放置してしまった虫歯の治療の症例写真

症例詳細

Case detail

  1. 開始前
  2. 治療途中
  3. 終了時
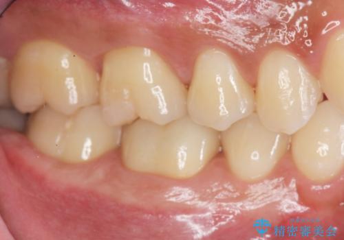
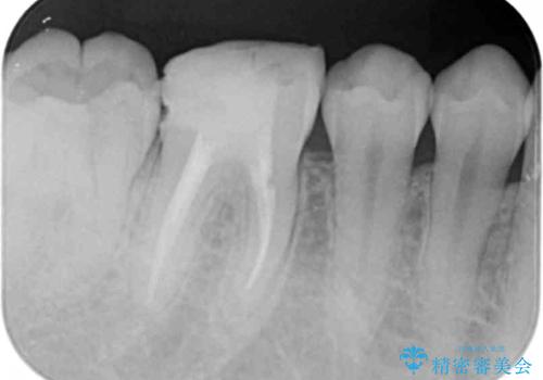
  1. 放置してしまった虫歯の治療の治療前
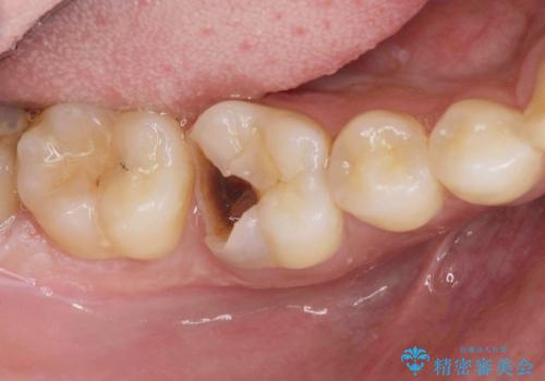
  2.  
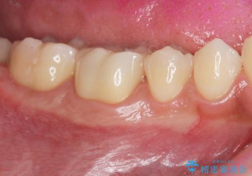
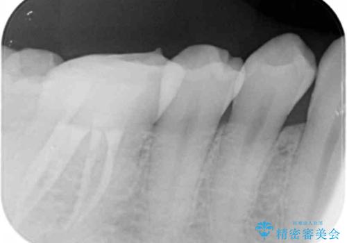
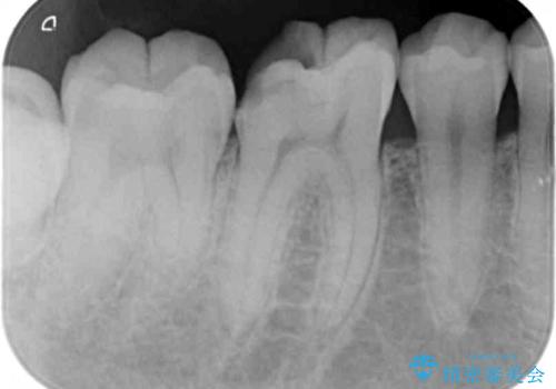
  3. 放置してしまった虫歯の治療の治療後
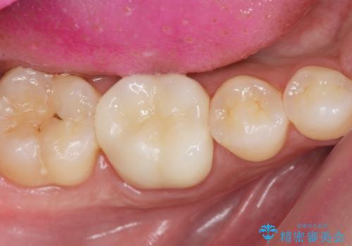
  1. 放置してしまった虫歯の治療の治療前
  2. 放置してしまった虫歯の治療の治療中
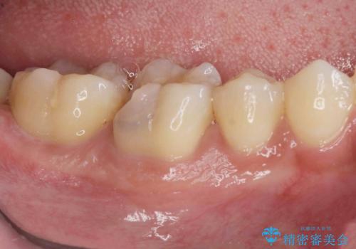
  3. 放置してしまった虫歯の治療の治療後
  1. 放置してしまった虫歯の治療の治療前
  2. 放置してしまった虫歯の治療の治療中
  3. 放置してしまった虫歯の治療の治療後
  1. 放置してしまった虫歯の治療の治療前
  2.  
  3. 放置してしまった虫歯の治療の治療後
  1. 放置してしまった虫歯の治療の治療前
  2.  
  3. 放置してしまった虫歯の治療の治療後

この治療をした歯科医師の関連症例

24時間受付
無料相談予約

お電話での無料相談のご予約

平日 11:00-20:00 / 土日 10:00-18:00
閉じる