症例詳細
Case detail
矯正治療で移動を終えた歯 オールセラミッククラウンでのむし歯治療
治療症例の内容
- 診療科目
- 治療カテゴリ
- 担当医
- 藤巻太一朗(ドクタープロフィール)
- 患者様
- 20代女性
- 治療期間
- 1ヶ月
- 治療回数
- 2-5回
- 治療計画
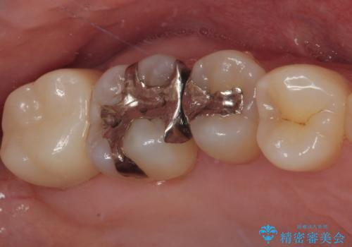
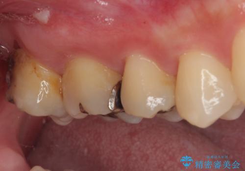
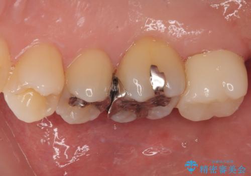
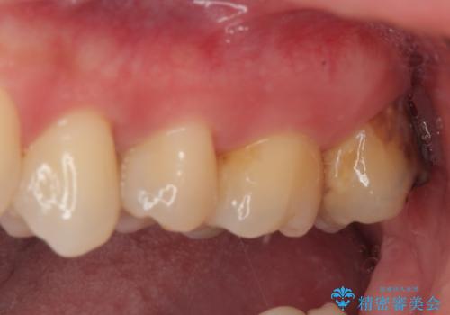
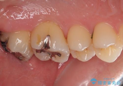
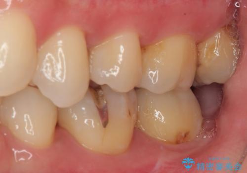
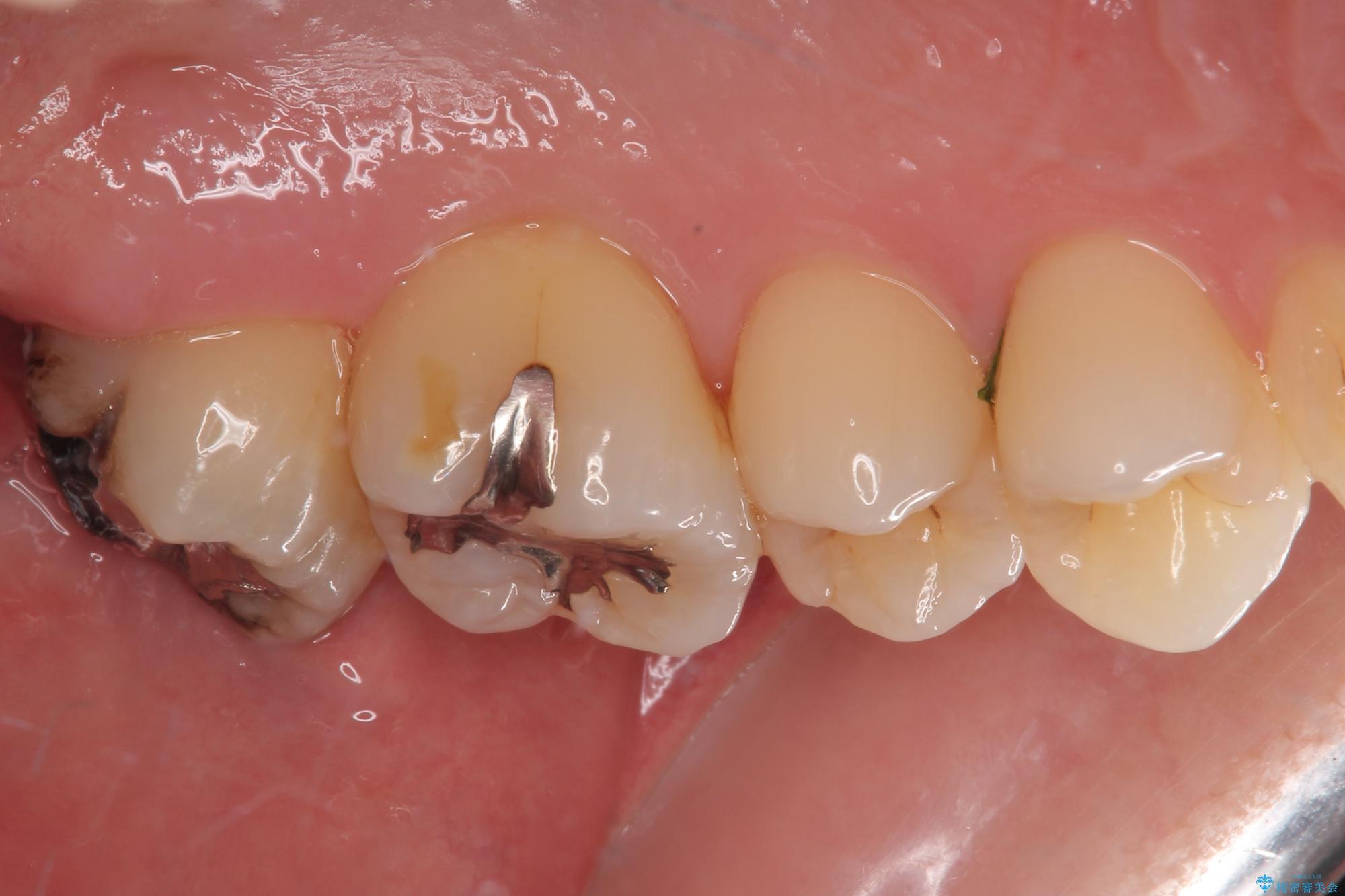
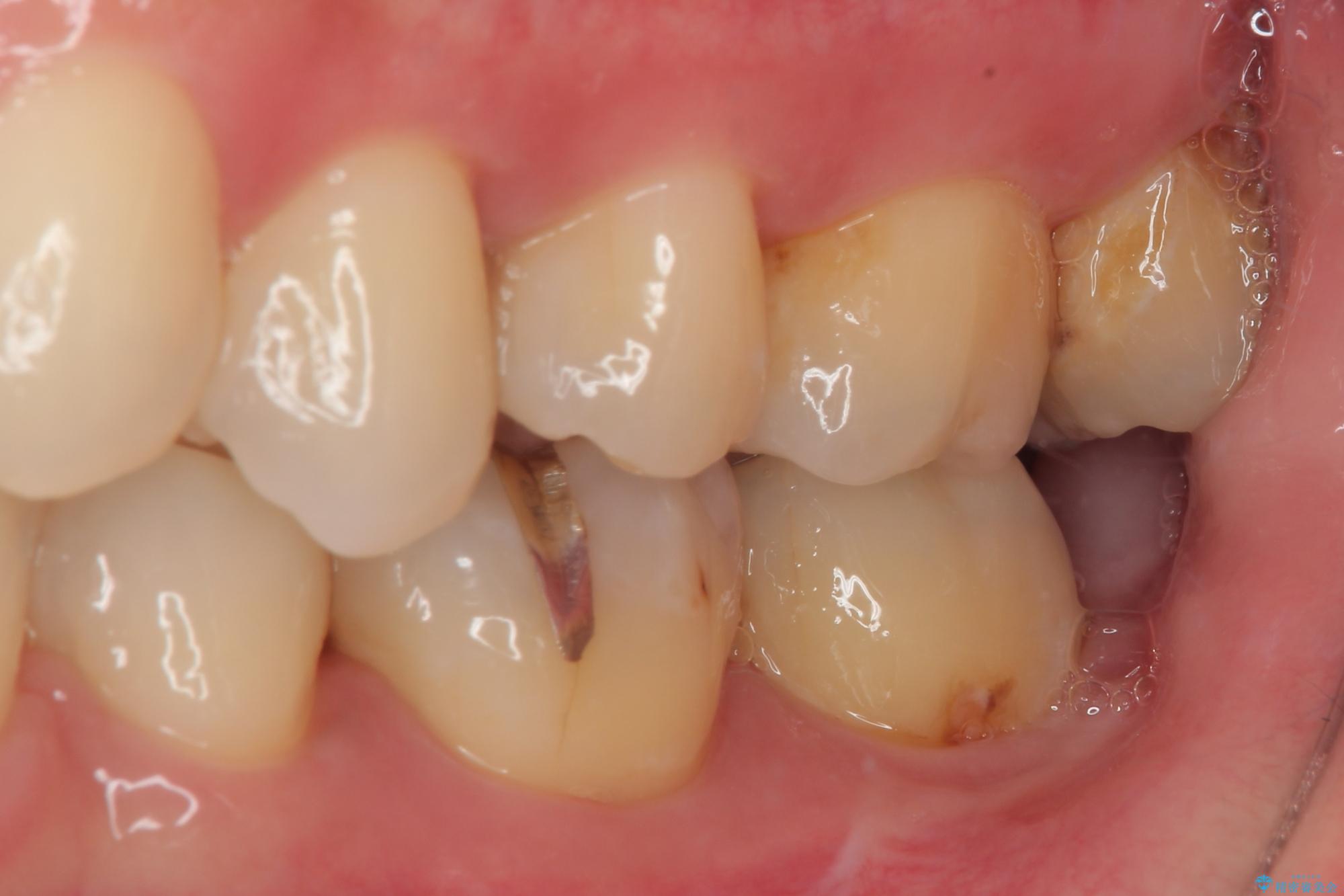
