症例詳細
Case detail
エクセレントコース2回で白い被せ物と同じ色見になった(オフィスホワイトニング)
治療症例の内容
- 診療科目
- 治療カテゴリ
- 患者様
- 40代女性
- 治療期間
- 1日
- 治療回数
- 1回
- 治療計画
- 前歯の被せ物に合わせて白くしてほしいとのことで来院されました。
ホワイトニングのエクセレントコースを2回とPMTC30分コースを行いました。
- 費用(概算)
- 61,300円費用は治療当時の料金となります
治療について
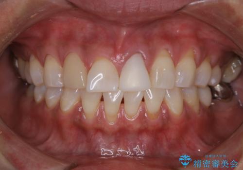
PMTC30分コースとオフィスホワイトニングのエクセレントコースを2回行った患者様です。
左上1番目を白いセラミックを希望しているため、仮歯も白いものを入れています。右上2番目はラミネートべニアになります。その他は天然歯です。
1回のホワイトニングでは、左上1番ほど白くなりませんでした。
2回目のホワイトニングで全体的に白くなりました。逆にラミネートべニアが浮いてきてしまいました。2回でホワイトニング効果はかなり出ましたが、ここからはホームホワイトニングを2週間行ってもらいより白さの定着、持続を高めていきます。
ラミネートべニアは10年前に治療しているため裏側に段差ができているためこのタイミングでやり替えることをおすすめしています。
担当歯科衛生士
表参道しらゆり歯科 DH富田
ホワイトニングの注意事項(リスク・副作用など)
- 知覚過敏が出ることがあります
- ホワイトバンドや白い斑点が出ることがあります
- クラウンやインレー等の補綴物には効果がありません
- ホワイトニングによる効果や持続期間には個人差があります
- 歯牙の状態によっては適応できないことがあります
- 保険適用外となります
PMTCの注意事項(リスク・副作用など)
- 歯を白くする目的の施術ではありません
- 保険適用外となります
当サイトの内容、テキスト、画像等の無断転載、複製、複写、盗用を固く禁じます。



