症例詳細
Case detail
矯正と虫歯のセラミック治療 総合歯科治療の実践
- 患者様
- 40代男性
- 矯正装置
- インビザライン
- 治療期間
- 1年6ヶ月
- 治療回数
- 10-30回
- 治療計画
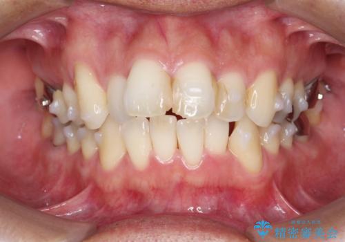
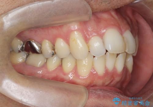
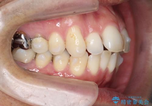
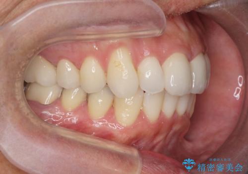
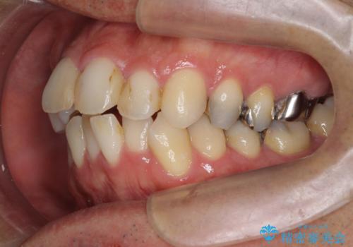
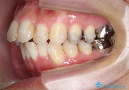
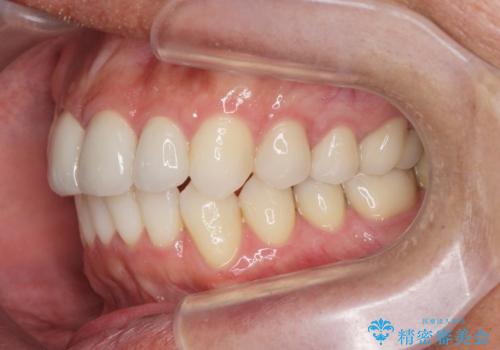
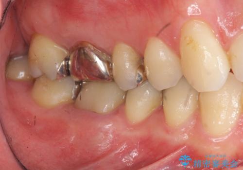
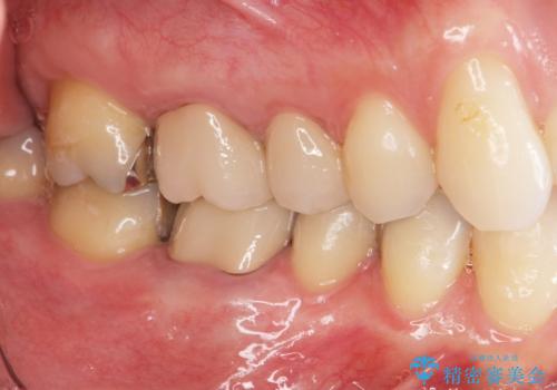
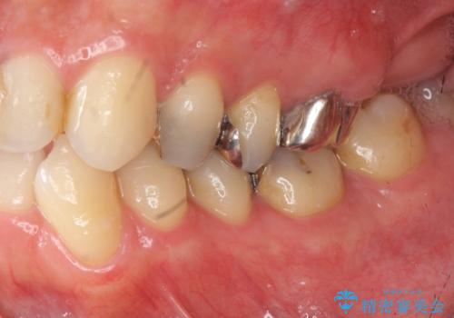
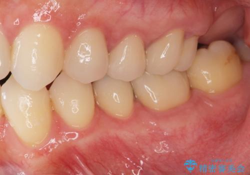
