症例・治療例紹介
Cases
最新の症例
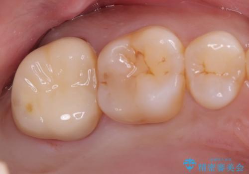
金の詰め物の中にある虫歯を除去してセラミック治療


【オールセラミッククラウン】海外に転居する前に治療したい
担当医 河口智英


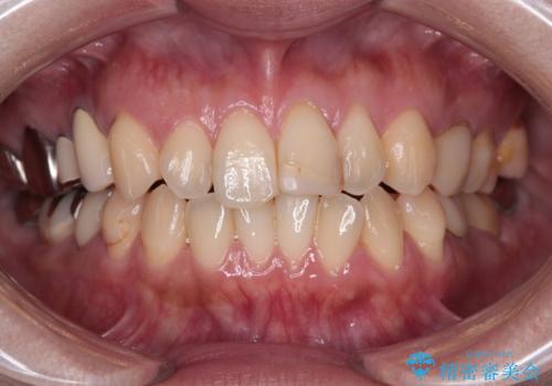
【非抜歯】インビザラインで正しい噛み合わせを


目立たない装置でデコボコを改善 ハーフリンガルによる矯正治療


【舌小帯切除術 即日手術!】舌が短くて滑舌が悪いのを治したい!
担当医 河野豊嘉


90度捻じれてしまい、完全にはみ出している歯を抜かずにインビザラインで治す。一般治療もできる精密審美会だからこその治療


舌小帯形成術で滑舌を向上!


閉じにくい口元をワイヤー抜歯矯正でスッキリ改善
担当医 藤巻太一朗


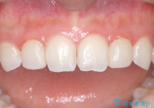
前歯をきれいにしたい オールセラミッククラウン
担当医 齋藤佑磨


インビザライン・モデレートを用いて気になる前歯を短期間で矯正治療
担当医 藤巻太一朗












