症例・治療例紹介
Cases
最新の症例
[ 前歯のセラミック治療 ] 前歯を自然にしたい
担当医 大元洋佑
![[ 前歯のセラミック治療 ] 前歯を自然にしたいの症例 治療前](https://seimitsushinbi.jp/wp/wp-content/uploads/2022/11/dee4397f7a1ff4c484d0857692b7a946-500x350.jpg?v=1668215491)
![[ 前歯のセラミック治療 ] 前歯を自然にしたいの症例 治療後](https://seimitsushinbi.jp/wp/wp-content/uploads/2022/11/b605dce27bad93330efea33c73c0dea4-500x350.jpg?v=1668215512)
前歯がでている 最小限の抜歯で口を閉じやすく


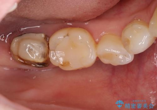
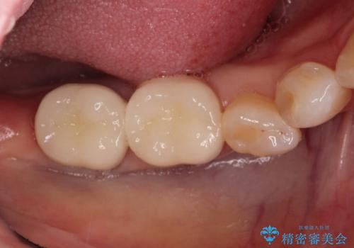
銀の詰め物が取れた。
担当医 青山卓弘


【オールセラミッククラウン】他院で治療した被せものが外れた
担当医 河野豊嘉


【オールセラミッククラウン】矮小歯の治療
担当医 河口智英


【根面被覆】結合組織移植により下がった歯肉を再生
担当医 河口智英


【精密根管治療+オールセラミッククラウン】より自然な前歯にしたい!


オープンバイトと目立つ銀歯 インビザライン矯正とセラミック修復治療


転倒で折れてしまった前歯 インプラントによるオールセラミックブリッジ治療


転んで欠けてしまった前歯 オーダーメイドのオールセラミッククラウン


内側に倒れた前歯と口元の突出感 ワイヤー装置での抜歯矯正