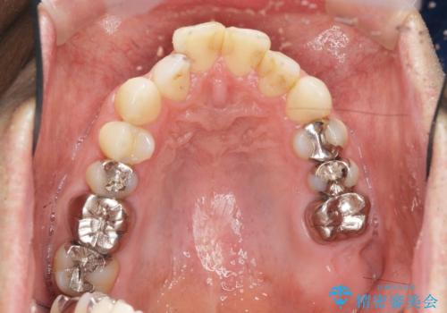
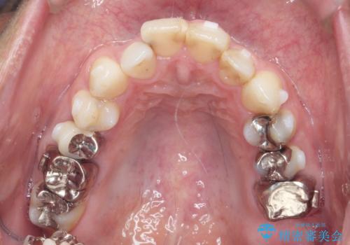
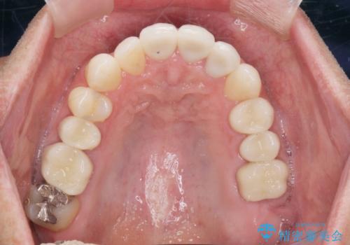
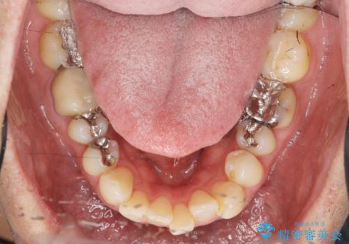
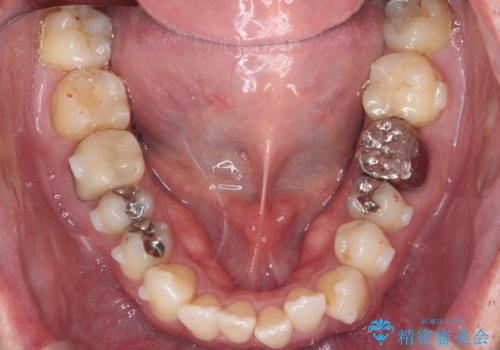
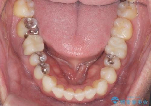
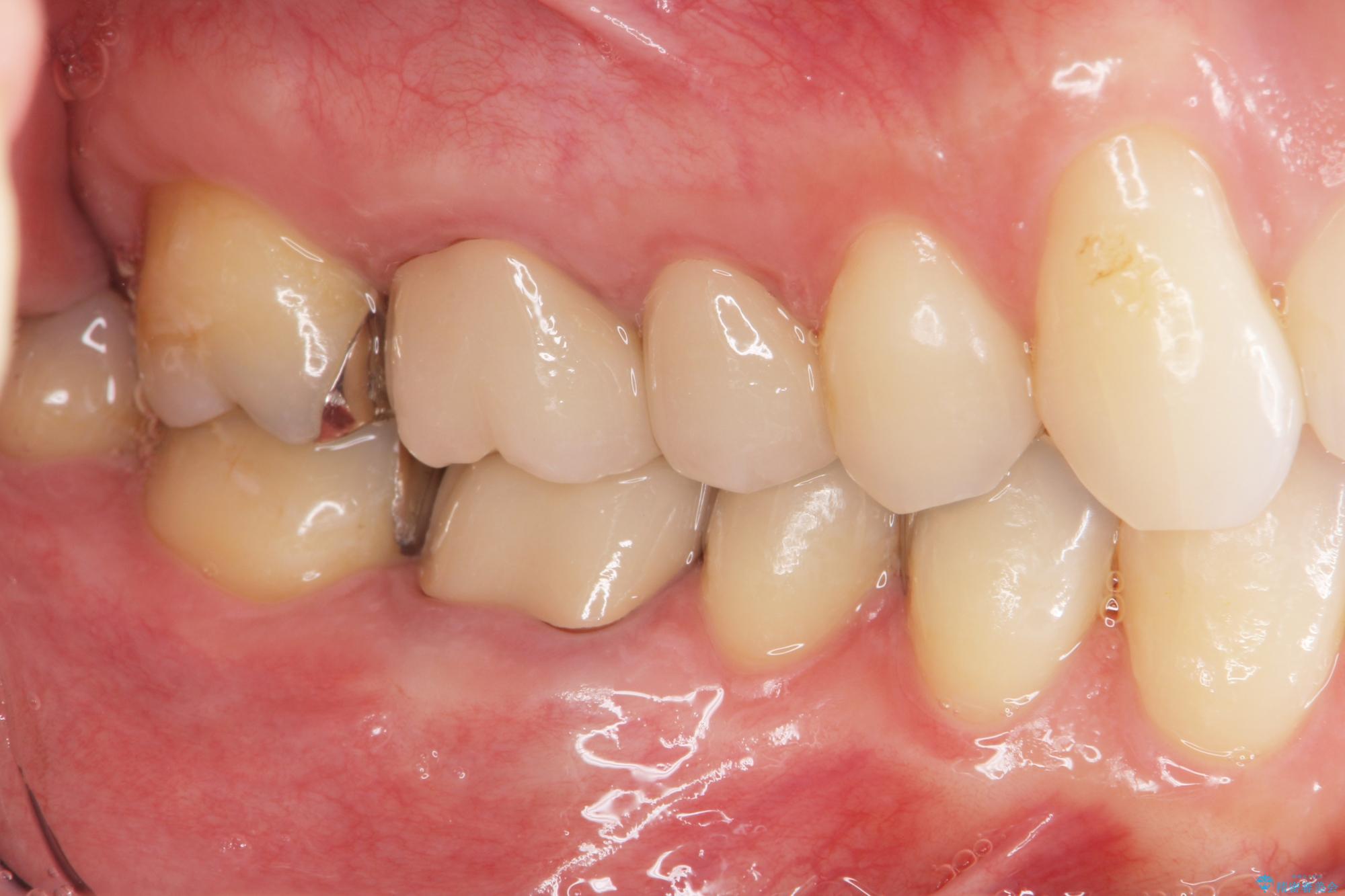
