症例・治療例紹介
Cases
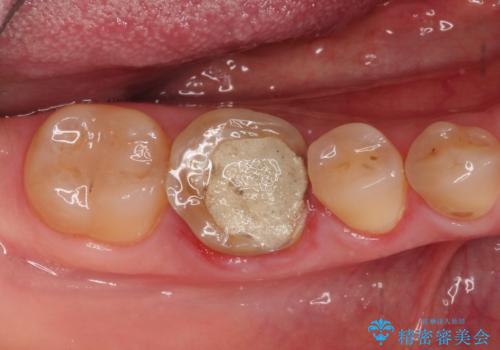
総合歯科治療 → 根管治療&セラミック治療
4ページ目 / 14
吸収し喪失した前歯、ブリッジによる審美性の回復
担当医 大元洋佑


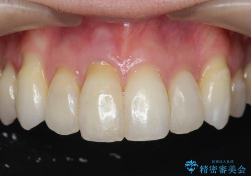
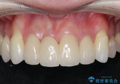
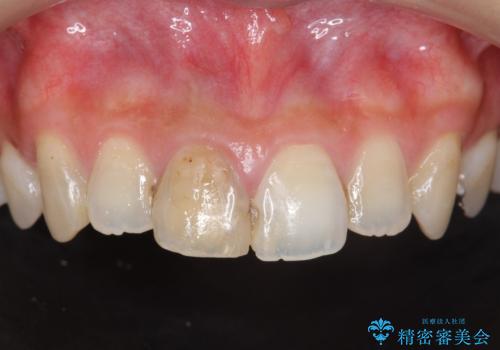
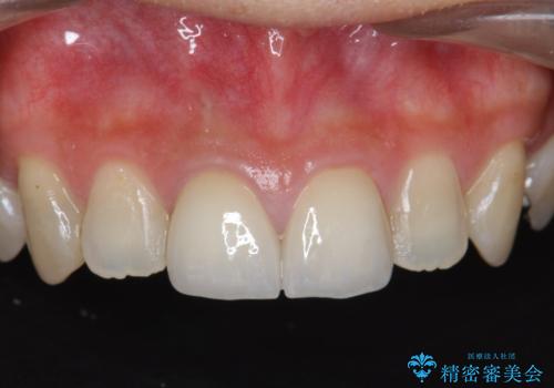
[ 再生治療・歯周外科・小矯正・セラミック補綴 ] 前歯の歯周病治療
担当医 大元洋佑
![[ 再生治療・歯周外科・小矯正・セラミック補綴 ] 前歯の歯周病治療の症例 治療前](https://seimitsushinbi.jp/wp/wp-content/uploads/2022/12/83065c2454a29ed71cf190e15a6106f4-500x350.jpg?v=1671673398)
![[ 再生治療・歯周外科・小矯正・セラミック補綴 ] 前歯の歯周病治療の症例 治療後](https://seimitsushinbi.jp/wp/wp-content/uploads/2022/12/ec16e37ee53325a6f6629b94759f5513-500x350.jpg?v=1671673454)
【精密根管治療+オールセラミッククラウン】より自然な前歯にしたい!


[ 精密根管治療 ] 他院で抜歯しかないと言われた歯を残す
![[ 精密根管治療 ] 他院で抜歯しかないと言われた歯を残すの症例 治療前](https://seimitsushinbi.jp/wp/wp-content/uploads/2022/10/f71de741f2790147aafa493976dc3e43-500x350.jpg?v=1665805318)
![[ 精密根管治療 ] 他院で抜歯しかないと言われた歯を残すの症例 治療後](https://seimitsushinbi.jp/wp/wp-content/uploads/2022/10/3de101b5c8bdd3c85a7f82731190b4b0-500x350.jpg?v=1665805330)
笑顔に自信が持てない、前歯のセラミック治療


【精密根管治療】間違った根管形成→パフォレーションリペアによる修復


[ 深い虫歯・根管治療・セラミッククラウン ]複合した問題を持った虫歯治療
![[ 深い虫歯・根管治療・セラミッククラウン ]複合した問題を持った虫歯治療の症例 治療前](https://seimitsushinbi.jp/wp/wp-content/uploads/2022/09/b464b4c5c3053a5fc84212fb664a039f-500x350.jpg?v=1663667230)
![[ 深い虫歯・根管治療・セラミッククラウン ]複合した問題を持った虫歯治療の症例 治療後](https://seimitsushinbi.jp/wp/wp-content/uploads/2022/09/bd017e5dbd742f9bb33f09d39c8f1b52-500x350.jpg?v=1663667487)
放置してしまった虫歯の治療


全体的な虫歯治療


前歯をきれいにしたい


[ オールセラミッククラウン ] 前歯を自然な差し歯にしたい
![[ オールセラミッククラウン ] 前歯を自然な差し歯にしたいの症例 治療前](https://seimitsushinbi.jp/wp/wp-content/uploads/2022/07/3c5a785637ddccbb5d7fcd0b4a151157-500x350.jpg?v=1657095795)
![[ オールセラミッククラウン ] 前歯を自然な差し歯にしたいの症例 治療後](https://seimitsushinbi.jp/wp/wp-content/uploads/2022/07/f908365bae813c6881b43ba51882c130-1-500x350.jpg?v=1657095942)
銀歯や古くなったクラウンをやりかえたい


他院で治療しているが痛みが治らない 根管治療とセラミック補綴治療


[ 前歯部セラミック治療 ]目立つ前歯をきれいにしたい
![[ 前歯部セラミック治療 ]目立つ前歯をきれいにしたいの症例 治療前](https://seimitsushinbi.jp/wp/wp-content/uploads/2022/04/9401b504f43bc2ce4a7dae12d09aa5c3-500x350.jpg?v=1649930447)
![[ 前歯部セラミック治療 ]目立つ前歯をきれいにしたいの症例 治療後](https://seimitsushinbi.jp/wp/wp-content/uploads/2022/04/21c4bdad5350d81f411ab868ac0877c9-500x350.jpg?v=1649930472)
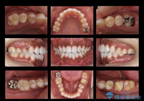
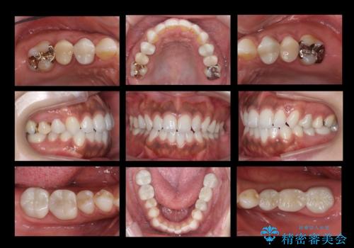
多発した虫歯による咬合崩壊 インプラントを用いた全顎治療
担当医 大元洋佑


セラミック治療の注意事項(リスク・副作用など)
- 天然歯を削ります
- 硬い素材は天然歯を傷つけてしまう場合があります
- かみ合わせや歯ぎしりが強すぎる方はセラミックが割れてしまう可能性があります
- 自費診療(保険適用外治療)となります
根管治療の注意事項(リスク・副作用など)
- 根管治療により類似の全ての症例の問題が解決するわけではなく、症例はあくまでも一例です
- 根管治療により痛みや腫れがひかない事や、術後に痛みや腫れが生じる事、治療によるファイル破折やパーフォレーションなどの偶発症、術後の歯根破折を生じる可能性もあります
- 自費診療(保険適用外)となります
