症例・治療例紹介
Cases
矯正歯科治療 → 叢生(でこぼこ・八重歯)
41ページ目 / 91
口元を下げてすっきりさせたい ワイヤー抜歯矯正で口元の改善


インビザラインで出っ歯の治療


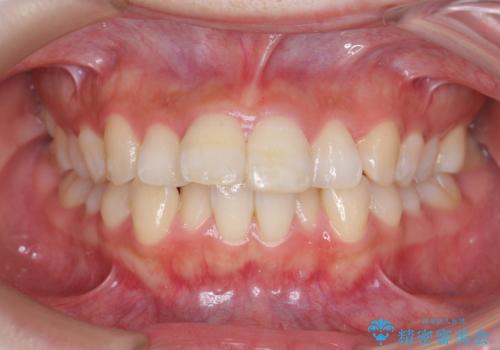
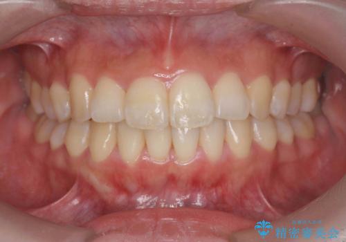
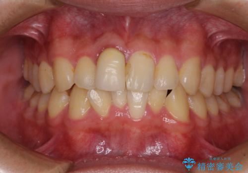
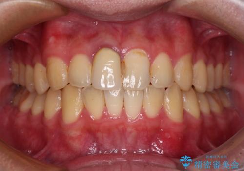
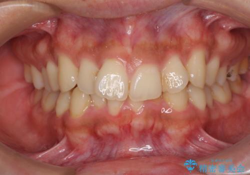
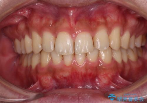
[ 下顎3前歯の矯正治療 ] 3インサイザー仕上げのマウスピース矯正
担当医 大元洋佑
![[ 下顎3前歯の矯正治療 ] 3インサイザー仕上げのマウスピース矯正の症例 治療前](https://seimitsushinbi.jp/wp/wp-content/uploads/2022/09/IMG_2291-500x350.jpg?v=1662345623)
![[ 下顎3前歯の矯正治療 ] 3インサイザー仕上げのマウスピース矯正の症例 治療後](https://seimitsushinbi.jp/wp/wp-content/uploads/2022/09/35aec967fe0bd2bdf96bba3e2e783e9f-500x350.jpg?v=1662345647)
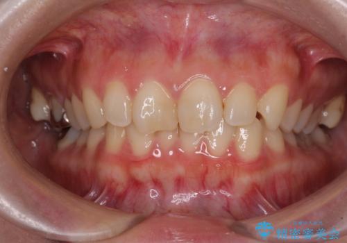
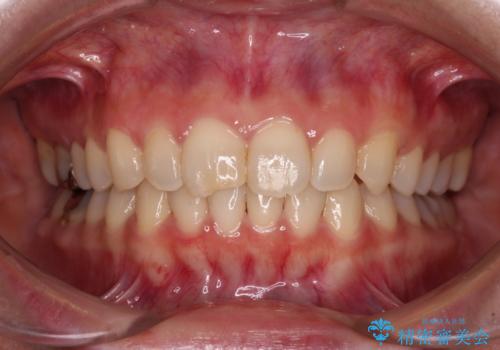
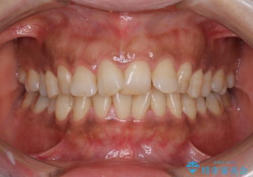
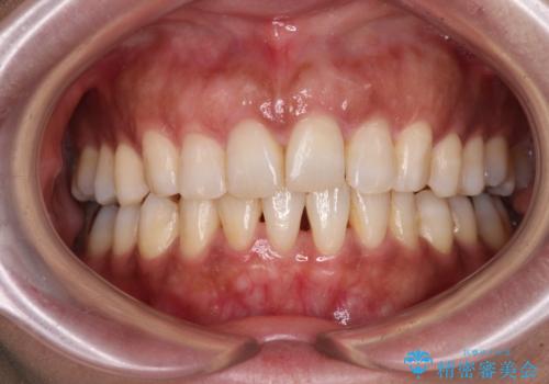
[ インビザライン ]前歯のねじれ、噛み合わせを治したい
担当医 大元洋佑
![[ インビザライン ]前歯のねじれ、噛み合わせを治したいの症例 治療前](https://seimitsushinbi.jp/wp/wp-content/uploads/2022/09/IMG_2174-500x350.jpg?v=1662344821)
![[ インビザライン ]前歯のねじれ、噛み合わせを治したいの症例 治療後](https://seimitsushinbi.jp/wp/wp-content/uploads/2022/09/f5713de9e354417c68aa02405d5ee9a0-500x350.jpg?v=1662344809)
ワイヤー装置をインビザラインへ 装置変更での矯正治療
担当医 藤巻太一朗


転勤予定がある インビザラインによる矯正治療
担当医 藤巻太一朗


急速拡大装置 狭い上顎骨を拡大してワイヤー装置で短期間治療


【モニター】口が閉じにくい 目立たないワイヤー装置で口元を引っ込める


【モニター】八重歯と前歯のクロスバイト ワイヤーを併用しインビザラインで矯正治療


前歯のデコボコを治したい インビザライン矯正治療
担当医 藤巻太一朗


外側に飛び出した歯 インビザラインによる矯正治療
担当医 藤巻太一朗


八重歯とクロスバイト 目立たないワイヤー装置での抜歯矯正


インビザラインでのんびりと矯正治療
担当医 藤巻太一朗


前歯のデコボコをスッキリ改善 インビザライン矯正
担当医 藤巻太一朗


やっぱり矯正をしたい セラミック治療の途中から矯正治療スタート


ワイヤー矯正歯科治療の注意事項(リスク・副作用など)
- 治療中は違和感や痛みが起こることがあります
- 症状により、抜歯が必要な場合があります
- 治療中は歯磨きがしにくくなるため、虫歯や歯周病になりやすくなります
- 矯正治療後の保定が不十分だと後戻り(元の位置に戻ろうとする動き)をします
- 自費診療(保険適用外)となります
マウスピース矯正の注意事項(リスク・副作用など)
- 口腔内・歯並びの状態によっては対応できない場合があります
- マウスピース型矯正装置の長時間装着が必須です
- 治療計画通りに進めるためには、患者様の意志が重要になります
- 矯正治療後の保定が不十分だと後戻り(元の位置に戻ろうとする動き)をします
- 自費診療(保険適用外)となります