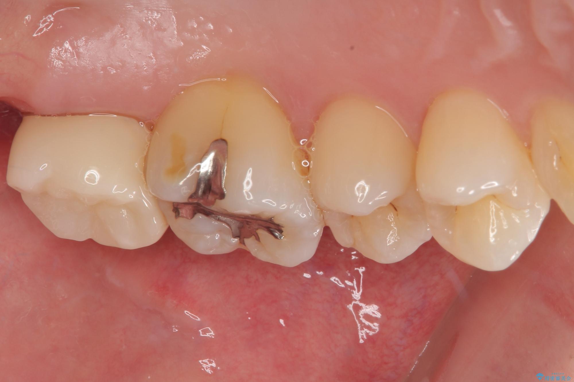
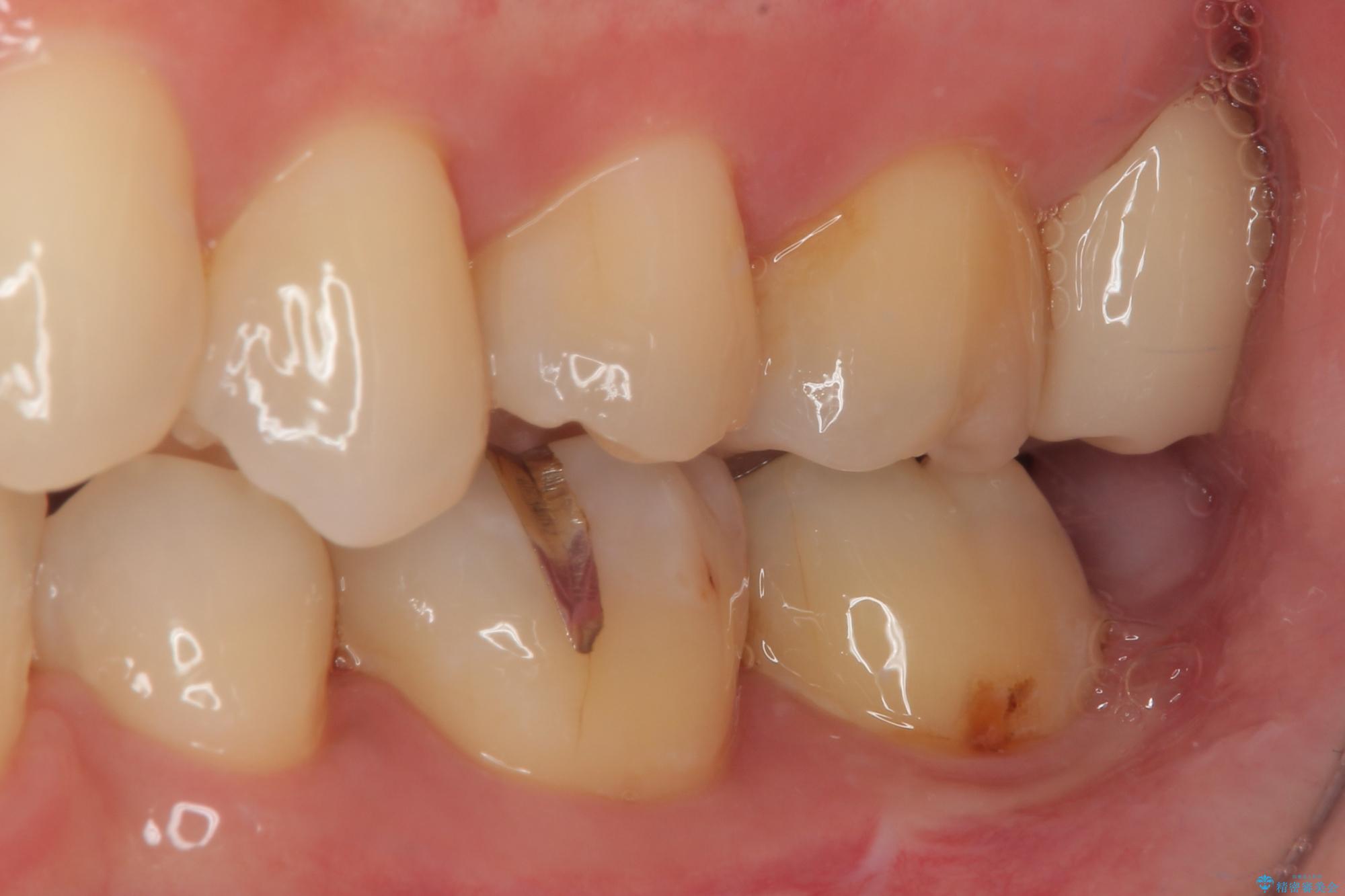
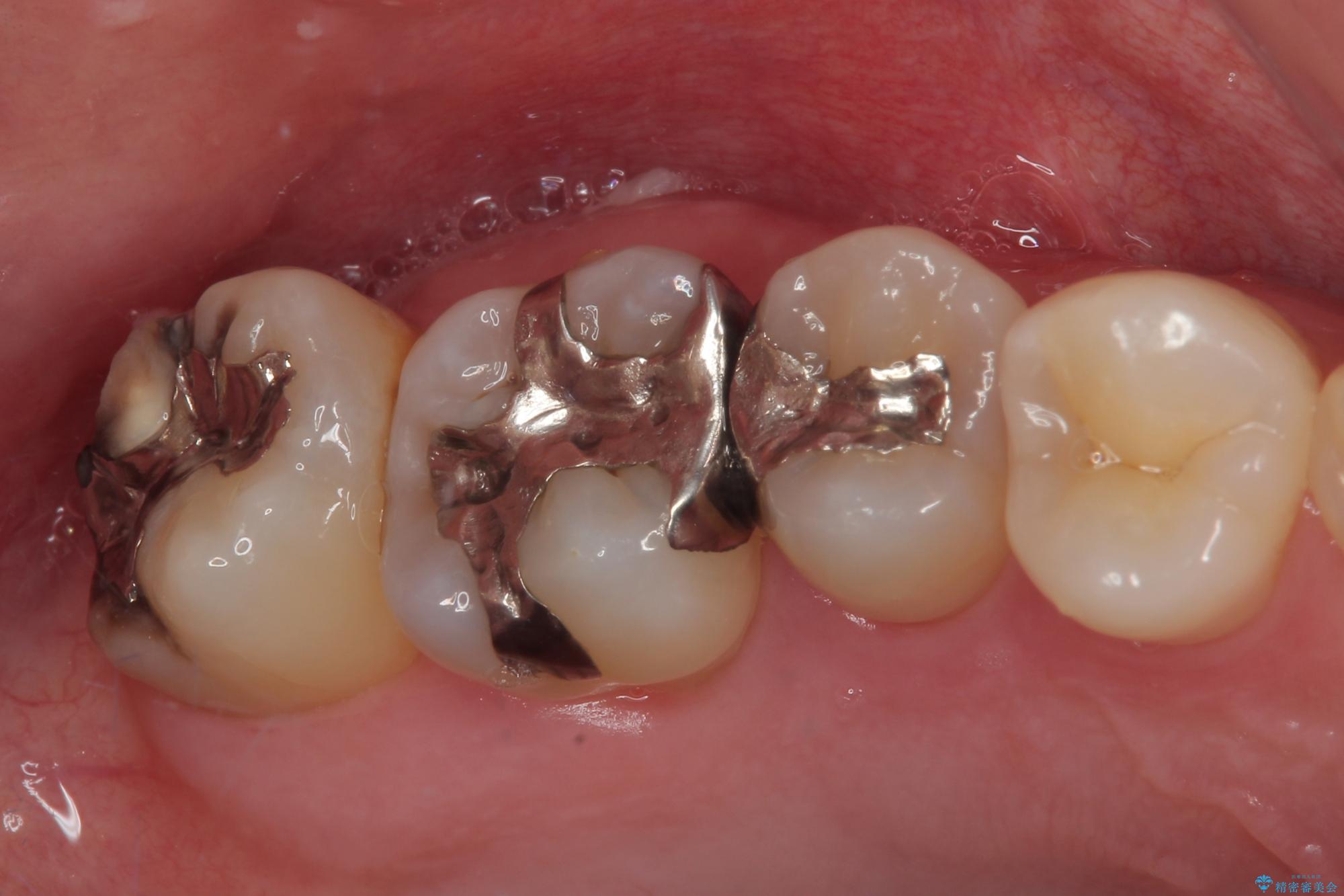
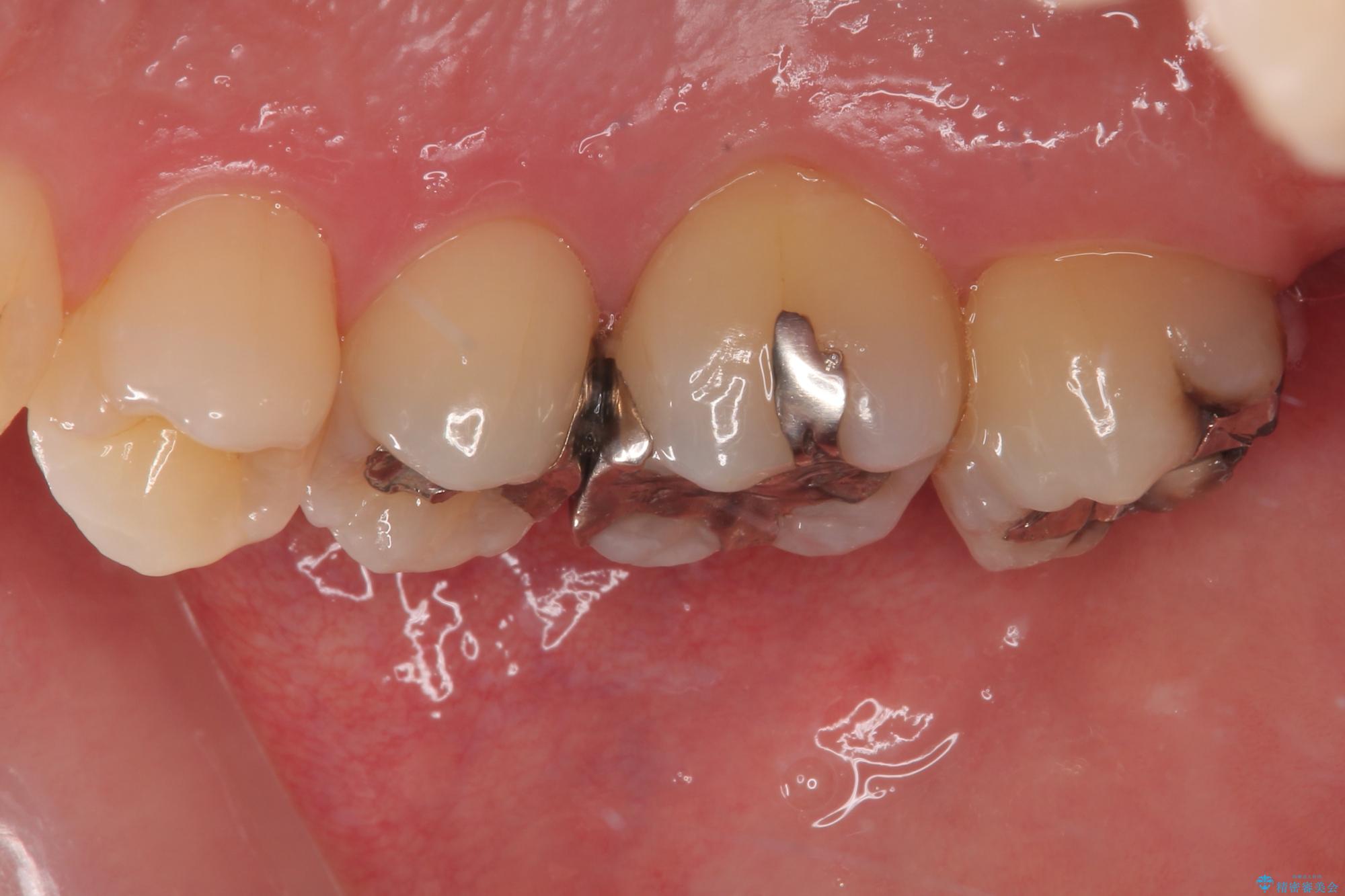
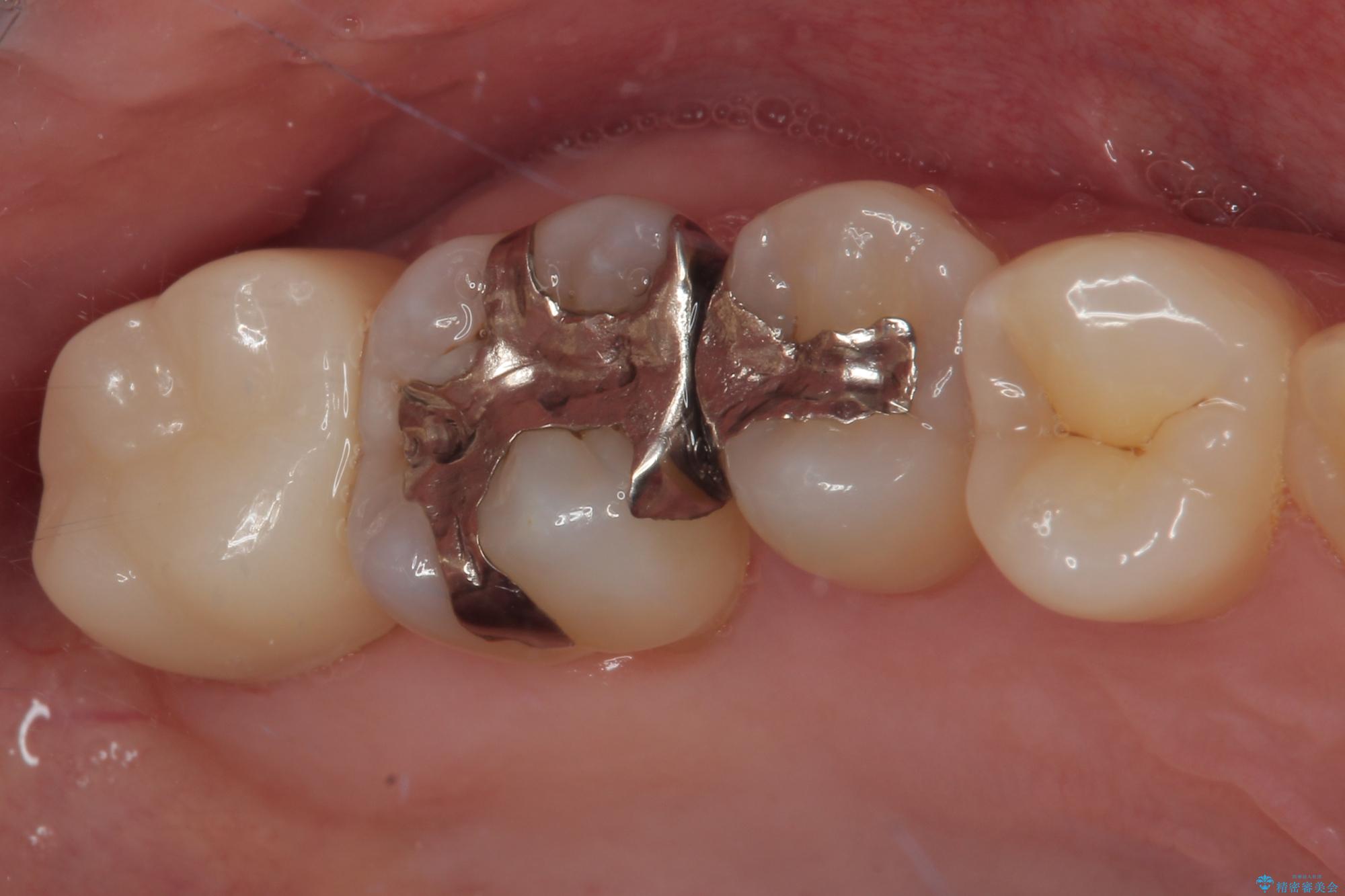