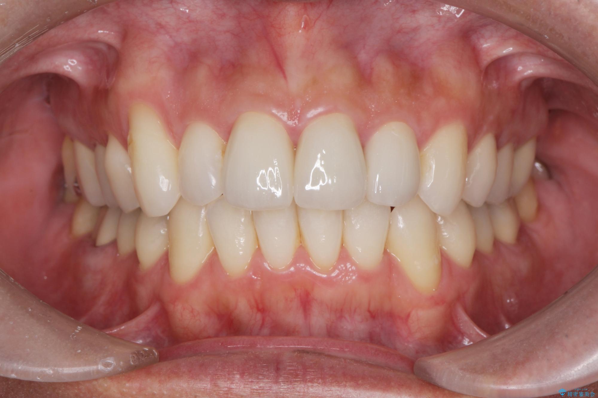
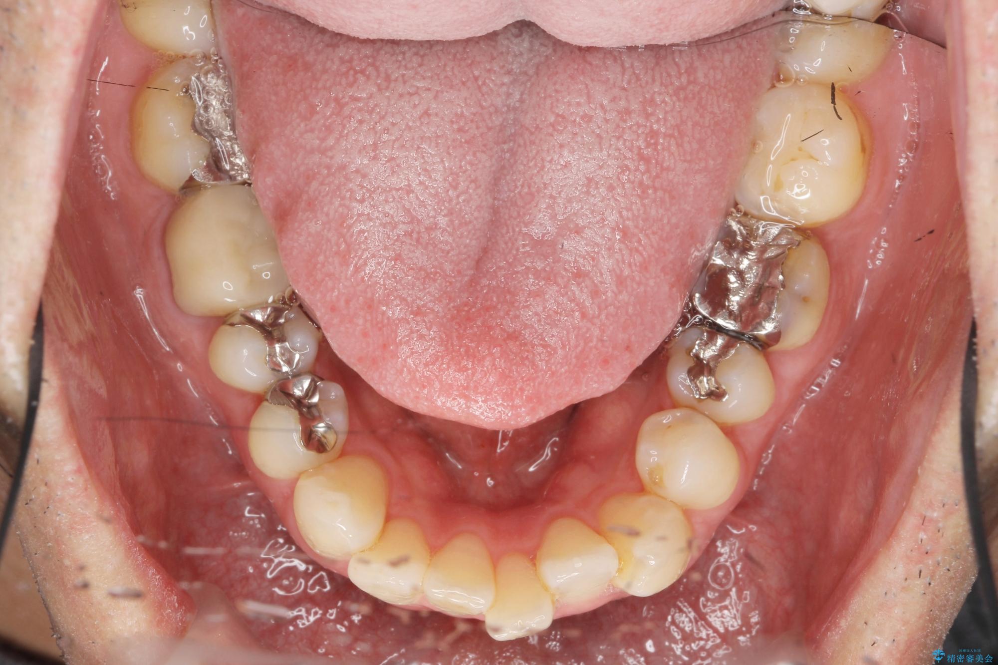
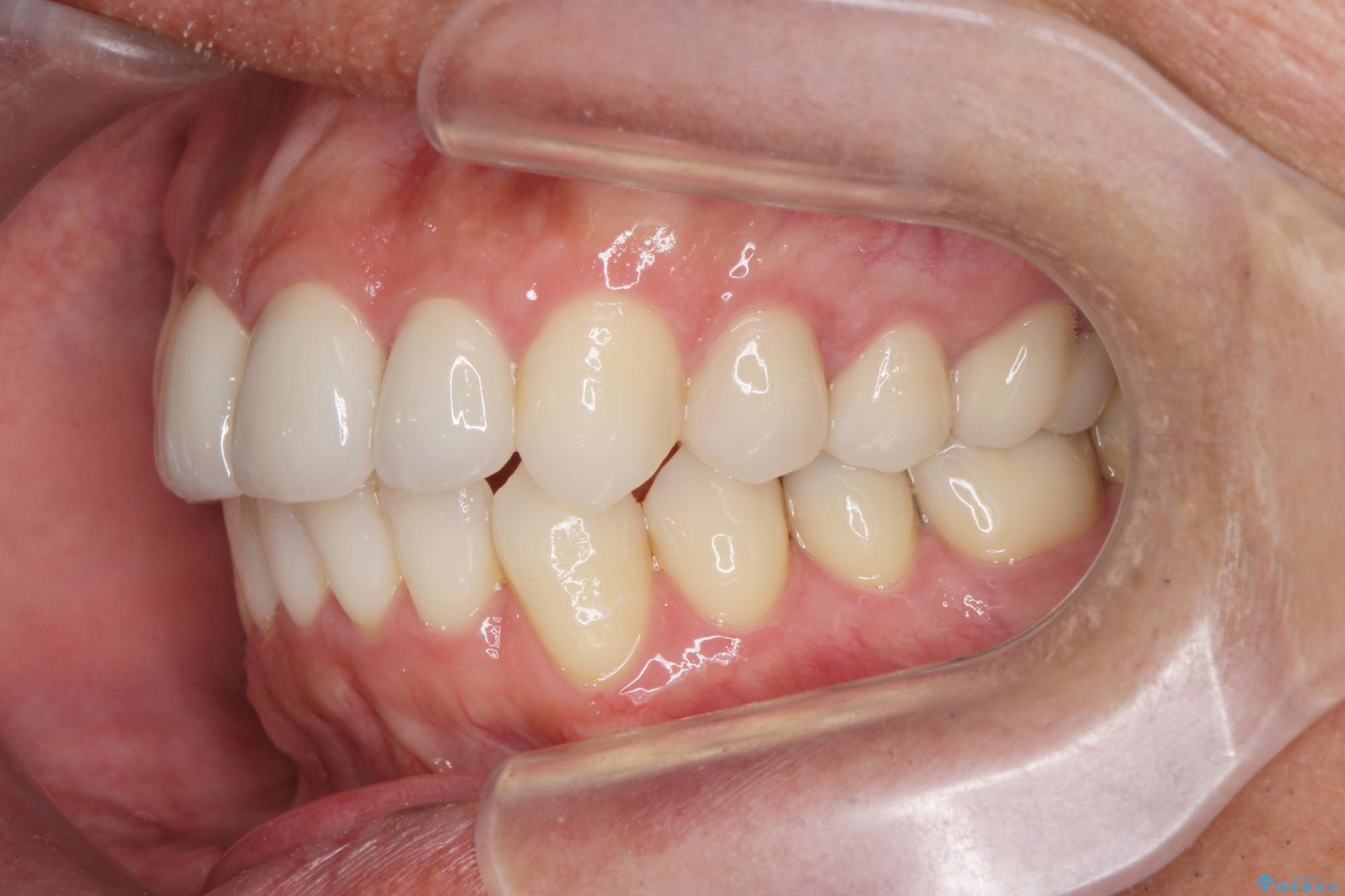
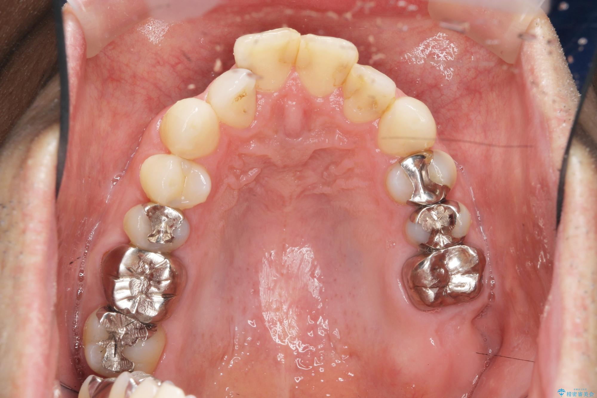
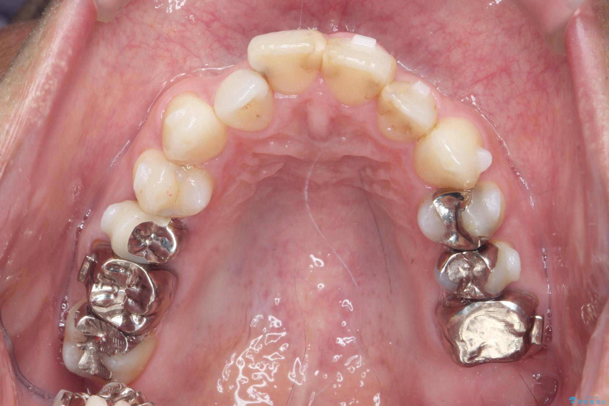
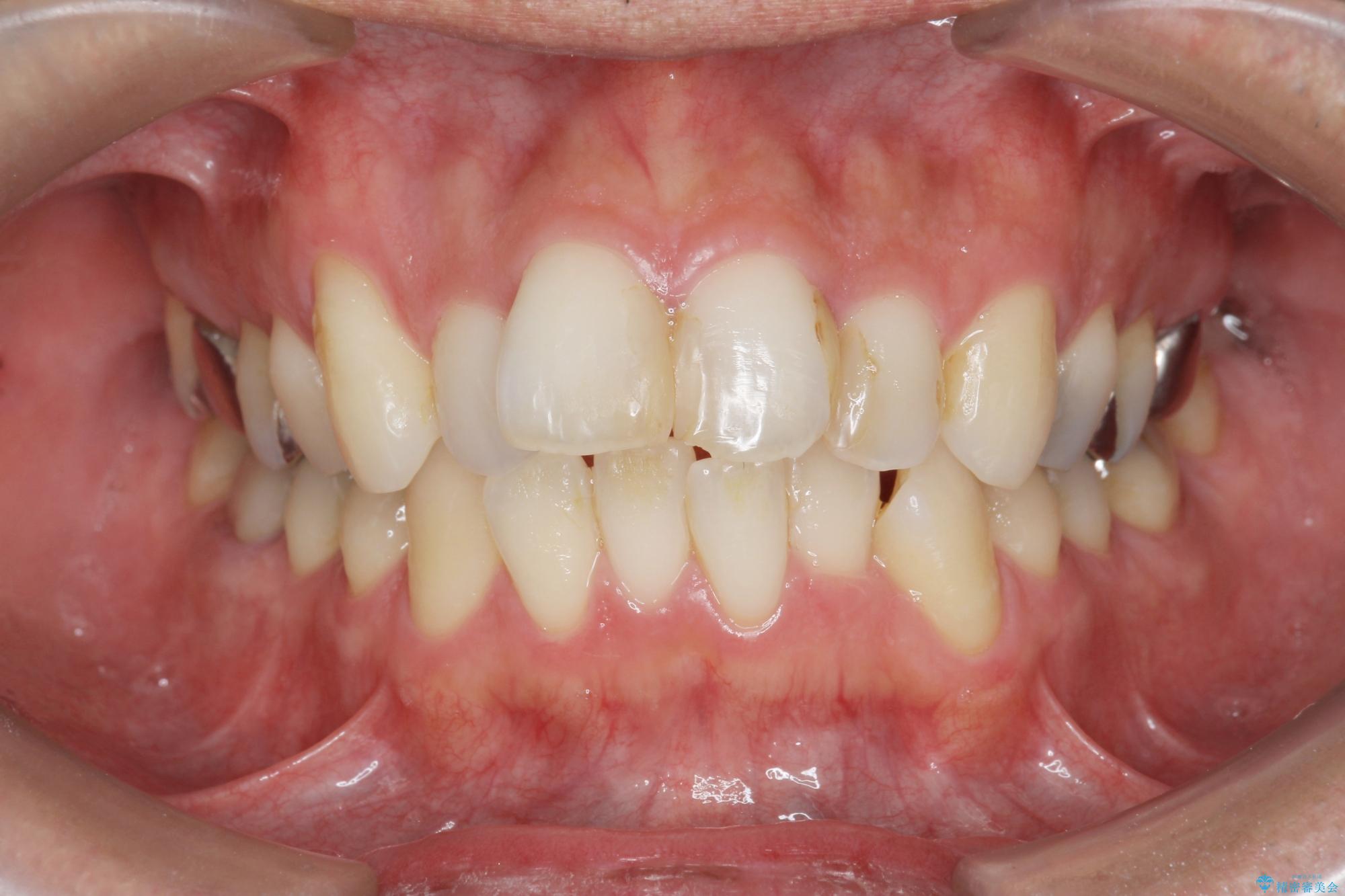
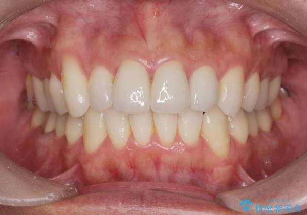
