症例・治療例紹介
Cases
矯正歯科治療 → 非抜歯(歯を抜かない)
3ページ目 / 14
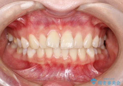
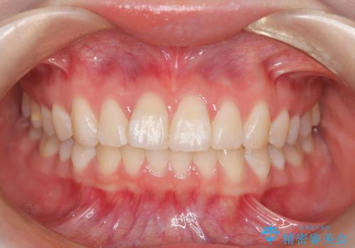
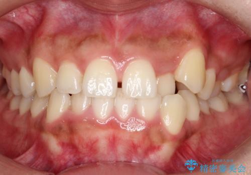
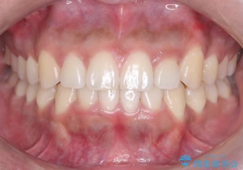
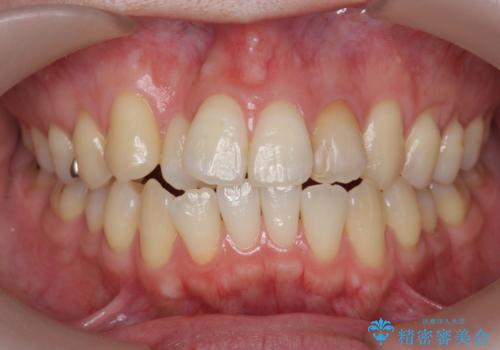
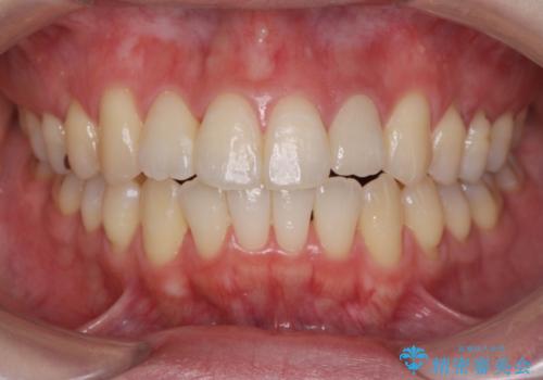
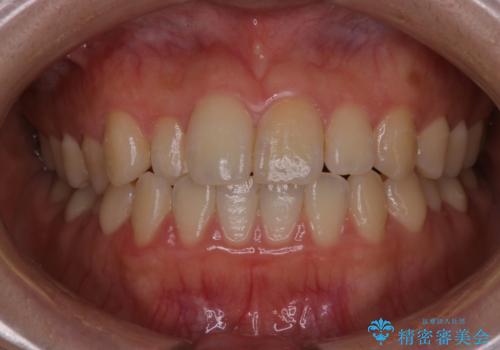
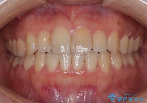
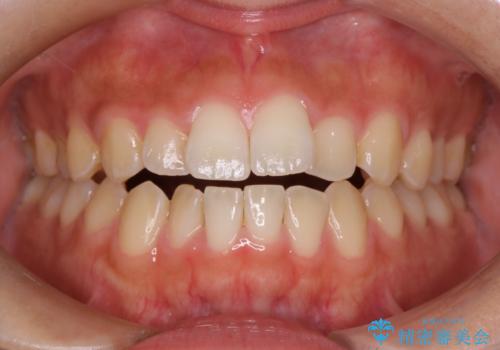
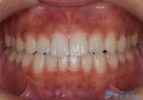
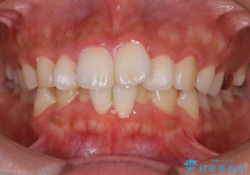
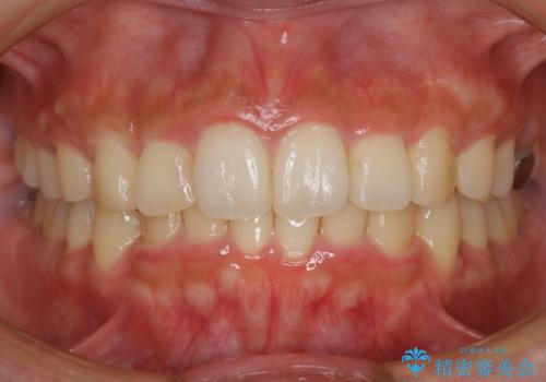
【非抜歯】インビザラインで正しい噛み合わせを


