【モニター】急速拡大装置 狭い歯列を拡大してワイヤー装置で短期間治療の症例写真

症例詳細

Case detail

【モニター】急速拡大装置 狭い歯列を拡大してワイヤー装置で短期間治療

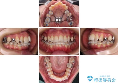
  1. 開始前
  2. 治療途中
  3. 終了時
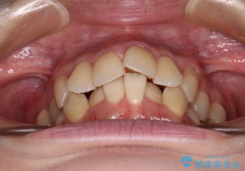
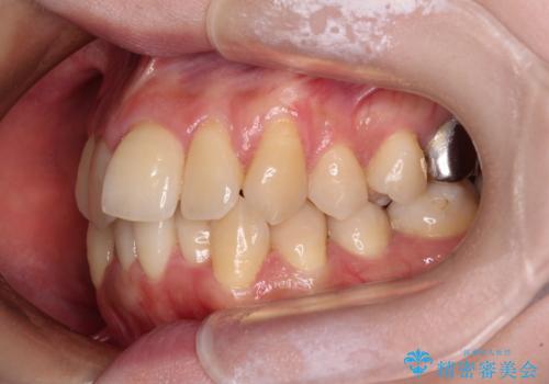
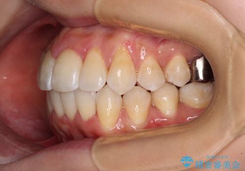
  1. 【モニター】急速拡大装置 狭い歯列を拡大してワイヤー装置で短期間治療の治療前
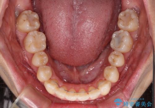
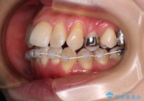
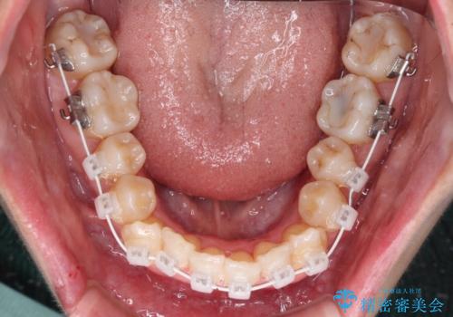
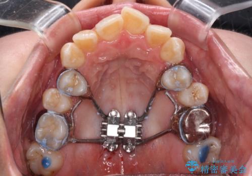
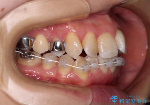
  2. 【モニター】急速拡大装置 狭い歯列を拡大してワイヤー装置で短期間治療の治療中
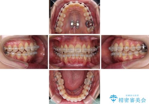
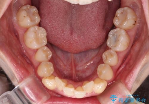
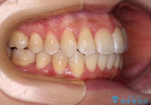
  3. 【モニター】急速拡大装置 狭い歯列を拡大してワイヤー装置で短期間治療の治療後
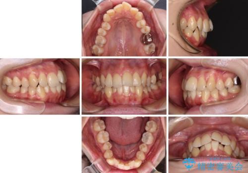
  1. 【モニター】急速拡大装置 狭い歯列を拡大してワイヤー装置で短期間治療の治療前
  2.  
  3. 【モニター】急速拡大装置 狭い歯列を拡大してワイヤー装置で短期間治療の治療後
  1. 【モニター】急速拡大装置 狭い歯列を拡大してワイヤー装置で短期間治療の治療前
  2.  
  3. 【モニター】急速拡大装置 狭い歯列を拡大してワイヤー装置で短期間治療の治療後
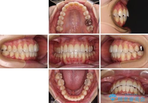
  1. 【モニター】急速拡大装置 狭い歯列を拡大してワイヤー装置で短期間治療の治療前
  2. 【モニター】急速拡大装置 狭い歯列を拡大してワイヤー装置で短期間治療の治療中
  3. 【モニター】急速拡大装置 狭い歯列を拡大してワイヤー装置で短期間治療の治療後
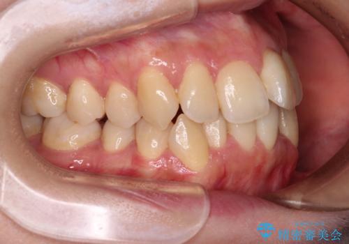
  1. 【モニター】急速拡大装置 狭い歯列を拡大してワイヤー装置で短期間治療の治療前
  2. 【モニター】急速拡大装置 狭い歯列を拡大してワイヤー装置で短期間治療の治療中
  3. 【モニター】急速拡大装置 狭い歯列を拡大してワイヤー装置で短期間治療の治療後
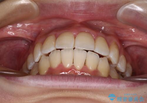
  1. 【モニター】急速拡大装置 狭い歯列を拡大してワイヤー装置で短期間治療の治療前
  2. 【モニター】急速拡大装置 狭い歯列を拡大してワイヤー装置で短期間治療の治療中
  3. 【モニター】急速拡大装置 狭い歯列を拡大してワイヤー装置で短期間治療の治療後
  1. 【モニター】急速拡大装置 狭い歯列を拡大してワイヤー装置で短期間治療の治療前
  2. 【モニター】急速拡大装置 狭い歯列を拡大してワイヤー装置で短期間治療の治療中
  3. 【モニター】急速拡大装置 狭い歯列を拡大してワイヤー装置で短期間治療の治療後
  1. 【モニター】急速拡大装置 狭い歯列を拡大してワイヤー装置で短期間治療の治療前
  2. 【モニター】急速拡大装置 狭い歯列を拡大してワイヤー装置で短期間治療の治療中
  3. 【モニター】急速拡大装置 狭い歯列を拡大してワイヤー装置で短期間治療の治療後
  1.  
  2. 【モニター】急速拡大装置 狭い歯列を拡大してワイヤー装置で短期間治療の治療中
  3.  
  1. 【モニター】急速拡大装置 狭い歯列を拡大してワイヤー装置で短期間治療の治療前
  2.  
  3. 【モニター】急速拡大装置 狭い歯列を拡大してワイヤー装置で短期間治療の治療後

治療前後の比較 ~顔貌~

  1. 開始前
  2. 終了時
  1. 【モニター】急速拡大装置 狭い歯列を拡大してワイヤー装置で短期間治療の治療前(顔貌)
  2. 【モニター】急速拡大装置 狭い歯列を拡大してワイヤー装置で短期間治療の治療後(顔貌)

この治療をした歯科医師の関連症例

24時間受付
無料相談予約

お電話での無料相談のご予約

平日 11:00-20:00 / 土日 10:00-18:00
閉じる