症例・治療例紹介
Cases
最新の症例
【オールセラミッククラウン】根管治療も行いたい。
担当医 河口智英


治療中で放置 インプラントでしっかりと咬めるように


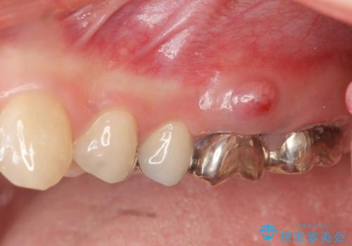
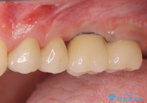
【外科的歯内療法】根管治療をしても違和感が残る
担当医 河口智英


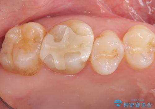
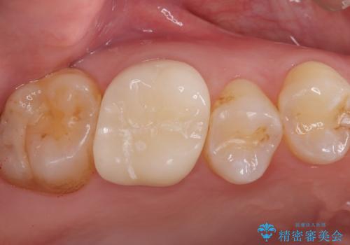
【奥歯のセラミッククラウン】他院で根管治療も必要だといわれた。
担当医 河口智英


虫歯・破折の放置により重度に吸収した歯槽骨 骨造成後のインプラント治療


前歯の悩みを非抜歯ワイヤー矯正で改善


抜歯後早期インプラント埋入で術直後から噛める仮歯が入る!


【非抜歯】前歯の反対咬合をマウスピースで治す


歪んだ歯列を超短期治療!


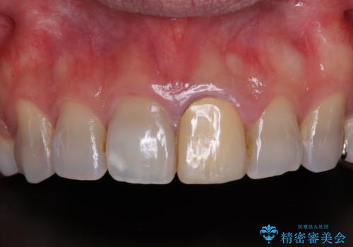
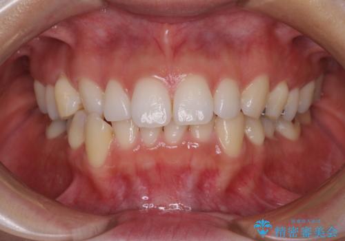
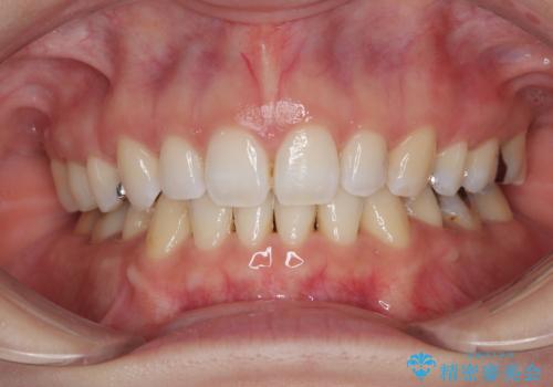
薬剤の影響で変色した歯を自然に オールセラミッククラウンによる審美歯科治療


【モニター】インビザラインで気になるデコボコと八重歯をきれいに整える
担当医 藤巻太一朗


顎先に梅干し皺ができる 閉じにくい唇を抜歯矯正で閉じやすく


上下のデコボコを治したい インビザラインによる矯正治療


急速拡大装置 狭い歯列を拡大してワイヤー装置で短期間治療




