症例・治療例紹介
Cases
矯正歯科治療 → 叢生(でこぼこ・八重歯)
4ページ目 / 91
【クリア装置】見た目と噛み合わせを綺麗に


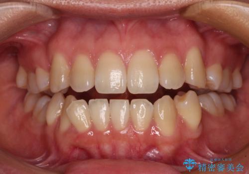
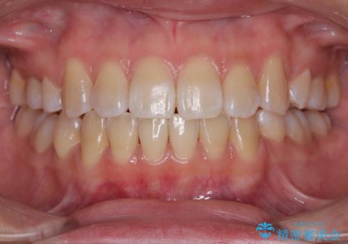
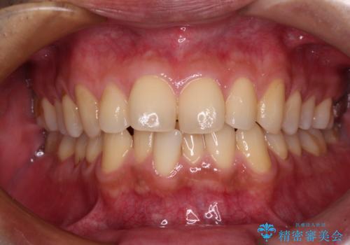
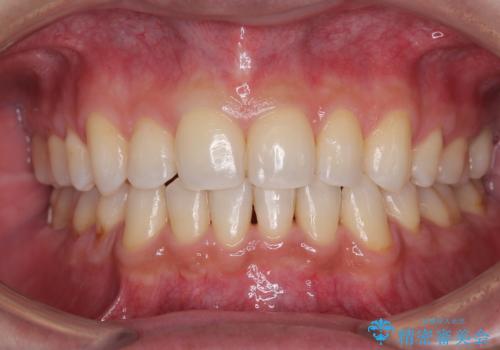
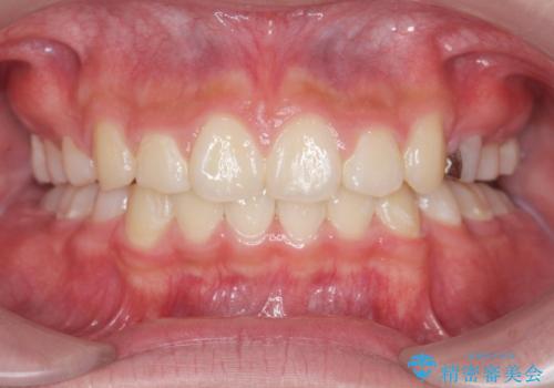
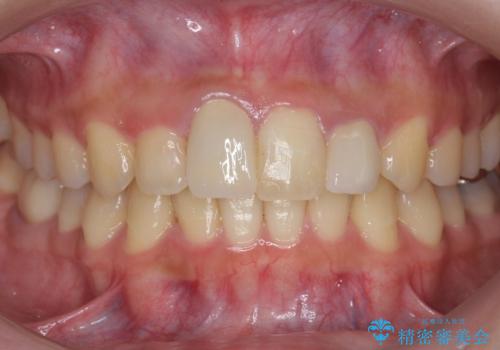
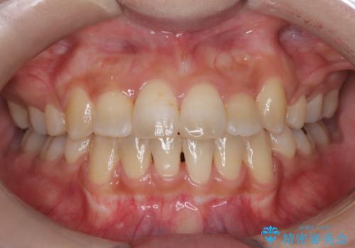
[ マウスピース矯正治療 ] がたつき ねじれのある前歯をきれいにしたい
担当医 大元洋佑
![[ マウスピース矯正治療 ] がたつき ねじれのある前歯をきれいにしたいの症例 治療前](https://seimitsushinbi.jp/wp/wp-content/uploads/2025/04/8438e7299f1b9566ac213e8e9f7db5f6-500x350.jpg?v=1745226068)
![[ マウスピース矯正治療 ] がたつき ねじれのある前歯をきれいにしたいの症例 治療後](https://seimitsushinbi.jp/wp/wp-content/uploads/2025/04/IMG_0097-500x350.jpg?v=1745225947)
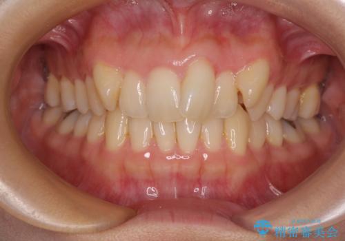
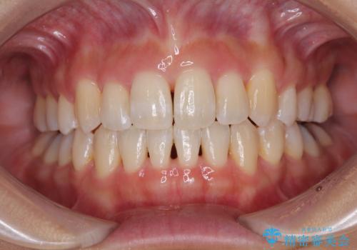
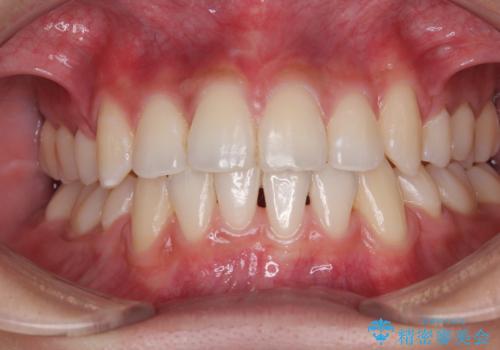
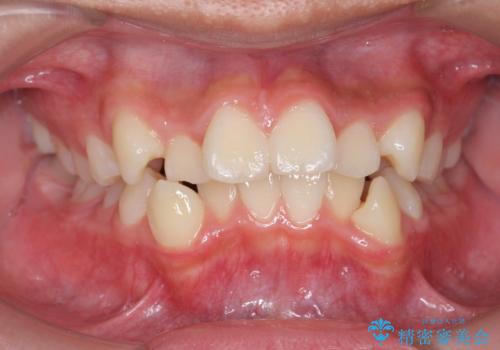
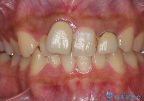
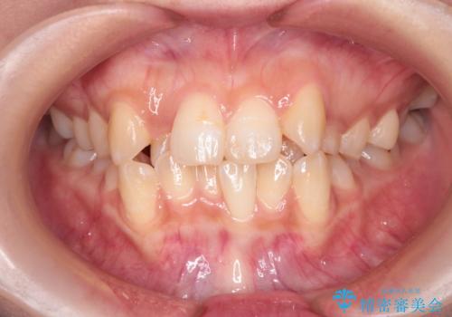
[ マウスピース矯正] 前歯のがたつき 出っ歯に見える歯をきれいに
担当医 大元洋佑
![[ マウスピース矯正] 前歯のがたつき 出っ歯に見える歯をきれいに の症例 治療前](https://seimitsushinbi.jp/wp/wp-content/uploads/2025/04/IMG_0123-500x350.jpg?v=1744960747)
![[ マウスピース矯正] 前歯のがたつき 出っ歯に見える歯をきれいに の症例 治療後](https://seimitsushinbi.jp/wp/wp-content/uploads/2025/04/a5c1eab0aff12598c7b5c9fb710c2648-500x350.jpg?v=1744960670)
【モニター】インビザライン 前歯の捻れを治したい