- 元々むし歯があったものの、処置が困難とのことでしたが、矯正治療を終えたので処置をしたいとのことで来院された患者様です。
左右ともに最後臼歯が頬側に顕著に突出しており、むし歯になってしまったことが想像されました。
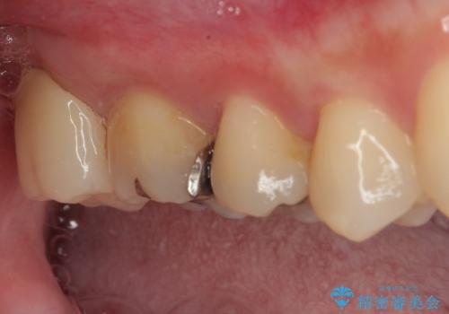
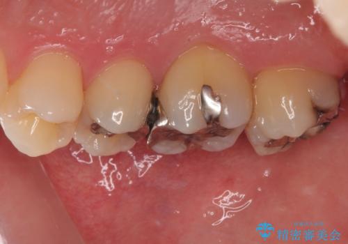
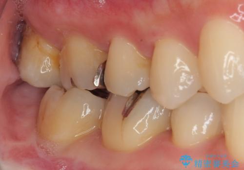
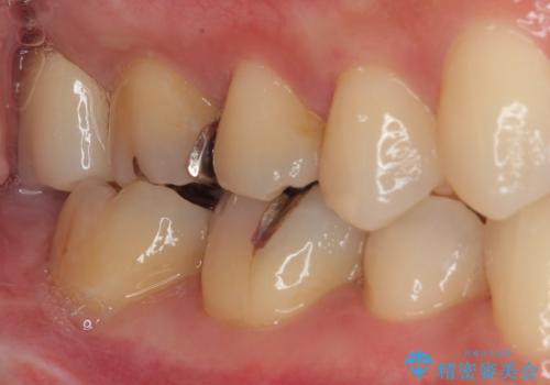
