症例詳細
Case detail
銀が目立つので白くしたい
治療症例の内容
- 診療科目
- 治療カテゴリ
- 担当医
- 青山卓弘(ドクタープロフィール)
- 患者様
- 40代
- 治療期間
- 1ヶ月
- 治療回数
- 2-5回
- 治療計画
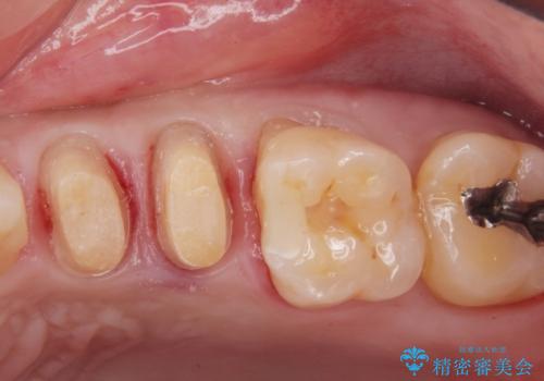
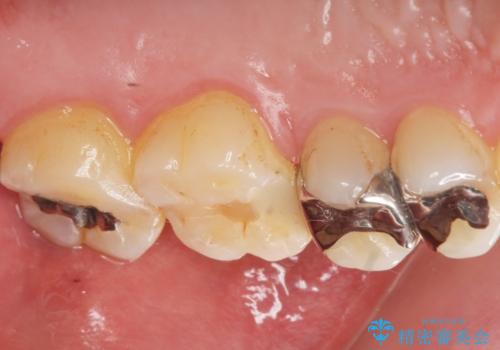
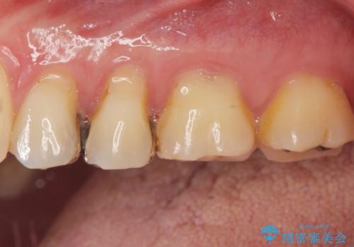
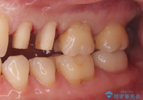
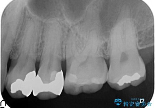
- 銀歯を白くしたい。水が少し染みるとの事で来院。
歯と歯茎の境目にプラスチック樹脂の治療の後があり、そこが染みる原因となっていました。
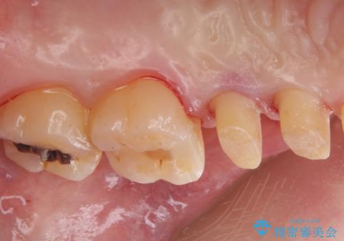
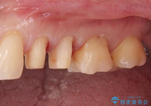
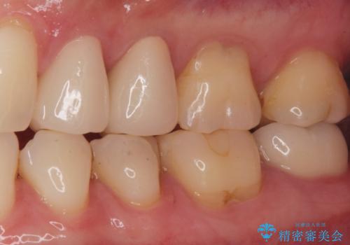
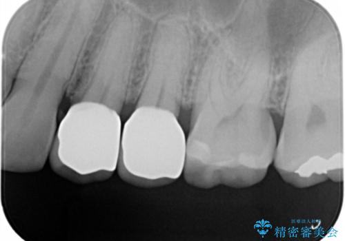
拡大鏡下で銀の詰め物、古いプラスチックの樹脂を外し、虫歯が残ってないかを確認して
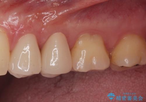
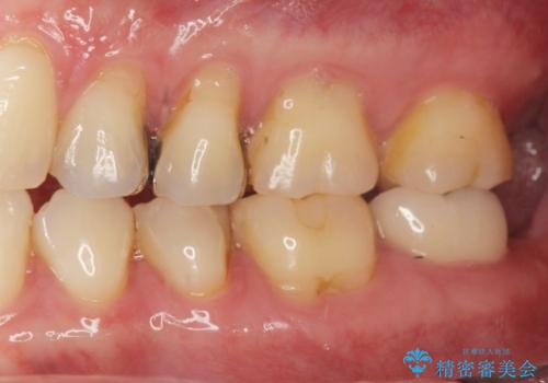
ジルコニアクラウンで治療を行いました。
- 費用(概算)
- ジルコニアクラウン・仮歯 12.1万円×2費用は治療当時の料金となります
治療について
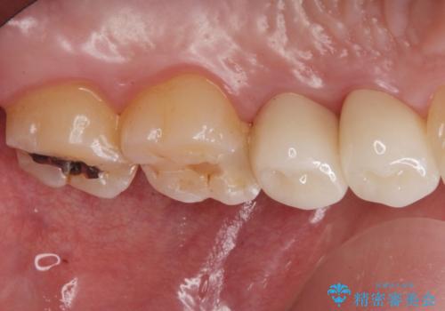
白い被せ物を入れたことにより銀が目立たなくなり
染みることもなくなりました。
ご希望に沿った治療となり大変満足して頂けました。
セラミック治療の注意事項(リスク・副作用など)
- 天然歯を削ります
- 硬い素材は天然歯を傷つけてしまう場合があります
- かみ合わせや歯ぎしりが強すぎる方はセラミックが割れてしまう可能性があります
- 自費診療(保険適用外治療)となります
その他の注意事項(リスク・副作用など)
- 担当歯科医師、歯科衛生士又は医院スタッフから受けた説明・注意事項をよくご確認ください
- 医療を提供するに当たり、適切な説明を行い、患者様の十分な理解を得るよう努めております
当サイトの内容、テキスト、画像等の無断転載、複製、複写、盗用を固く禁じます。














