで痛い


[ オールセラミッククラウン ] すき間の目立つ前歯をきれいにしたい!
担当医 大元洋佑
![[ オールセラミッククラウン ] すき間の目立つ前歯をきれいにしたい!の症例 治療前](https://seimitsushinbi.jp/wp/wp-content/uploads/2024/04/19ba00c303161603f49f83dcced20d62-500x350.jpg?v=1711938361)
![[ オールセラミッククラウン ] すき間の目立つ前歯をきれいにしたい!の症例 治療後](https://seimitsushinbi.jp/wp/wp-content/uploads/2024/04/bb98831568fd63b5e5898f71c37cebdf-500x350.jpg?v=1711938371)






