症例詳細
Case detail
【モニター】1本欠損した下顎前歯と上顎の八重歯 ワイヤー装置で楽して矯正治療
治療症例の内容
- 診療科目
- 治療カテゴリ
- 担当医
- 藤巻太一朗(ドクタープロフィール)
- 患者様
- 20代女性
- 矯正装置
- 審美装置
- 治療期間
- 1年8ヶ月
- 治療回数
- 10-30回
- 治療計画
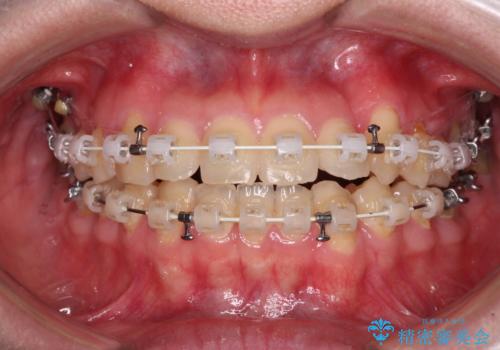
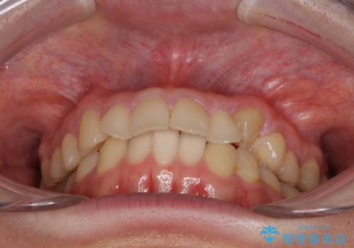
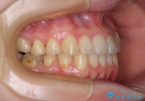
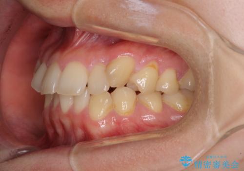
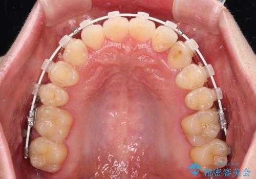
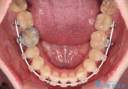
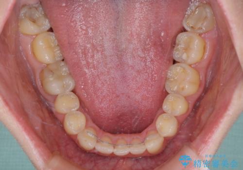
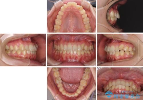
- 八重歯を気にして来院された患者様です。
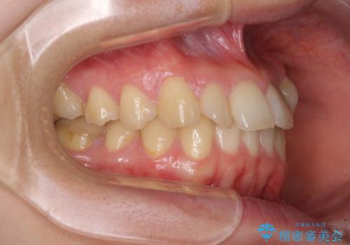
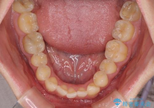
診査を行ったところ、下顎前歯が1本欠損しており、下顎歯列が上顎よりも小さくなっていることで、上顎にデコボコが生じていました。
口元を見ると抜歯をして突出感を改善するような状態ではなかったため、上顎歯列のデコボコを整えて、歯列全体を後方に移動させることでバランスを取ることとしました。
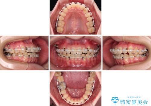
マウスピース矯正は自己管理が煩わしいとのことで、ワイヤー装置にて矯正治療を行うこととしました。
- 費用(概算)
- 治療費の目安: 83万円(税込)費用は治療当時の料金となります
※顔写真掲載にあたり、患者様の了解を得ております
治療について
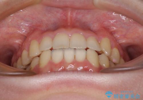
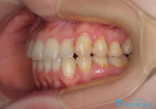
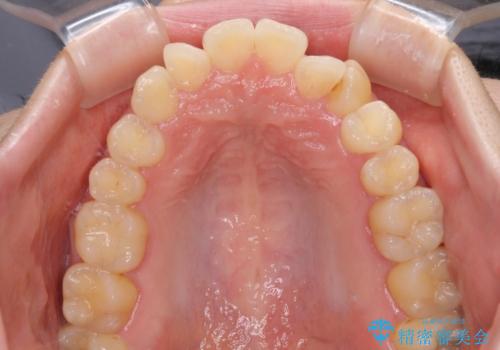
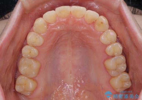
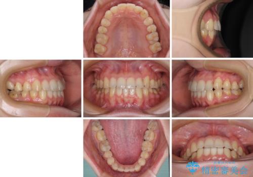
思っていた以上に上顎歯列を後方に移動させることができ、すっきりとした口元に仕上げることができました。
ワイヤー矯正の注意事項(リスク・副作用など)
- 治療中は違和感や痛みが起こることがあります
- 症状により、抜歯が必要な場合があります
- 治療中は歯磨きがしにくくなるため、虫歯や歯周病になりやすくなります
- 矯正治療後の保定が不十分だと後戻り(元の位置に戻ろうとする動き)をします
- 自費診療(保険適用外)となります
当サイトの内容、テキスト、画像等の無断転載、複製、複写、盗用を固く禁じます。


























