症例詳細
Case detail
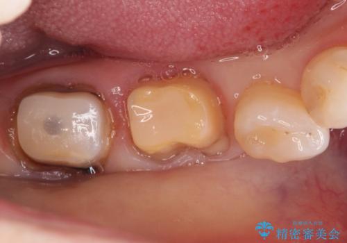
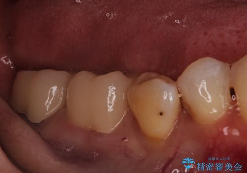
【オールセラミッククラウン】他院で治療した被せものが外れた
治療症例の内容
- 診療科目
- 治療カテゴリ
- 担当医
- 河野豊嘉(ドクタープロフィール)
- 患者様
- 40代女性
- 治療期間
- 2ヶ月
- 治療回数
- 2-5回
- 治療計画
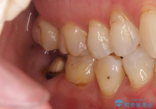
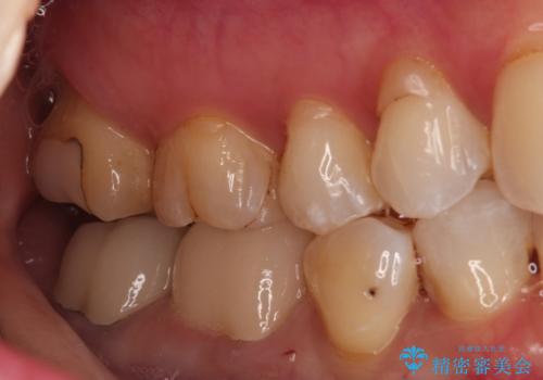
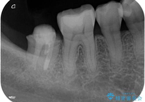
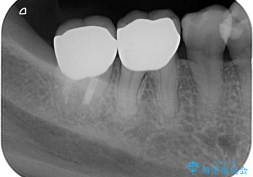
- 他院で治療した被せ物が取れたを主訴に来院された患者様です。被せものが外れた隣の歯もプラスチックの詰め物の劣化や歯に亀裂があったためオールセラミッククランで治療を行いました。
- 費用(概算)
- 242,000円(仮歯11,000円×2本、オールセラミッククラウンスタンダード110,000×2本)費用は治療当時の料金となります
治療について
昔詰めたプラスチックの詰め物の範囲が大きいのと破折のリスクや強度の担保のためインレーではなくクラウンで治療を行いました。
セラミック治療の注意事項(リスク・副作用など)
- 天然歯を削ります
- 硬い素材は天然歯を傷つけてしまう場合があります
- かみ合わせや歯ぎしりが強すぎる方はセラミックが割れてしまう可能性があります
- 自費診療(保険適用外治療)となります
当サイトの内容、テキスト、画像等の無断転載、複製、複写、盗用を固く禁じます。








