症例詳細
Case detail
内側に倒れた前歯と口元の突出感 ワイヤー装置での抜歯矯正
治療症例の内容
- 患者様
- 40代女性
- 矯正装置
- 審美装置
- 治療期間
- 2年3ヶ月
- 治療回数
- 10-30回
- 治療計画
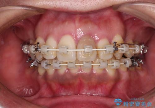
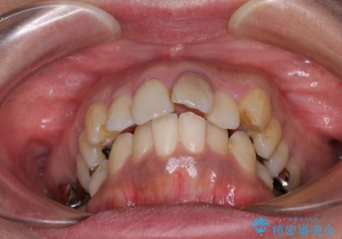
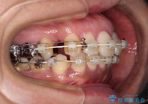
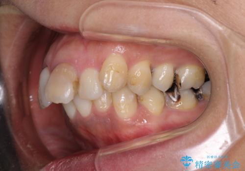
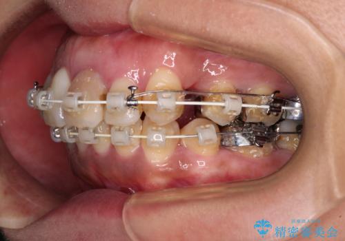
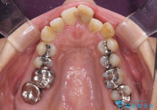
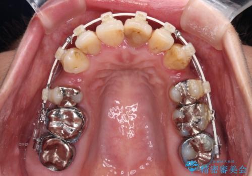
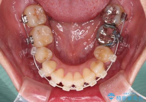
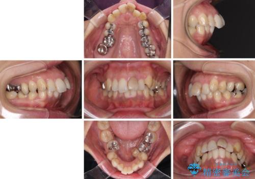
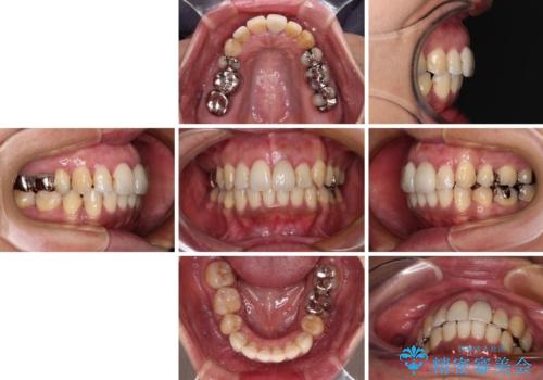
- 歯列全体が内側に倒れ込んでいることと、口元の突出感を気にして来院された患者様です。
上下ともに歯列が狭窄しており、前方に突出している状態でした。
歯が重なるような叢生も認められたため、上下左右の第一小臼歯4本を抜歯して、口元が引っ込むように治療を行うこととしました。
- 費用(概算)
- 治療費の目安: 120万円(税込)費用は治療当時の料金となります
治療について
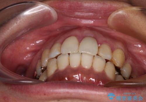
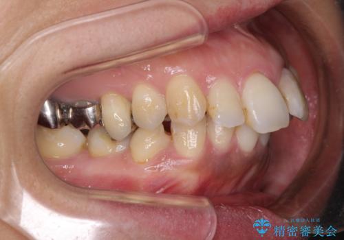
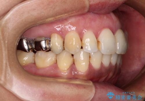
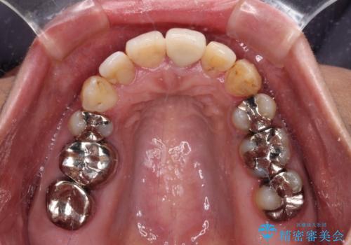
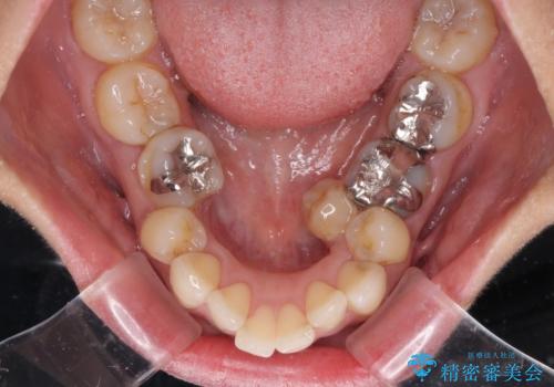
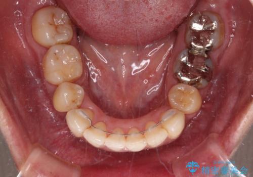
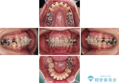
口元を引っ込めることができたため、口を閉じるときに力が入っていて皺のよっていた顎先も、スムーズに閉じられるようになったことで力がかからなくなりました。
変色して気になっていた前歯も、オールセラミッククラウンで自然な色合いにすることができました。
ワイヤー矯正の注意事項(リスク・副作用など)
- 治療中は違和感や痛みが起こることがあります
- 症状により、抜歯が必要な場合があります
- 治療中は歯磨きがしにくくなるため、虫歯や歯周病になりやすくなります
- 矯正治療後の保定が不十分だと後戻り(元の位置に戻ろうとする動き)をします
- 自費診療(保険適用外)となります
セラミック治療の注意事項(リスク・副作用など)
- 天然歯を削ります
- 硬い素材は天然歯を傷つけてしまう場合があります
- かみ合わせや歯ぎしりが強すぎる方はセラミックが割れてしまう可能性があります
- 自費診療(保険適用外治療)となります
当サイトの内容、テキスト、画像等の無断転載、複製、複写、盗用を固く禁じます。




























