電話予約
無料相談予約
選ばれる理由
Reason
歯科医師紹介
Doctor
診療科目
Services
症例写真
Case photo
動画
Movie
治療費一覧
Price
医院紹介
Clinic
症例・治療例紹介
Cases
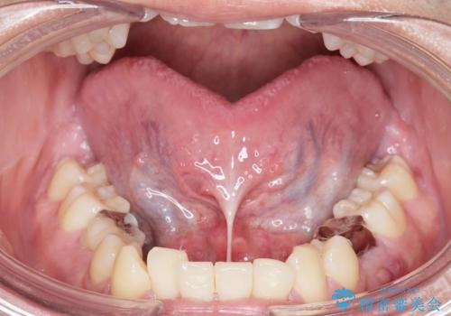
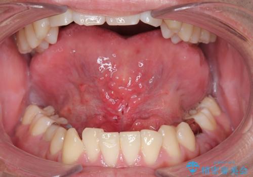
Dr. 長嶋美咲の症例写真
1ページ目 / 1
担当医 長嶋美咲<2026年2月4日更新>
担当医 長嶋美咲<2025年12月23日更新>
担当医 長嶋美咲<2025年10月17日更新>