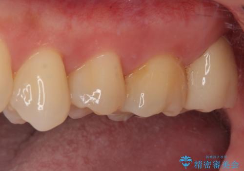
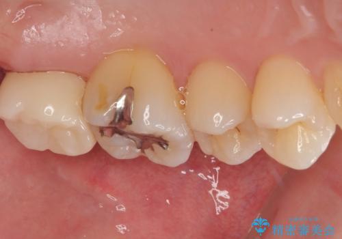
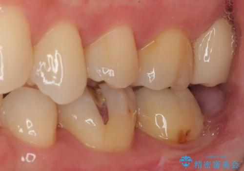
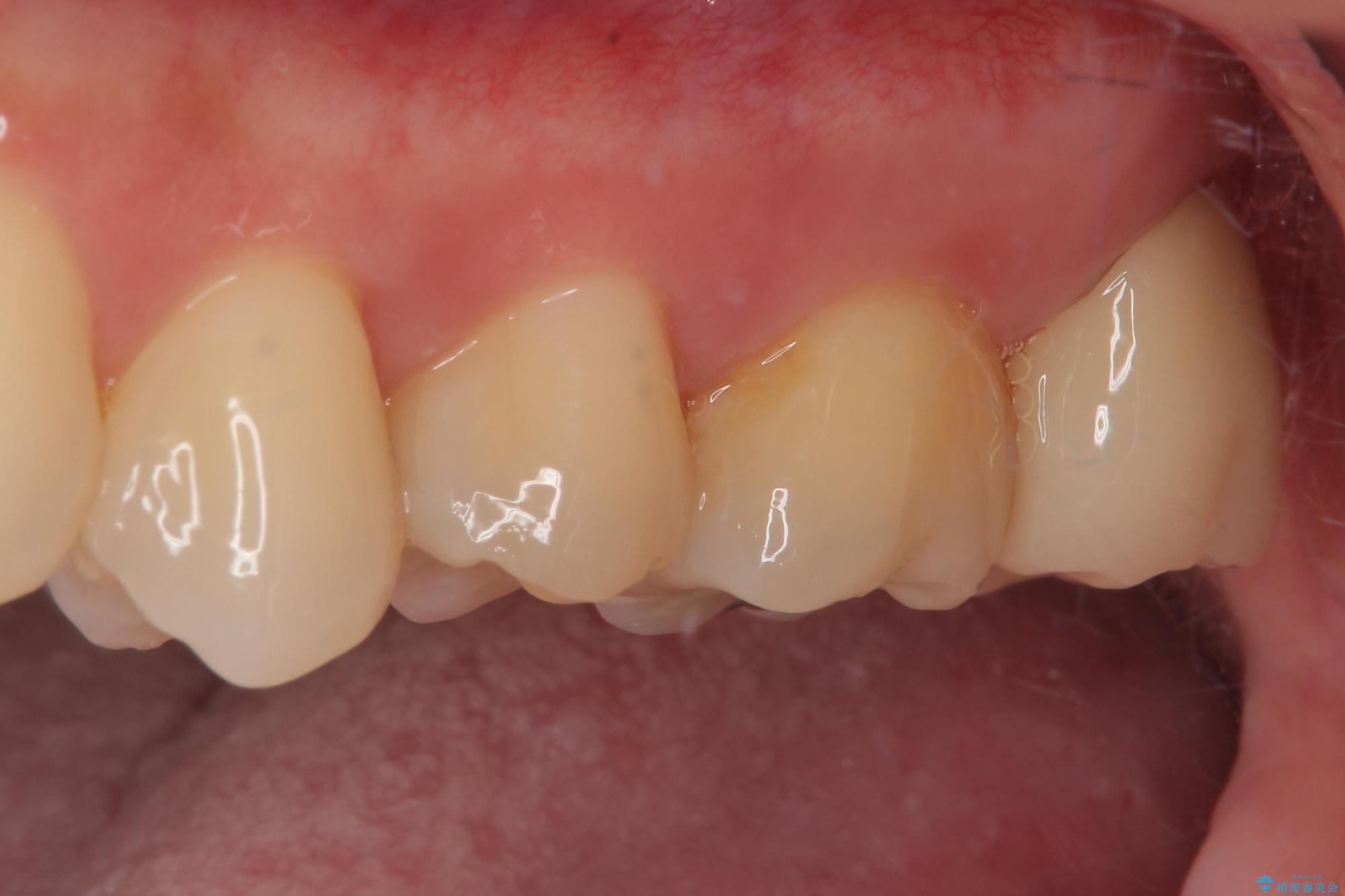
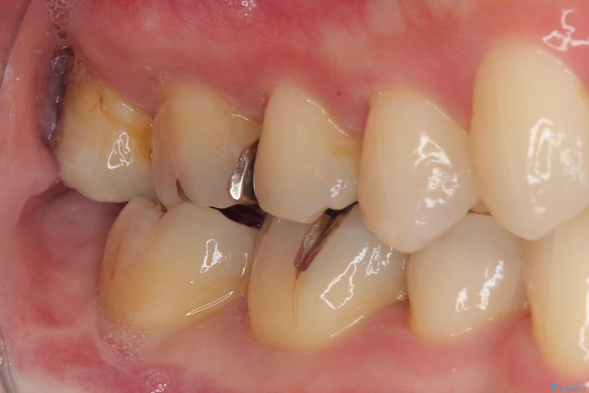