非接触の前歯と下顎のデコボコ ワイヤー装置による矯正治療


前歯のデコボコをインビザラインで綺麗に
担当医 藤巻太一朗


八重歯を改善 ワイヤー装置での抜歯矯正


口元の突出感 抜歯矯正でスッキリした口元に


下唇に前歯が引っかかる インビザライン矯正でスッキリした口元に


【モニター】デコボコ前歯をワイヤー装置での抜歯矯正で改善
担当医 藤巻太一朗


【インビザライン】歯の本数少ないのにがたつきがある セラミックインレー


【インビザラインモニター】前歯のがたつき気になる


がちゃがちゃした前歯をきれいにしたい


前歯のがたつき 保険治療の前歯の被せ物もやりかえたい


重度の歯並びの乱れを改善|上下4本抜歯と審美ワイヤー矯正で美しい歯列へ
担当医 河口智英


ワイヤー矯正歯科治療の注意事項(リスク・副作用など)
- 治療中は違和感や痛みが起こることがあります
- 症状により、抜歯が必要な場合があります
- 治療中は歯磨きがしにくくなるため、虫歯や歯周病になりやすくなります
- 矯正治療後の保定が不十分だと後戻り(元の位置に戻ろうとする動き)をします
- 自費診療(保険適用外)となります
マウスピース矯正の注意事項(リスク・副作用など)
- 口腔内・歯並びの状態によっては対応できない場合があります
- マウスピース型矯正装置の長時間装着が必須です
- 治療計画通りに進めるためには、患者様の意志が重要になります
- 矯正治療後の保定が不十分だと後戻り(元の位置に戻ろうとする動き)をします
- 自費診療(保険適用外)となります
