症例詳細
Case detail
目立たない装置でデコボコを改善 ハーフリンガルによる矯正治療
治療症例の内容
- 担当医
- 齋藤佑磨(ドクタープロフィール)
- 患者様
- 30代男性
- 矯正装置
- ハーフリンガル
- 治療期間
- 1年4ヶ月
- 治療回数
- 10-30回
- 治療計画
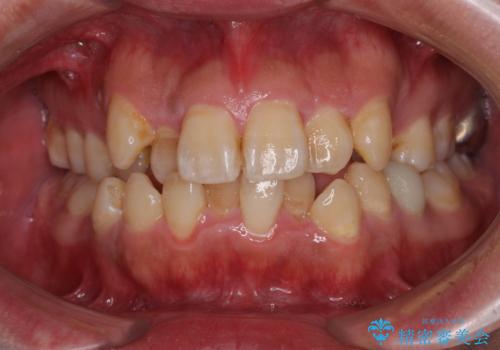
- 上下顎歯列のデコボコを改善したいとのことで来院された患者様です。
自己管理の大変なインビザラインや、目立つ表側のワイヤー矯正は避けたいとのことで、
上顎だけ裏側装置のハーフリンガルにて矯正しました。
- 費用(概算)
- 100万円(税込)費用は治療当時の料金となります
治療について
一年と数か月で矯正を終えることができました。
下顎前歯部には後戻り防止のワイヤーを装着しています。
ワイヤー矯正の注意事項(リスク・副作用など)
- 治療中は違和感や痛みが起こることがあります
- 症状により、抜歯が必要な場合があります
- 治療中は歯磨きがしにくくなるため、虫歯や歯周病になりやすくなります
- 矯正治療後の保定が不十分だと後戻り(元の位置に戻ろうとする動き)をします
- 自費診療(保険適用外)となります
当サイトの内容、テキスト、画像等の無断転載、複製、複写、盗用を固く禁じます。


