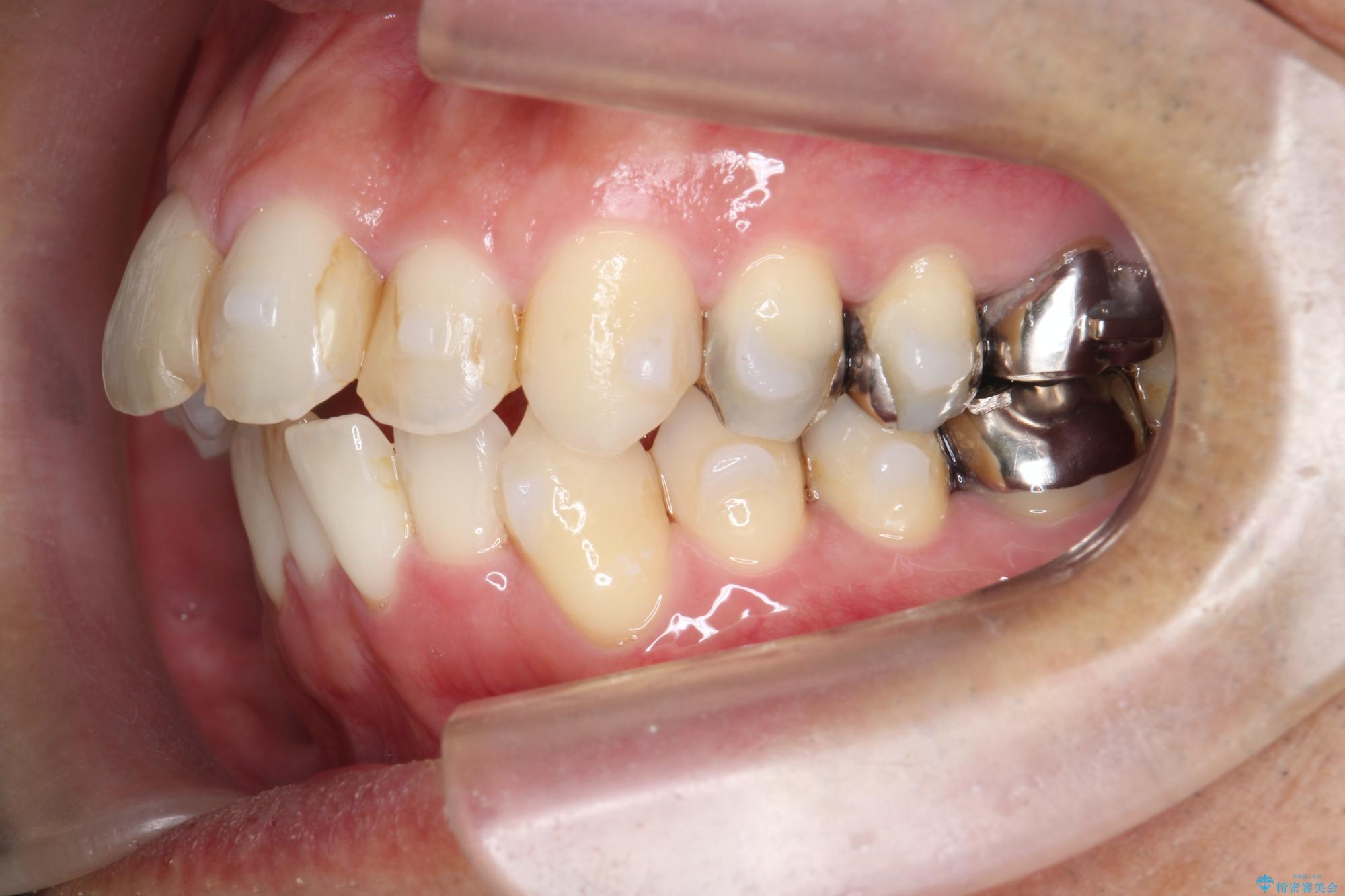
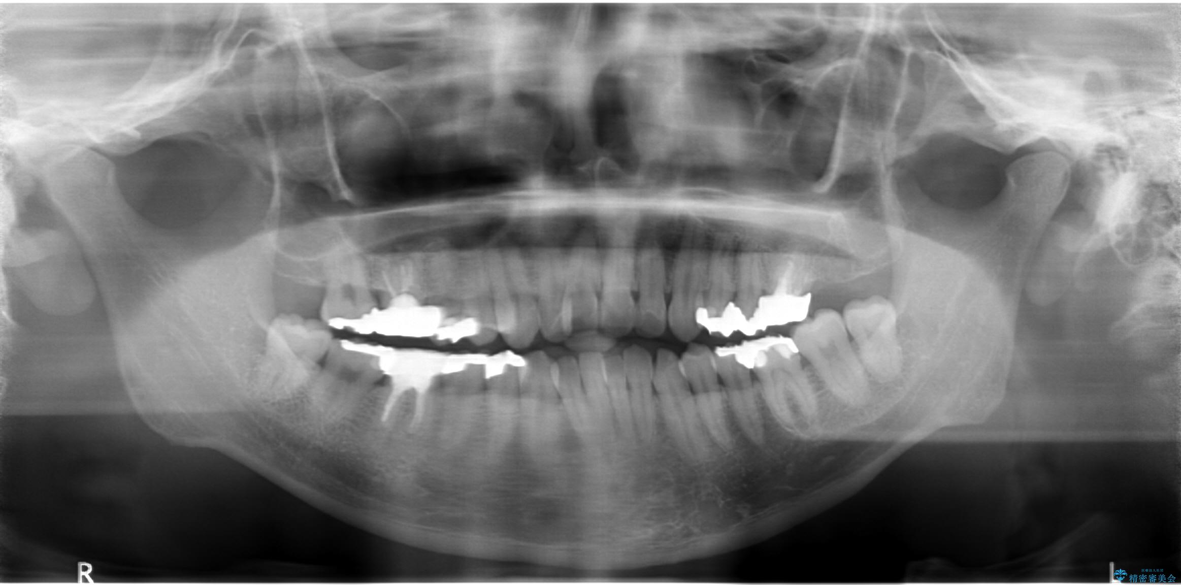
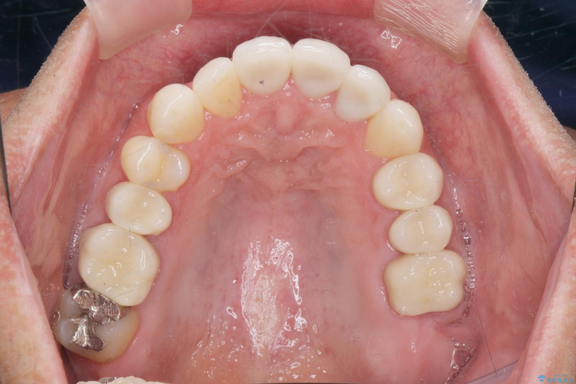
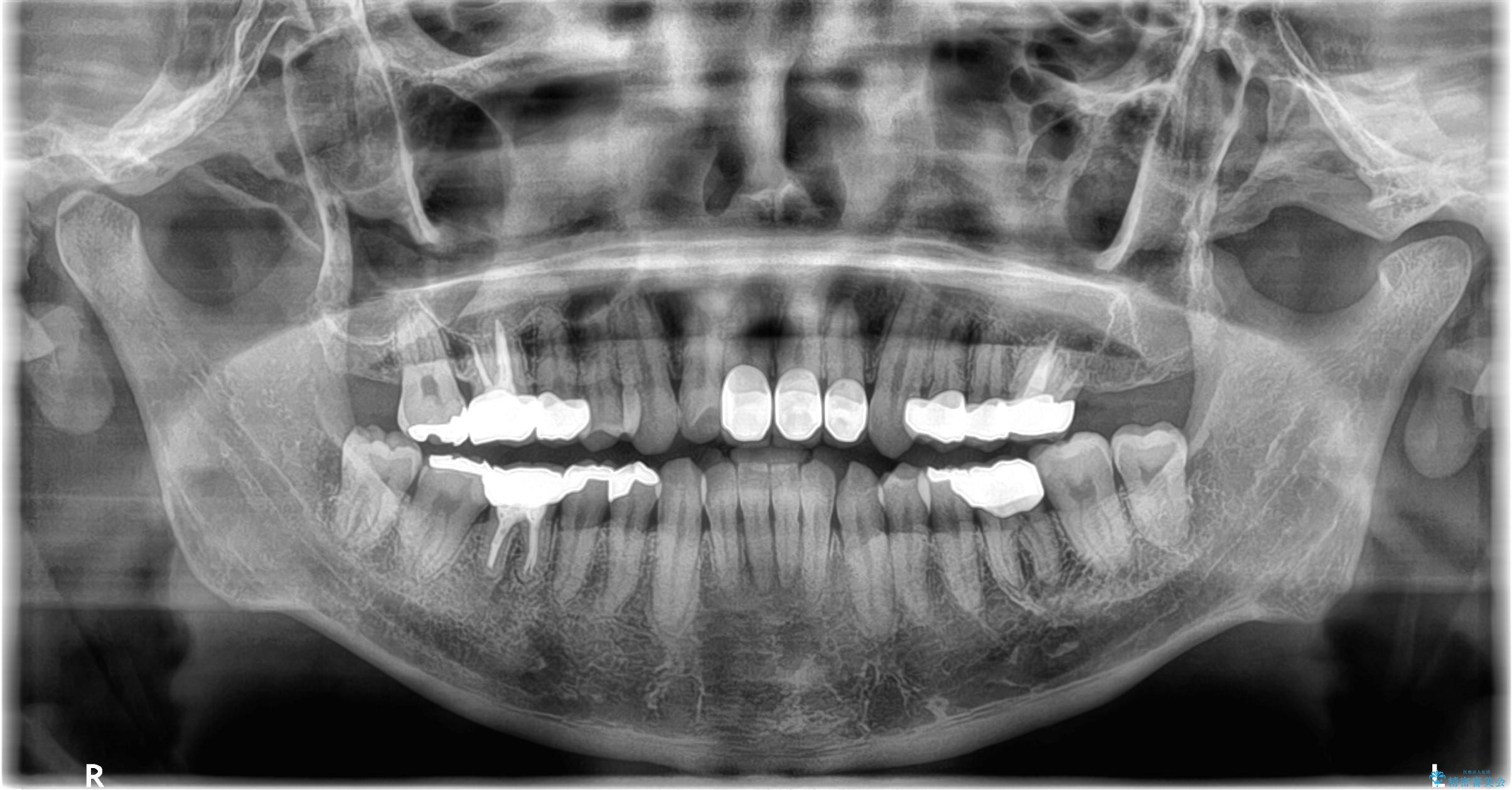
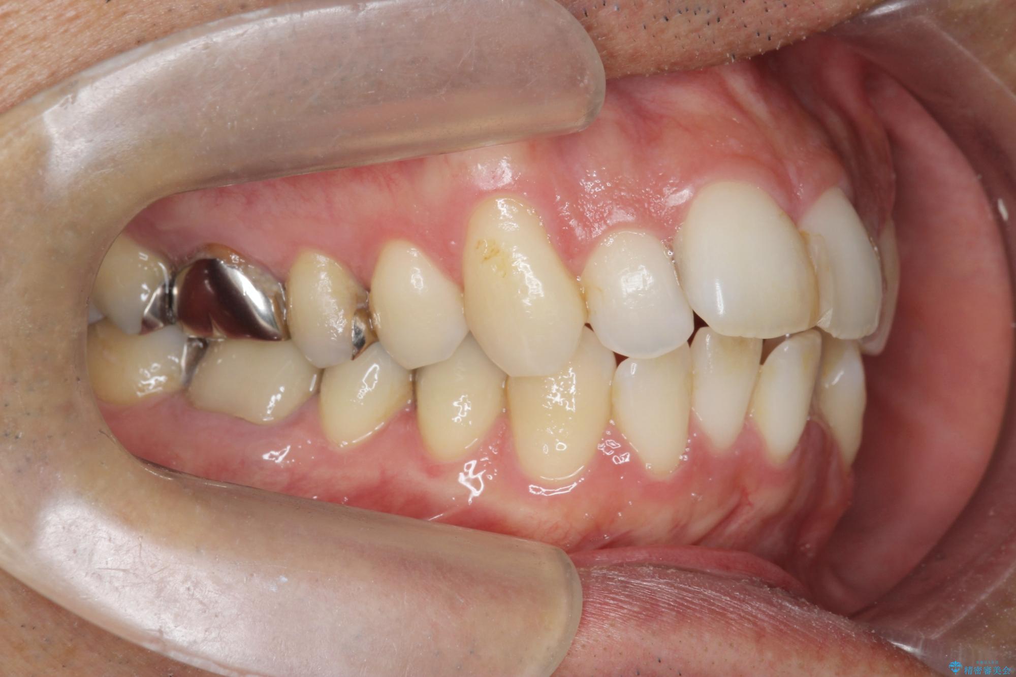
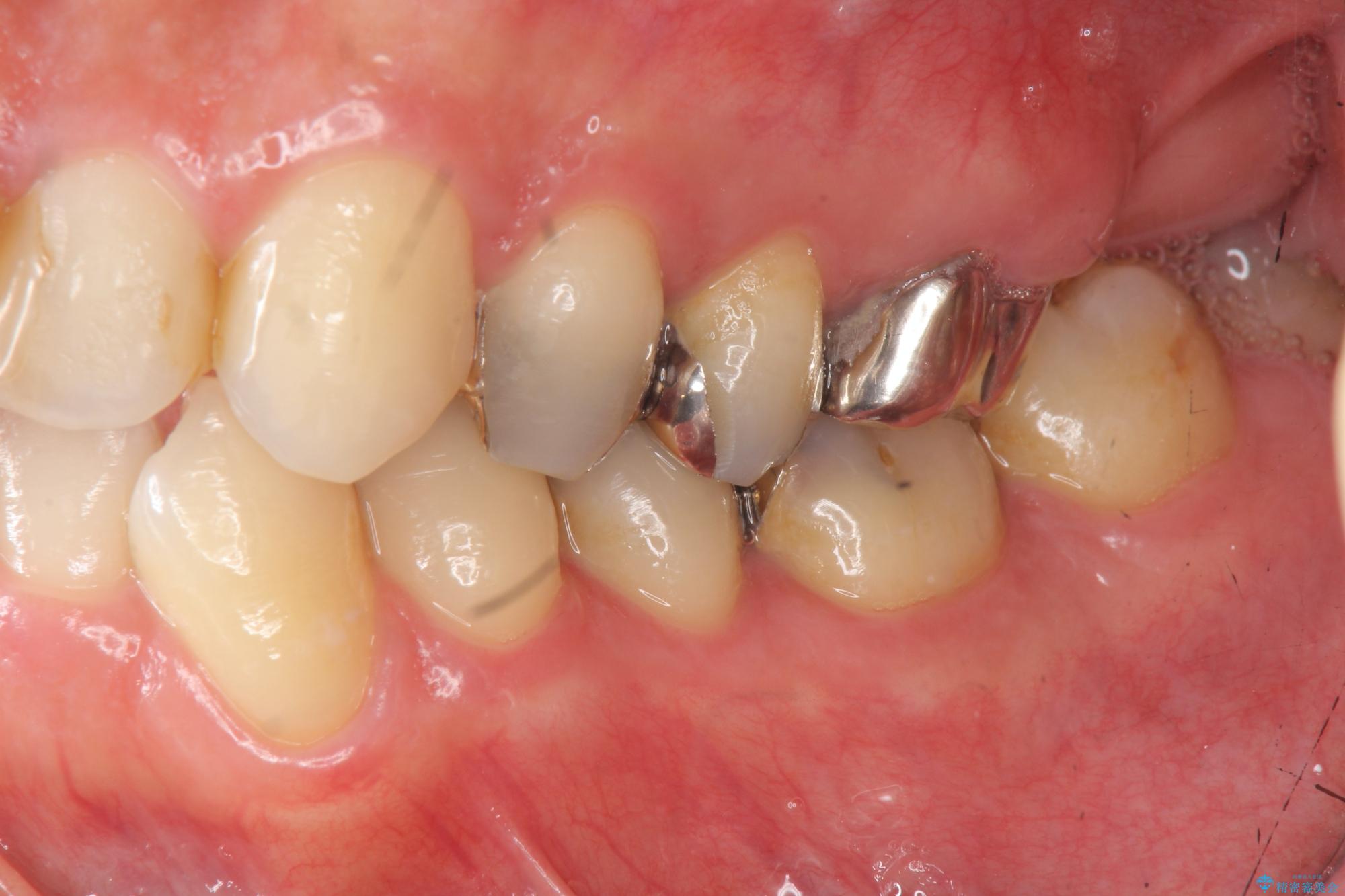
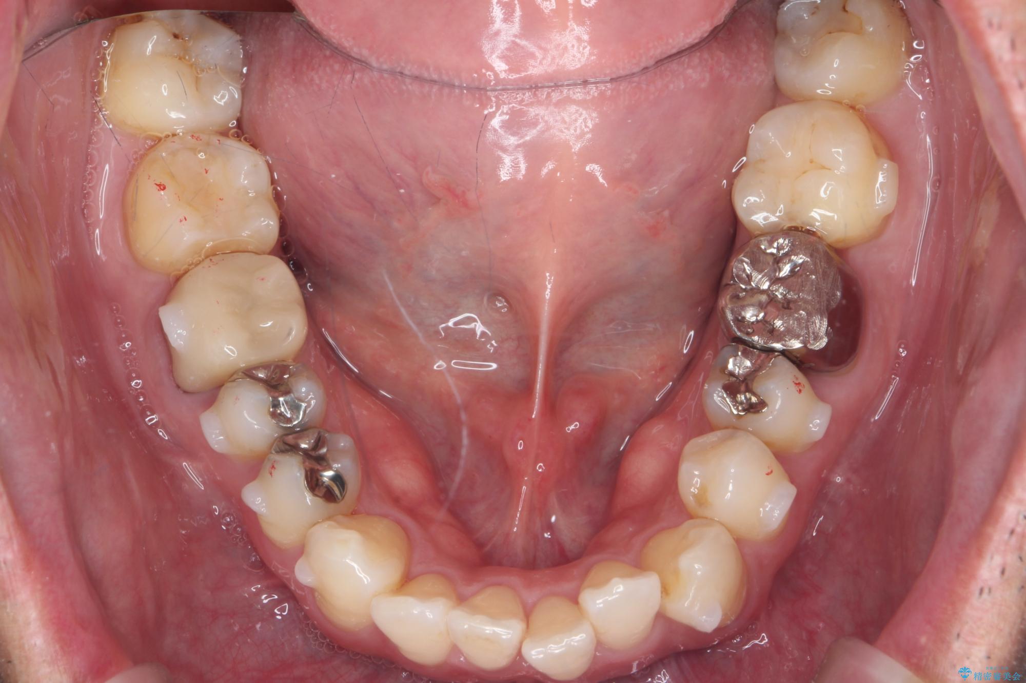
