症例・治療例紹介
Cases
最新の症例
[ インビザライン矯正 ]マイクロインプラント用いた大きな遠心移動
担当医 大元洋佑
![[ インビザライン矯正 ]マイクロインプラント用いた大きな遠心移動の症例 治療前](https://seimitsushinbi.jp/wp/wp-content/uploads/2022/12/IMG_0044-500x350.jpg?v=1670930139)
![[ インビザライン矯正 ]マイクロインプラント用いた大きな遠心移動の症例 治療後](https://seimitsushinbi.jp/wp/wp-content/uploads/2022/12/C58-500x350.jpg?v=1671171949)
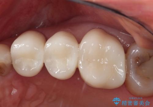
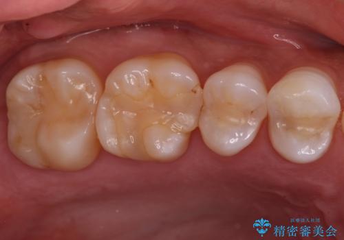
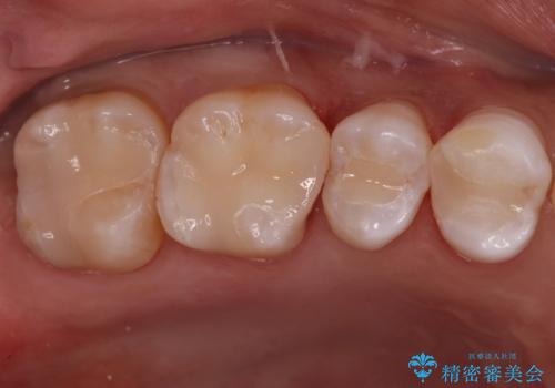
銀が目立つので白くしたい
担当医 青山卓弘


[ 舌小帯の形成 ] 滑舌をよくしたい
担当医 大元洋佑
![[ 舌小帯の形成 ] 滑舌をよくしたいの症例 治療前](https://seimitsushinbi.jp/wp/wp-content/uploads/2022/12/5cdcfc1a4eed7a564e6ef2de1f59091b-500x350.jpg?v=1670478791)
![[ 舌小帯の形成 ] 滑舌をよくしたいの症例 治療後](https://seimitsushinbi.jp/wp/wp-content/uploads/2022/12/4630285fe87b8df64f4a14c19c3679ab-500x350.jpg?v=1670478809)
下の歯のがたつき 上より気になる


口元大事です! 見違える矯正!! 乱ぐい歯もあきらめないでください。


短期間で歯並びをきれいにしたい セラミックでかぶせる治療でも良い
担当医 井上季実子


【オールセラミッククラウン】銀歯の下に大きな虫歯
担当医 河野豊嘉


受け口 なんと部分矯正で治るんです!! インプラントを含めた総合歯科治療
担当医 井上季実子


乳歯残存と欠損の前歯 矯正治療とオールセラミックブリッジ治療


デコボコと八重歯の目立つ前歯 ワイヤー装置による抜歯矯正
担当医 藤巻太一朗





![[ 正中離開の改善 ] マウスピース矯正で行う前歯の審美改善の症例 治療前](https://seimitsushinbi.jp/wp/wp-content/uploads/2022/12/IMG_9761-500x350.jpg?v=1670479821)
![[ 正中離開の改善 ] マウスピース矯正で行う前歯の審美改善の症例 治療後](https://seimitsushinbi.jp/wp/wp-content/uploads/2022/12/IMG_5237-500x350.jpg?v=1670479797)





