症例・治療例紹介
Cases
最新の症例
難症例の奥歯も3ヶ月で機能回復!抜歯即時インプラントでスピード解決


前歯が痛い!|歯の色が気になる!|精密根管治療後、オールセラミッククラウンで審美修復
担当医 河野豊嘉


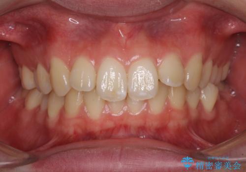
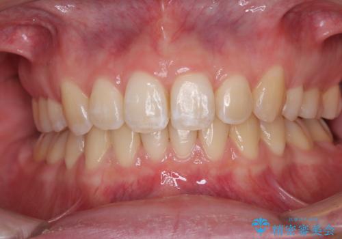
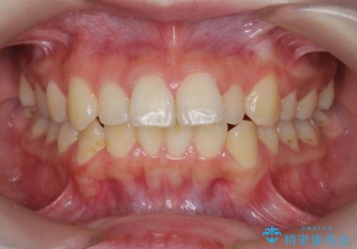
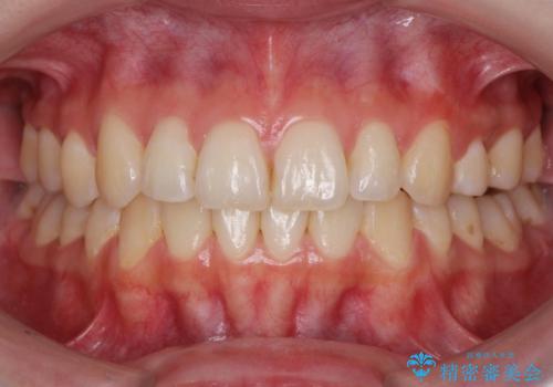
歯のデコボコ|口ボコ|八重歯が気になる!|ワイヤー矯正


歯がボロボロで咬合崩壊 矯正・インプラント・セラミックで実現する、酸蝕症の総合治療
担当医 河口智英


がたつきと出っ歯 ワイヤー矯正での歯並び改善


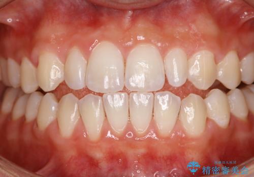
染め出しをしてエアフローで綺麗にクリーニング
担当医 歯科衛生士


歯を綺麗にしたい!
担当医 歯科衛生士


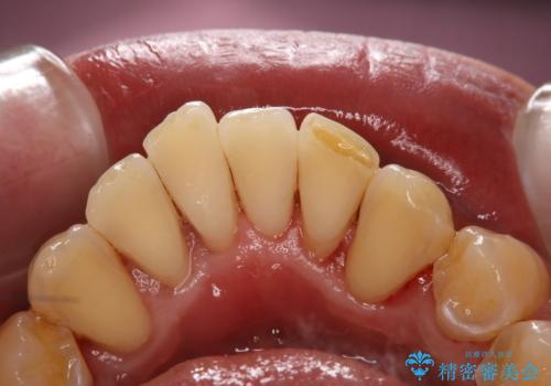
歯石除去で舌触りの変化
担当医 歯科衛生士


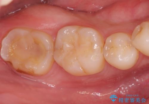
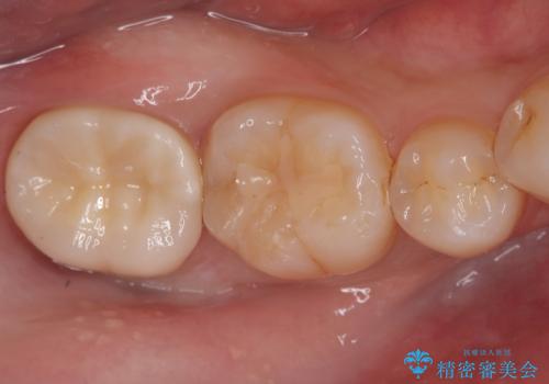
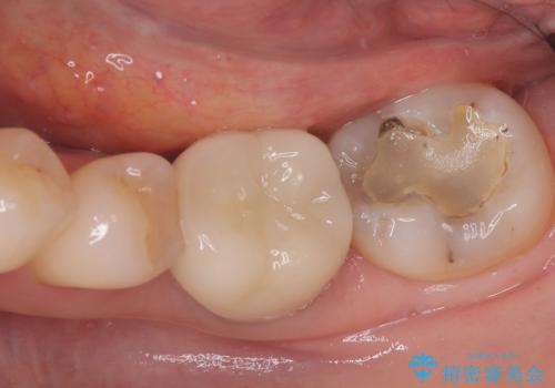
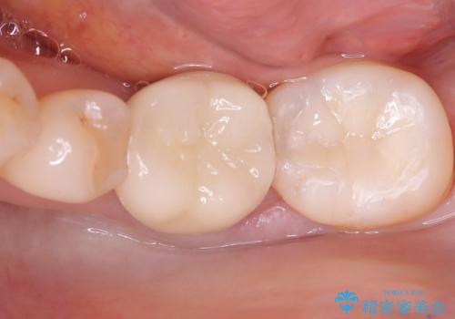
セラミッククラウンによる奥歯の修復
担当医 河口智英


上の前歯が下唇に引っかかる 口元を引っ込めすぎない抜歯矯正治療