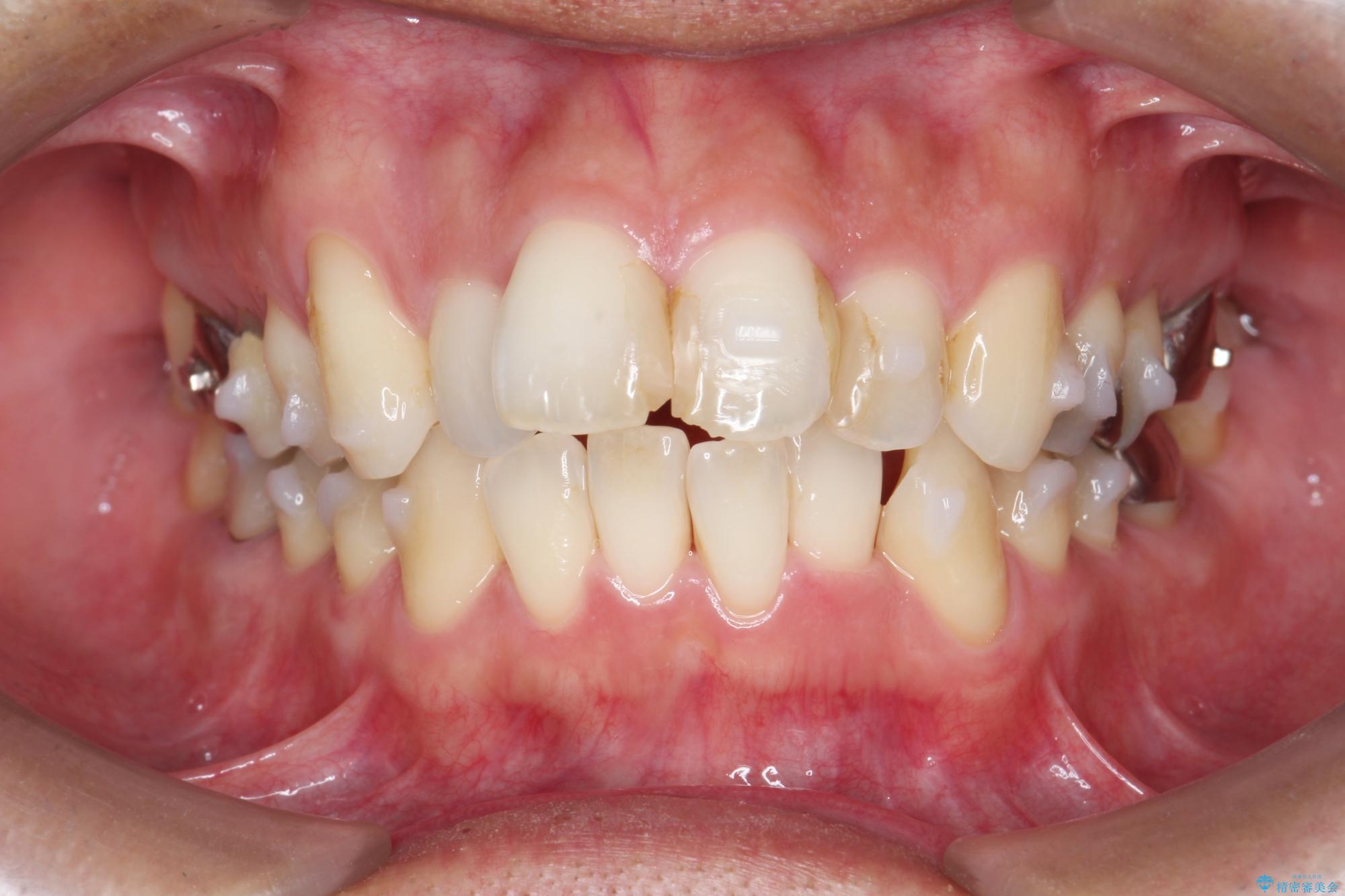
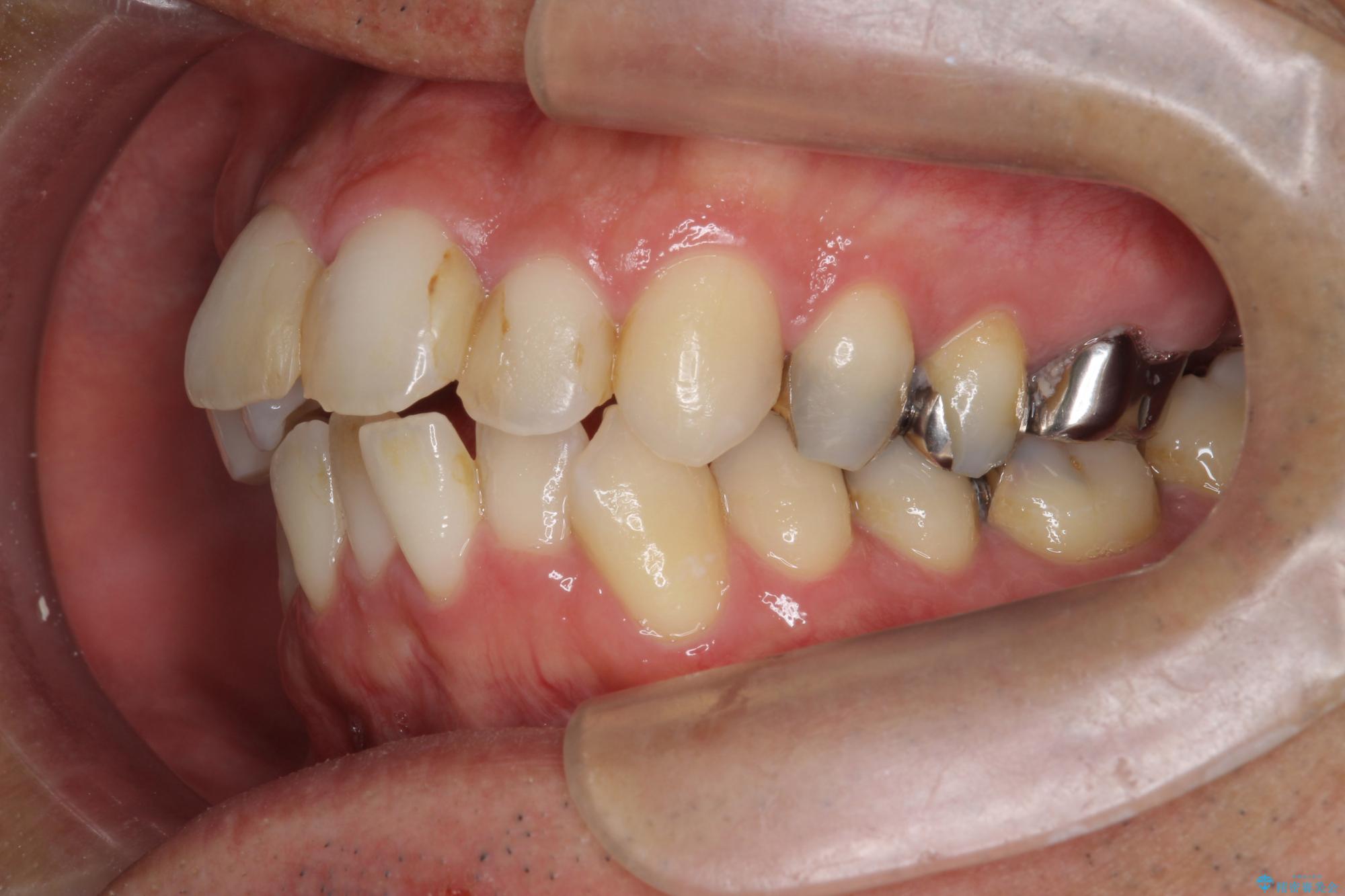
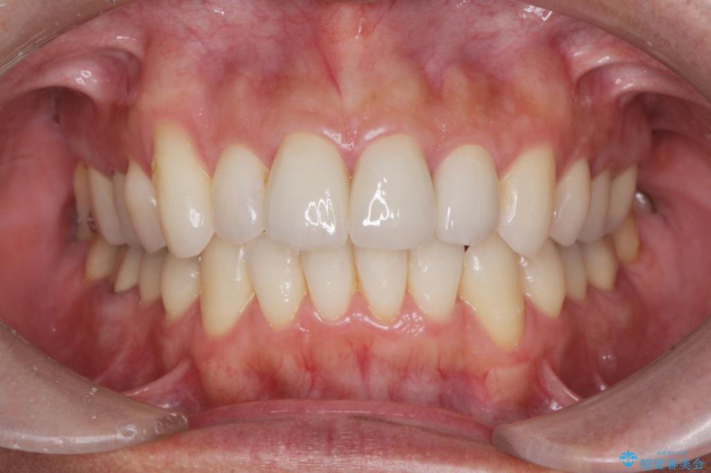
- 突き出た前歯の角度の改善と虫歯治療の改善を求めて来院されました。
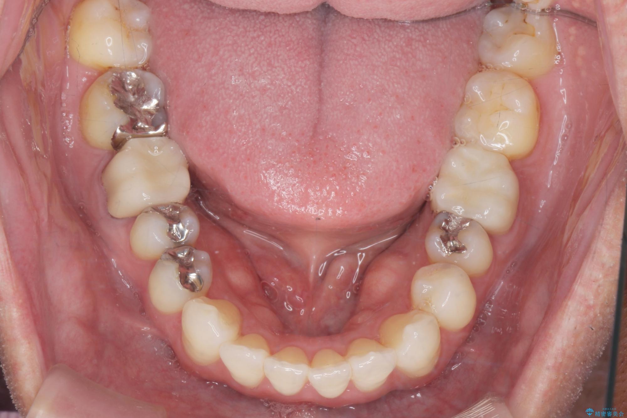
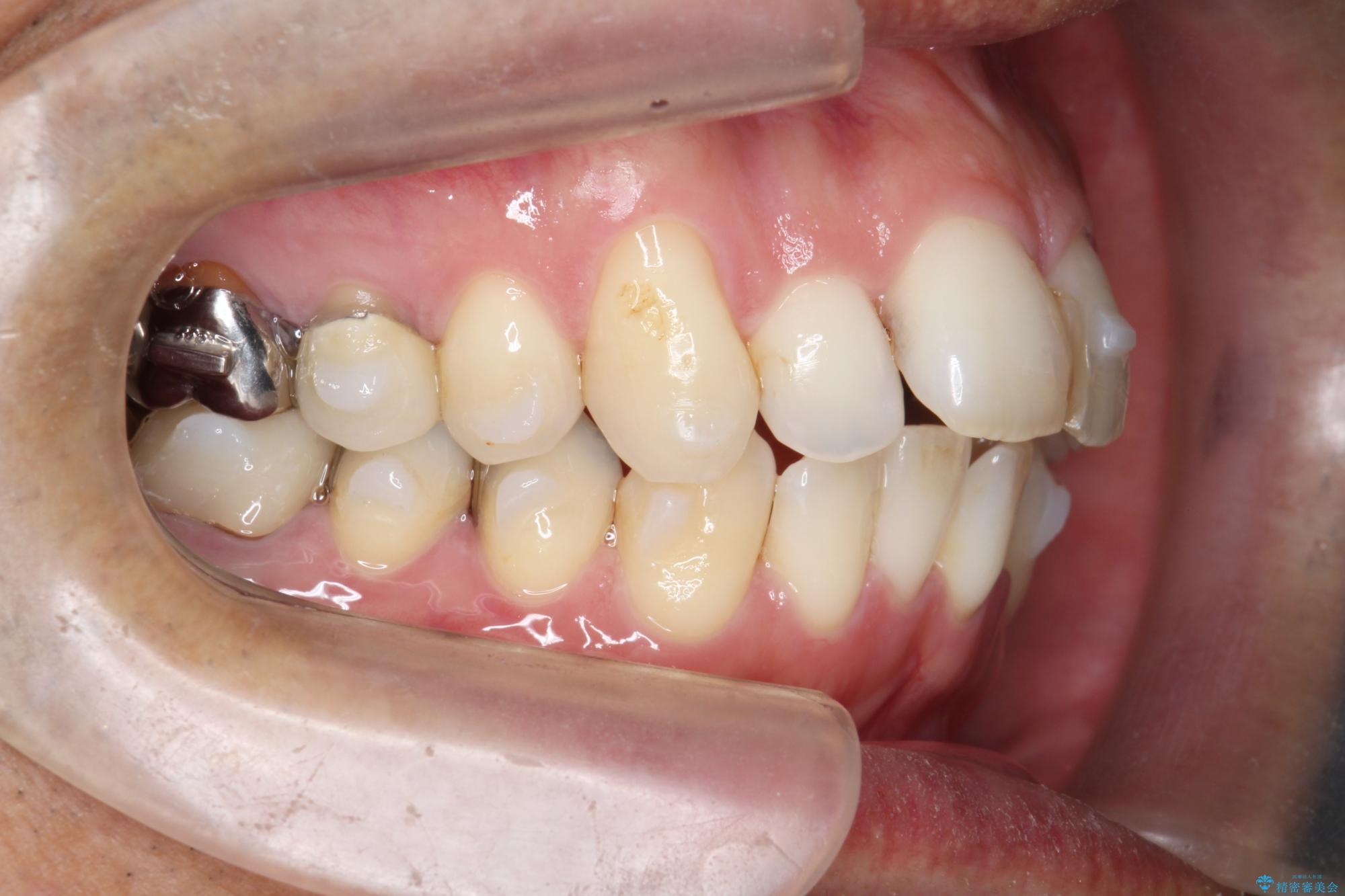
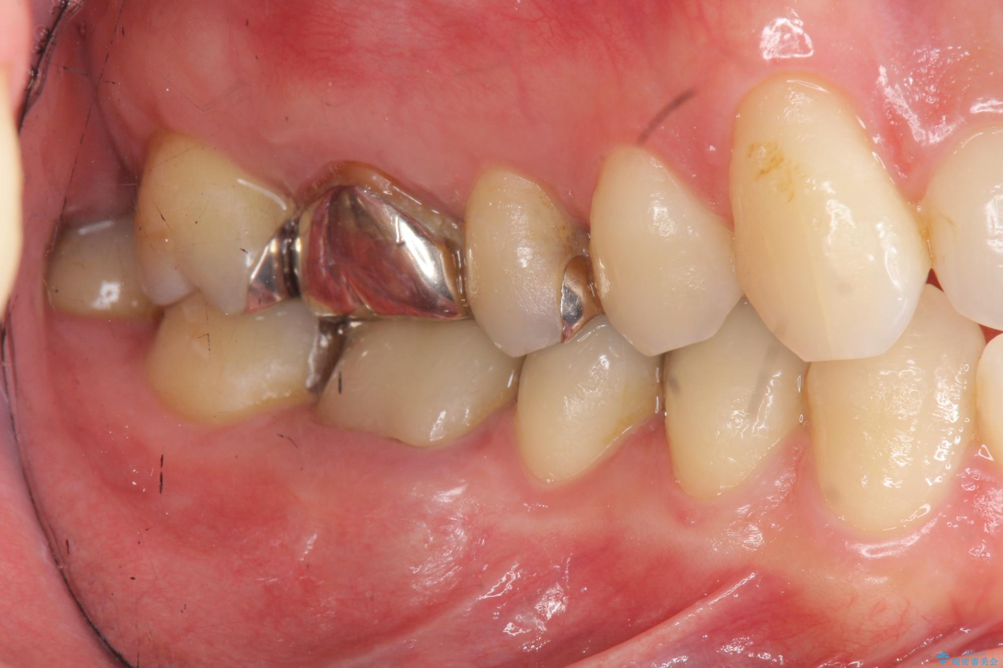
