症例・治療例紹介
Cases
矯正歯科治療 → 叢生(でこぼこ・八重歯)
14ページ目 / 91
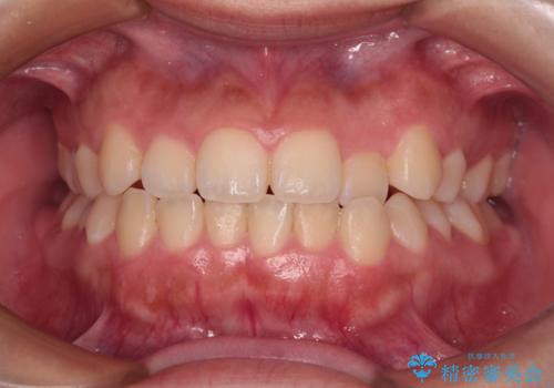
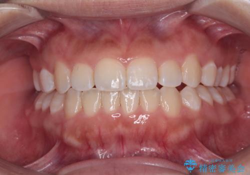
矯正後の後戻りで前歯にガタツキができてしまった インビザラインで改善


補助装置を用いて奥歯の咬み合わせを事前に改善 インビザラインによる矯正治療


激痛の奥歯のむし歯治療 折角なので矯正治療もしたい


矯正の後戻りと奥歯の欠損 ワイヤー矯正とインプラント治療


前歯のクロスバイトを改善 インビザライン・モデレートによる矯正治療
担当医 藤巻太一朗


犬歯が歯ぐきにうまっている 真ん中のずれ、出っ歯を治したい


【モニター】後戻りでできた隙間 ワイヤー装置での再矯正


引っ込んだ前歯を並べたい マウスピースと部分ワイヤーのコンビネーション矯正


マウスピース矯正で前歯のガタツキを改善! 短期間で治療完了


過蓋咬合・上顎前突・叢生を改善するマウスピース矯正


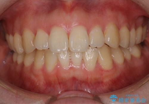
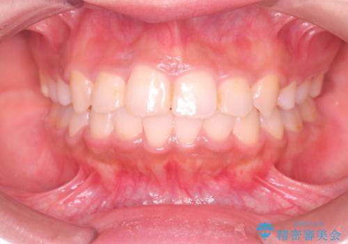
矯正後の後戻り インビザラインで改善


前歯のガタツキをインビザラインで改善


【審美ワイヤー】重度の叢生を治療
担当医 河口智英


【審美装置】前歯のがたがたを治したい
担当医 河口智英


ワイヤー矯正歯科治療の注意事項(リスク・副作用など)
- 治療中は違和感や痛みが起こることがあります
- 症状により、抜歯が必要な場合があります
- 治療中は歯磨きがしにくくなるため、虫歯や歯周病になりやすくなります
- 矯正治療後の保定が不十分だと後戻り(元の位置に戻ろうとする動き)をします
- 自費診療(保険適用外)となります
マウスピース矯正の注意事項(リスク・副作用など)
- 口腔内・歯並びの状態によっては対応できない場合があります
- マウスピース型矯正装置の長時間装着が必須です
- 治療計画通りに進めるためには、患者様の意志が重要になります
- 矯正治療後の保定が不十分だと後戻り(元の位置に戻ろうとする動き)をします
- 自費診療(保険適用外)となります


