症例・治療例紹介
Cases
最新の症例
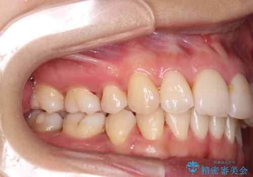
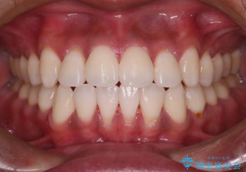
[ 奥歯の歯周病 ] エムドゲインを用いた再生治療
![[ 奥歯の歯周病 ] エムドゲインを用いた再生治療の症例 治療前](https://seimitsushinbi.jp/wp/wp-content/uploads/2025/09/da7ea9f28849677c773d656ce0944c22-500x350.jpg?v=1757645152)
![[ 奥歯の歯周病 ] エムドゲインを用いた再生治療の症例 治療後](https://seimitsushinbi.jp/wp/wp-content/uploads/2025/09/cd7402647dc4e0e897f31dff1860179d-500x350.jpg?v=1757645235)
メンテナンスで日々のブラッシングの再確認
担当医 歯科衛生士


[舌小帯強直症] 舌小帯切除術
担当医 青山卓弘
![[舌小帯強直症] 舌小帯切除術の症例 治療前](https://seimitsushinbi.jp/wp/wp-content/uploads/2025/09/0F4A9813-500x350.jpg?v=1757511769)
![[舌小帯強直症] 舌小帯切除術の症例 治療後](https://seimitsushinbi.jp/wp/wp-content/uploads/2025/09/0I2A9995-500x350.jpg?v=1757511917)
艶感アップになるクリーニング
担当医 歯科衛生士


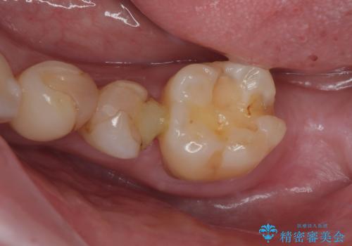
エンドペリオ病変と虫歯を同時に改善したインプラント・セラミック治療症例


【審美装置】開口(オープンバイト)を改善


詰め物が外れかけてるのでやり替えたい セラミックインレー修復・フルジルコニアクラウン


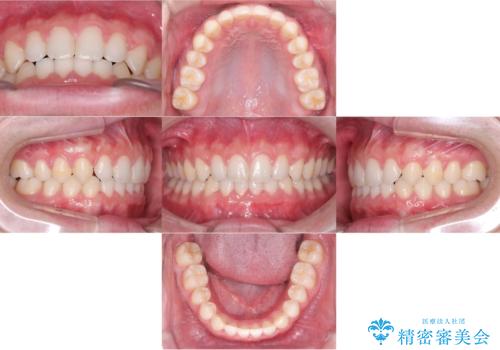
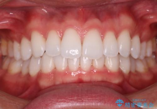
前歯のねじれ・ガタガタを10か月で改善!20代女性の矯正治療|クリアブラケットでむし歯になりにくい歯並びへ改善
担当医 齋藤佑磨


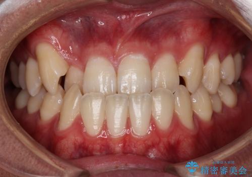
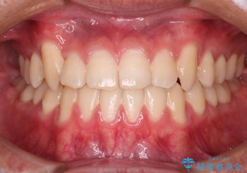
前歯のねじれ 矯正治療による歯並び改善
担当医 大元洋佑


【ワイヤー矯正】歯列の隙間を閉じたい


【インビザラインモニター】費用を抑えて歯並び改善!


【審美装置】前歯の反対咬合改善



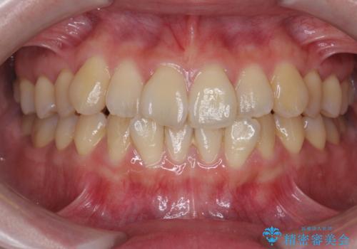
![[ 奥歯でしっかり噛めない ] インプラント治療で咬合機能の回復の症例 治療前](https://seimitsushinbi.jp/wp/wp-content/uploads/2025/09/5c1b10b404d430c7de7605984f519d7e-500x350.jpg?v=1757991312)
![[ 奥歯でしっかり噛めない ] インプラント治療で咬合機能の回復の症例 治療後](https://seimitsushinbi.jp/wp/wp-content/uploads/2025/09/5f41662a7e5d61de22e4ba9596fd057d-500x350.jpg?v=1757991338)



