症例詳細
Case detail
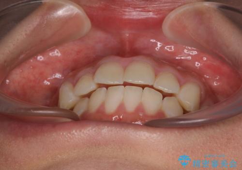
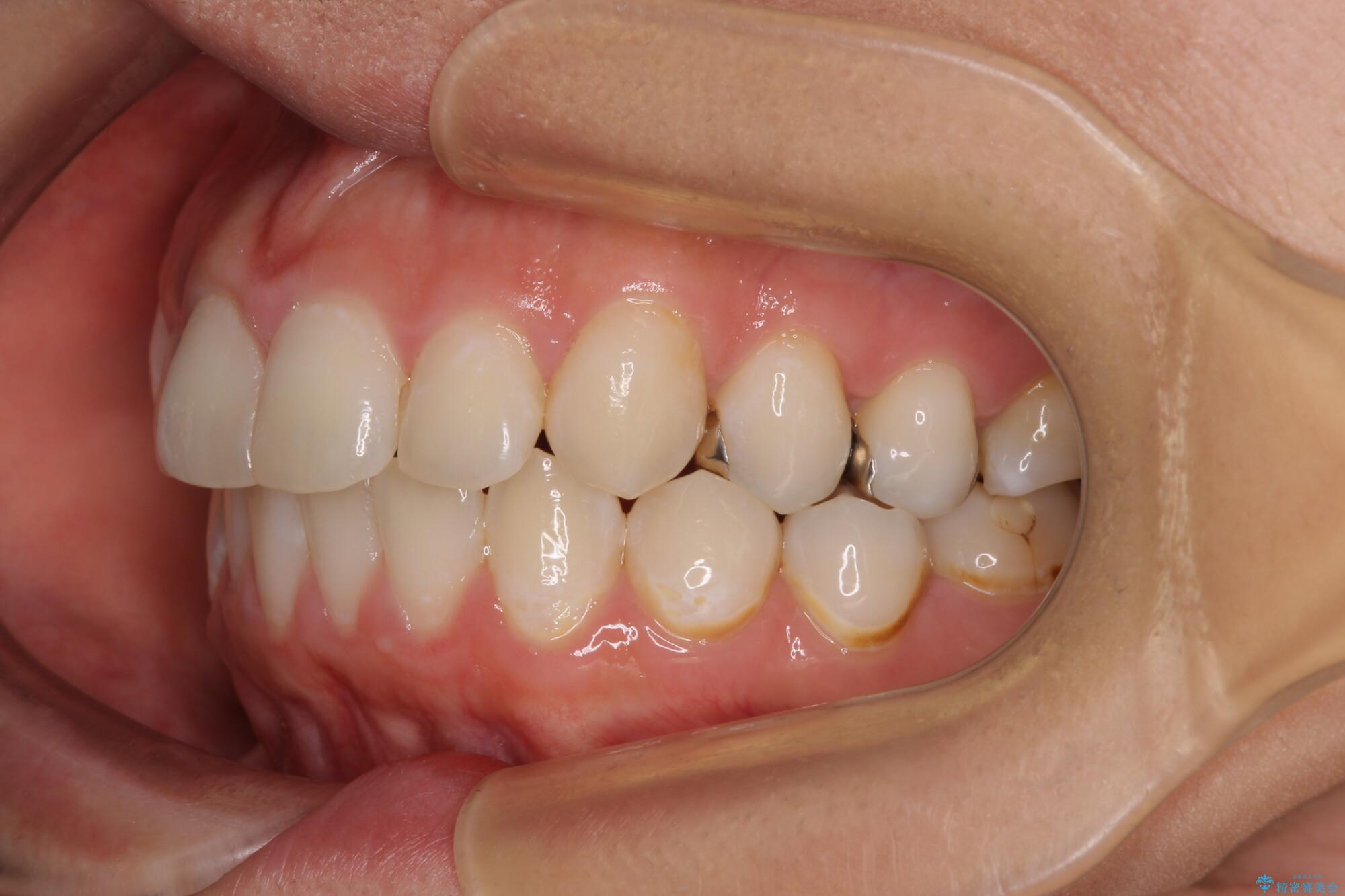
出っ歯と奥歯のむし歯 ワイヤー装置での抜歯矯正とセラミック治療
治療症例の内容
- 担当医
- 藤巻太一朗(ドクタープロフィール)
- 患者様
- 20代女性
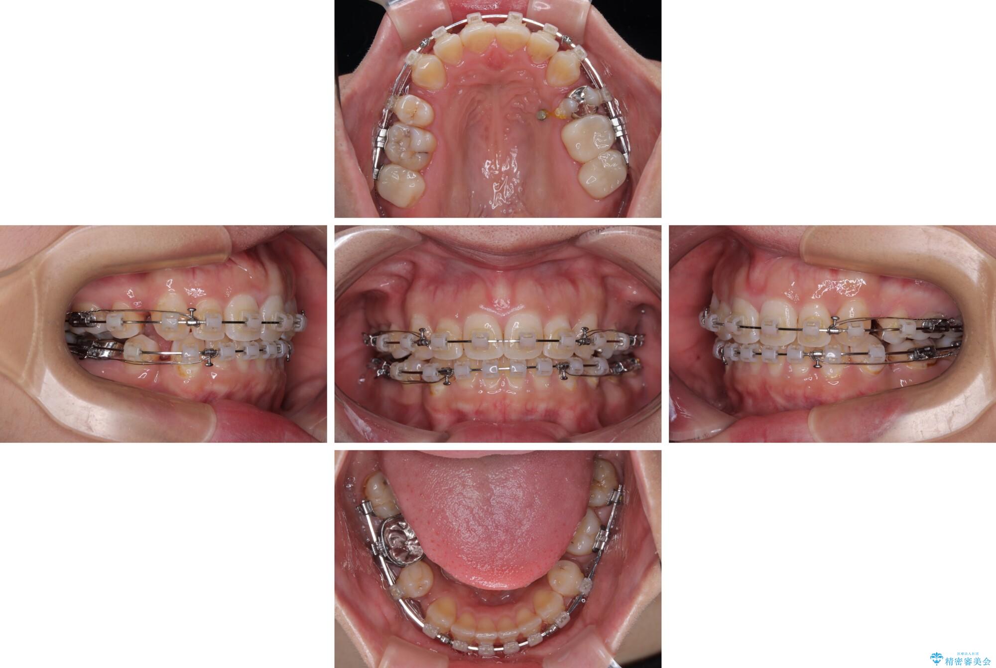
- 矯正装置
- クリアブラケット
- 治療期間
- 2年
- 治療回数
- 10-30回
- 治療計画
- 口元の突出感と奥歯のむし歯を気にして来院された患者様です。
奥歯の虫歯は事前に矯正治療用の仮歯に置き換えて矯正治療を行い、装置除去後にセラミッククラウンにて補綴治療を行うこととしました。
通常は上下左右の第一小臼歯4本を抜歯することになりますが、左側下顎の第二小臼歯は既に根管治療をされており、予後が良くないとのことでこの歯を抜歯し、ワイヤー装置にて矯正治療を行うこととしました。
- 費用(概算)
- 治療費の目安: 140万円(税込)費用は治療当時の料金となります
治療について
第二小臼歯抜歯はイレギュラーな治療手段であり、治療期間が延びる傾向にありますが、予定よりも早い2年間で終えることができました。
ワイヤー矯正の注意事項(リスク・副作用など)
- 治療中は違和感や痛みが起こることがあります
- 症状により、抜歯が必要な場合があります
- 治療中は歯磨きがしにくくなるため、虫歯や歯周病になりやすくなります
- 矯正治療後の保定が不十分だと後戻り(元の位置に戻ろうとする動き)をします
- 自費診療(保険適用外)となります
セラミック治療の注意事項(リスク・副作用など)
- 天然歯を削ります
- 硬い素材は天然歯を傷つけてしまう場合があります
- かみ合わせや歯ぎしりが強すぎる方はセラミックが割れてしまう可能性があります
- 自費診療(保険適用外治療)となります
当サイトの内容、テキスト、画像等の無断転載、複製、複写、盗用を固く禁じます。


