虫歯を除去したのち、マウスピース矯正治療を行い、歯並びやがたつきを改善したのち、セラミックに置き換えることで審美性の向上を計画します。
- 費用(概算)
- 88万円 (マウスピース矯正治療代として)費用は治療当時の料金となります
治療について
矯正や虫歯治療、セラミック治療といった複合的な治療を一医院で行うことができるのが当法人の大きな特長です。
セラミック治療の注意事項(リスク・副作用など)
- 天然歯を削ります
- 硬い素材は天然歯を傷つけてしまう場合があります
- かみ合わせや歯ぎしりが強すぎる方はセラミックが割れてしまう可能性があります
- 自費診療(保険適用外治療)となります
マウスピース矯正の注意事項(リスク・副作用など)
- 口腔内・歯並びの状態によっては対応できない場合があります
- マウスピース型矯正装置の長時間装着(1日20時間以上)が必須です
- 治療計画通りに進めるためには、患者様の意志が重要になります
- 矯正治療後の保定が不十分だと後戻り(元の位置に戻ろうとする動き)をします
- 薬機法対象外の矯正歯科装置のため医薬品副作用被害救済制度の対象外となる場合があります
- 自費診療(保険適用外)となります
当サイトの内容、テキスト、画像等の無断転載、複製、複写、盗用を固く禁じます。





