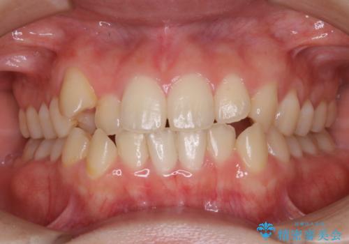
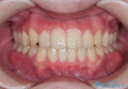
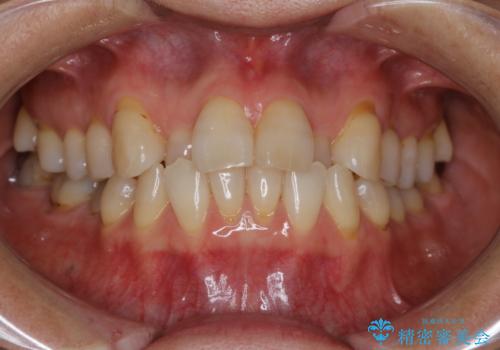
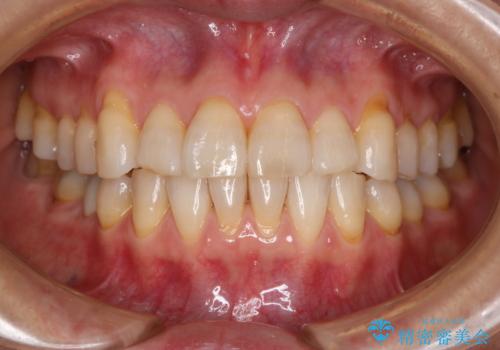
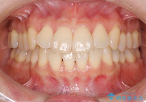
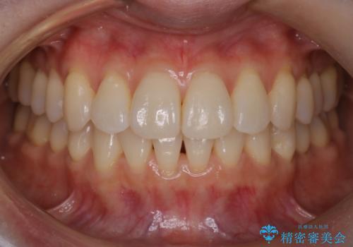
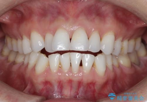
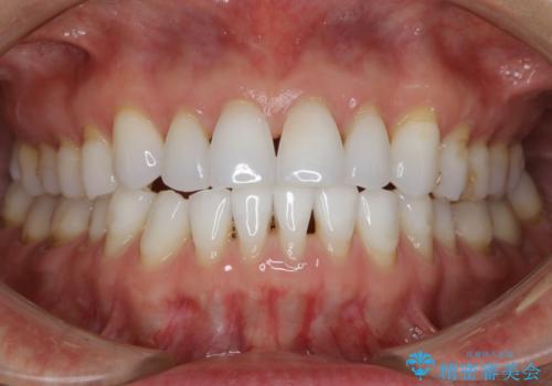
目立たない装置でデコボコを改善 ハーフリンガルによる矯正治療


前歯のガタつきを治したい 翼状捻転マウスピース矯正


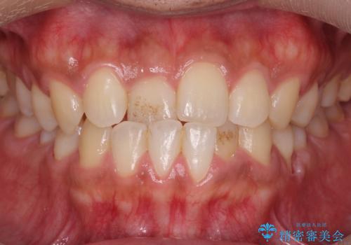
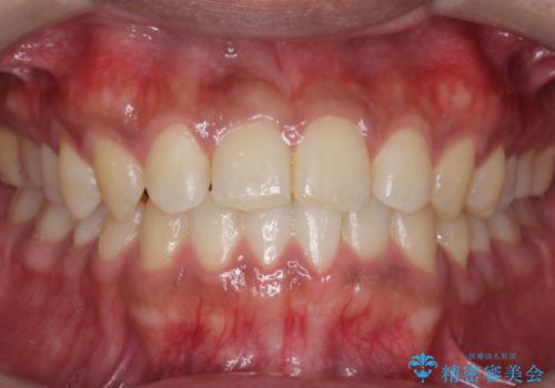
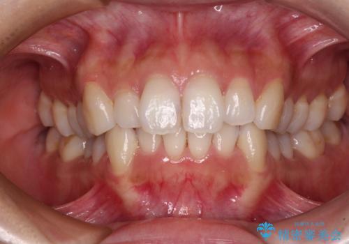
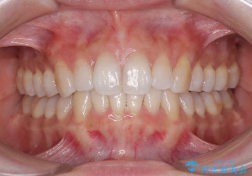
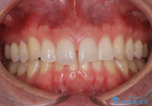
八重歯とクロスバイト:インビザライン治療


非抜歯で短期間!ワイヤー矯正で理想の歯並びを実現


前歯の反対咬合、奥に引っ込んでしまっている歯をインビザラインで治療する


骨格性の受け口の矯正 部分ワイヤーで上の前歯を前に、 マウスピースで下の前歯を後ろに。


補助装置を用いて奥歯の咬み合わせを事前に改善 インビザラインによる矯正治療


引っ込んだ前歯を並べたい マウスピースと部分ワイヤーのコンビネーション矯正


【インビザライン】前歯のがたつきを目立たない装置で治療


【インビザライン】がたつきをマウスピースできれいにしたい


【インビザライン】かみ合わせを整えたい
担当医 菊地俊介


【非抜歯】インビザラインでガタつきと口元を改善!非抜歯でも印象が変わる矯正治療


【非抜歯】マウスピースでオープンバイトを治す


【インビザライン】すきっぱを治したい


ワイヤー矯正歯科治療の注意事項(リスク・副作用など)
- 治療中は違和感や痛みが起こることがあります
- 症状により、抜歯が必要な場合があります
- 治療中は歯磨きがしにくくなるため、虫歯や歯周病になりやすくなります
- 矯正治療後の保定が不十分だと後戻り(元の位置に戻ろうとする動き)をします
- 自費診療(保険適用外)となります
マウスピース矯正の注意事項(リスク・副作用など)
- 口腔内・歯並びの状態によっては対応できない場合があります
- マウスピース型矯正装置の長時間装着が必須です
- 治療計画通りに進めるためには、患者様の意志が重要になります
- 矯正治療後の保定が不十分だと後戻り(元の位置に戻ろうとする動き)をします
- 自費診療(保険適用外)となります