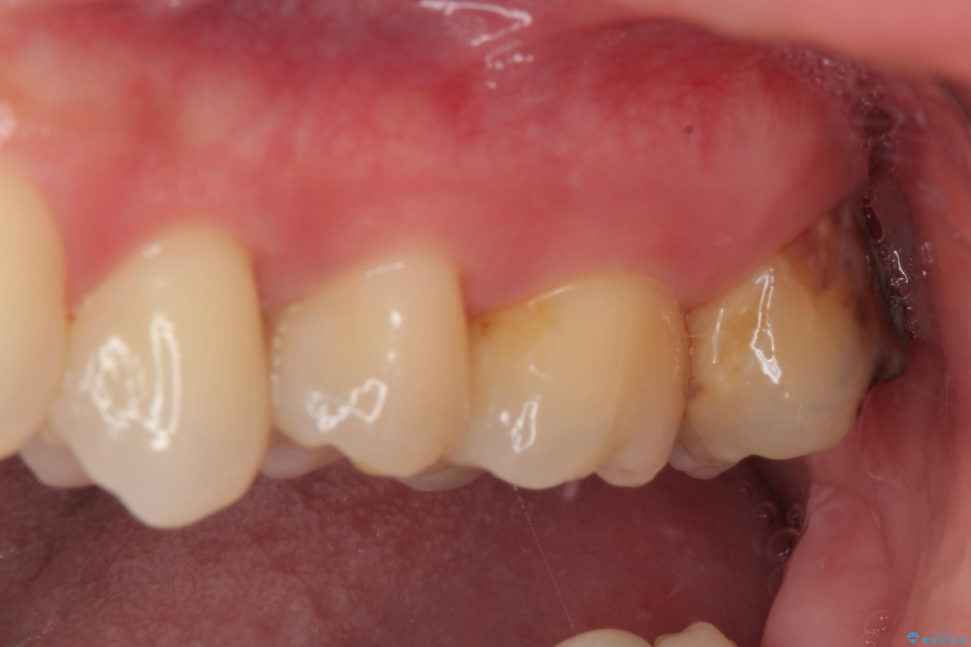
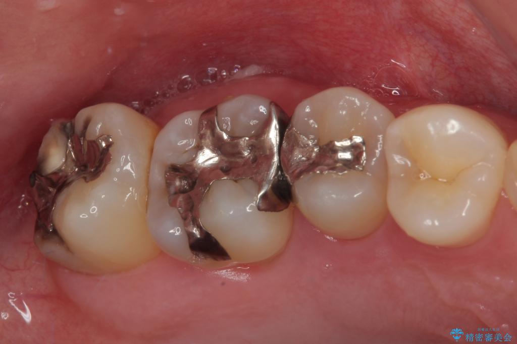
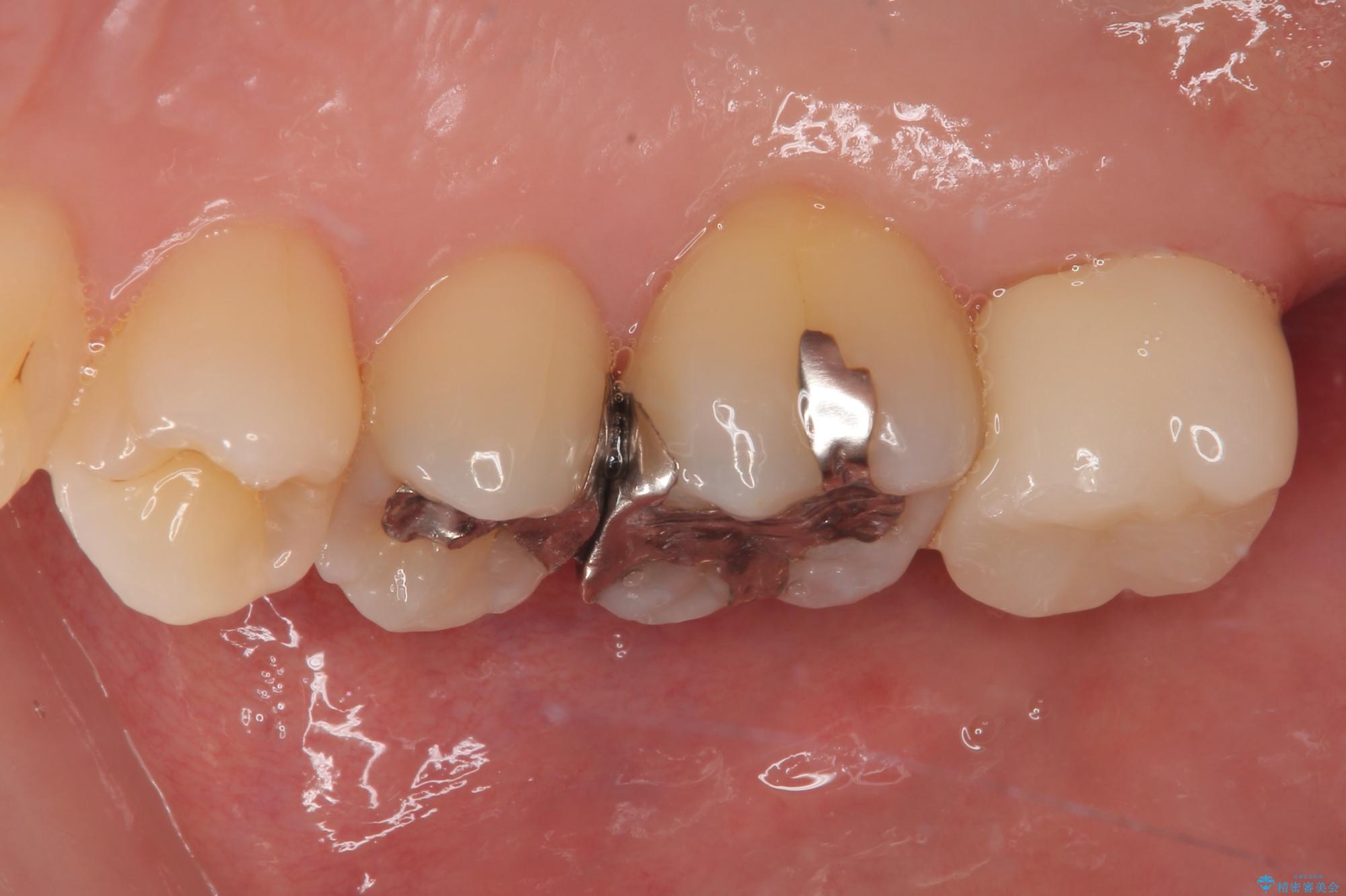
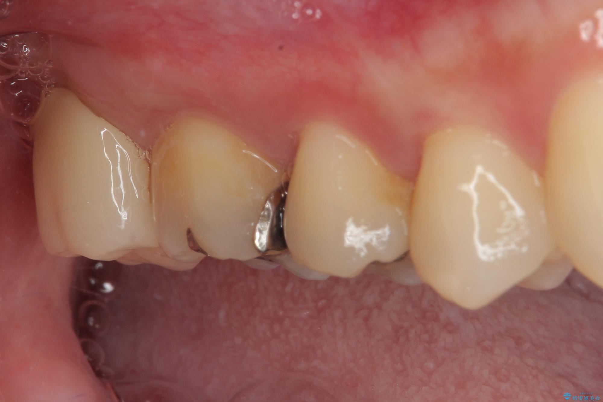
矯正治療により処置が可能な位置に歯が移動したため、オールセラミッククラウンにて補綴治療を行うこととしました。
- 費用(概算)
- 20万円(税込)費用は治療当時の料金となります
