症例・治療例紹介
Cases
最新の症例
歯と歯の間によくものが詰まる。。セラミック治療


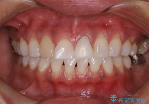
[ インビザライン ]前歯のガタつきを治したい
担当医 大元洋佑
![[ インビザライン ]前歯のガタつきを治したいの症例 治療前](https://seimitsushinbi.jp/wp/wp-content/uploads/2022/08/IMG_0012-1-500x350.jpg?v=1659601611)
![[ インビザライン ]前歯のガタつきを治したいの症例 治療後](https://seimitsushinbi.jp/wp/wp-content/uploads/2022/08/IMG_0146-500x350.jpg?v=1659601570)
以前治療した詰め物が欠けた オールセラミッククラウンによる補綴
担当医 齋藤佑磨


やや難ケース 上の歯を抜かずに歯列を後ろに下げて治療 4本ではなく下1本のみの抜歯できれいに


全体的な虫歯治療


エクセレントコース2回で白い被せ物と同じ色見になった(オフィスホワイトニング)
担当医 歯科衛生士


インビザライン矯正 短期間でがたつきのない歯並びに!


ワイヤー矯正中はたった1ヶ月でとても汚れがたまる
担当医 歯科衛生士


クリーニングにより黄ばみがとれた
担当医 歯科衛生士


お口の中全体にプラーク(歯垢)が付着している方のクリーニンング
担当医 歯科衛生士












