症例・治療例紹介
Cases
最新の症例
[ マウスピース矯正] 前歯のがたつき 出っ歯に見える歯をきれいに
担当医 大元洋佑
![[ マウスピース矯正] 前歯のがたつき 出っ歯に見える歯をきれいに の症例 治療前](https://seimitsushinbi.jp/wp/wp-content/uploads/2025/04/IMG_0123-500x350.jpg?v=1744960747)
![[ マウスピース矯正] 前歯のがたつき 出っ歯に見える歯をきれいに の症例 治療後](https://seimitsushinbi.jp/wp/wp-content/uploads/2025/04/a5c1eab0aff12598c7b5c9fb710c2648-500x350.jpg?v=1744960670)
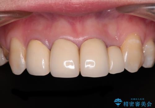
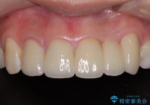
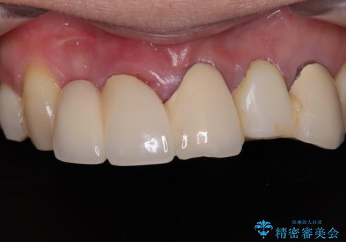
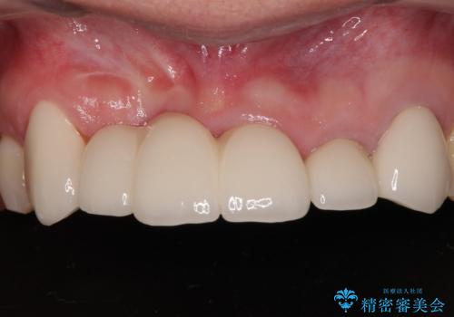
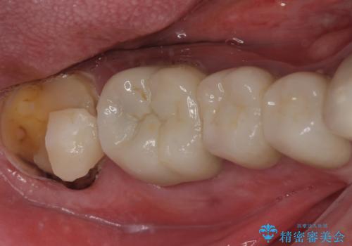
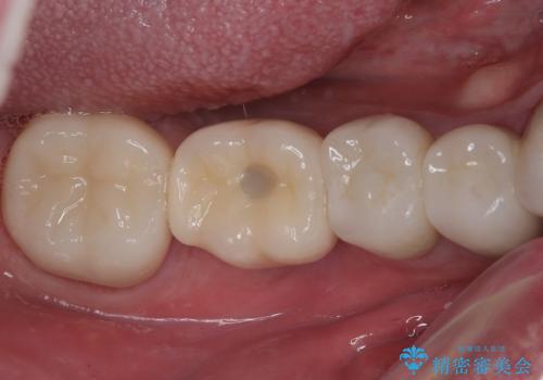
歯ぐきが腫れた フルジルコニアクラウン
担当医 小澤俊哉


【モニター】インビザライン 前歯の捻れを治したい


非接触の前歯と下顎のデコボコ ワイヤー装置による矯正治療


以前の治療箇所が痛む 全顎的なむし歯治療


前歯のデコボコをインビザラインで綺麗に
担当医 藤巻太一朗


八重歯を改善 ワイヤー装置での抜歯矯正


出っ歯と奥歯のむし歯 ワイヤー装置での抜歯矯正とセラミック治療


横顔の印象を変えたい ワイヤー装置での抜歯矯正


口元の突出感 抜歯矯正でスッキリした口元に


不具合の多い前歯 オールセラミックブリッジ治療


破折した奥歯 1DAYインプラントで短期間治療


下唇に前歯が引っかかる インビザライン矯正でスッキリした口元に


ものが噛めないほどの激痛 根管治療とセラミックのむし歯治療