治療について
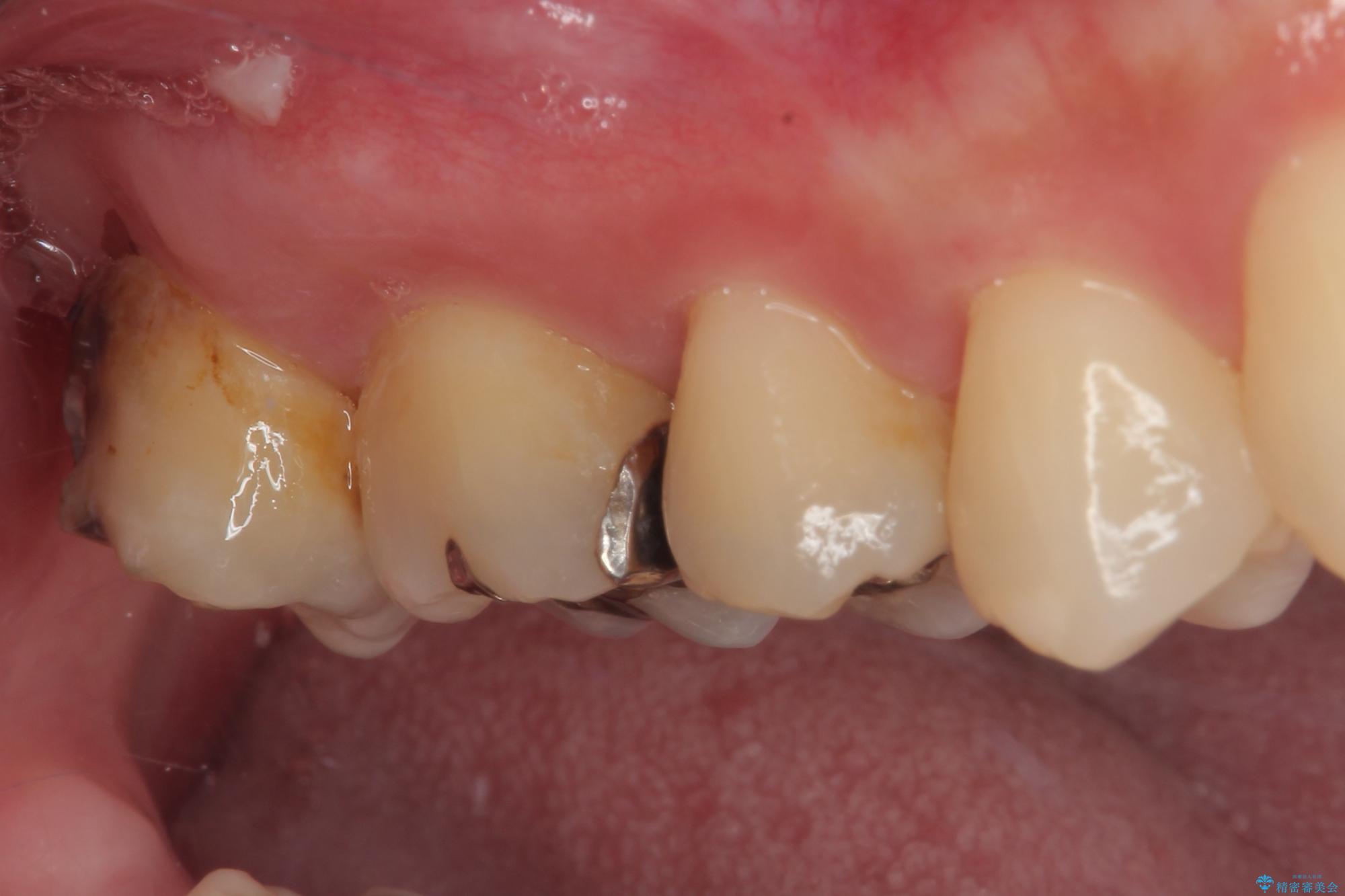
歯列が移動したとはいえ、左右ともに後方傾斜しており、むし歯の除去、形成(形を整える)、型取りの全てが非常に困難な処置となりました。
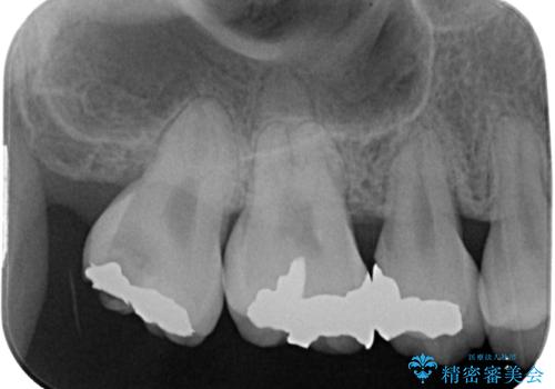
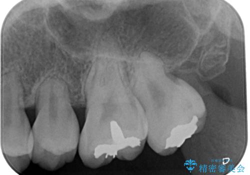
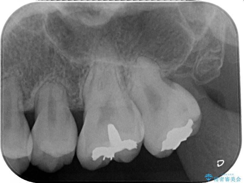
セラミッククラウンの適合はレントゲン写真からも分かる通り、境界がぴったりと合った、高適合のものとなりました。
セラミック治療の注意事項(リスク・副作用など)
- 天然歯を削ります
- 硬い素材は天然歯を傷つけてしまう場合があります
- かみ合わせや歯ぎしりが強すぎる方はセラミックが割れてしまう可能性があります
- 自費診療(保険適用外治療)となります
当サイトの内容、テキスト、画像等の無断転載、複製、複写、盗用を固く禁じます。




















