症例・治療例紹介
Cases
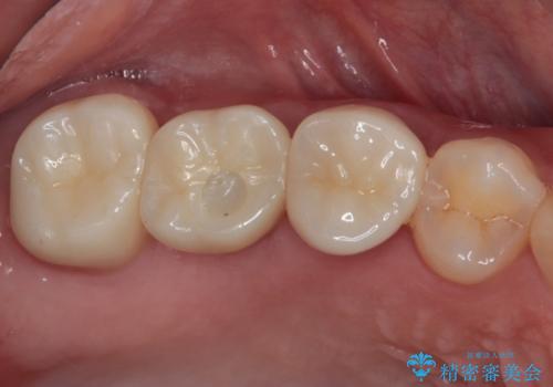
インプラント治療 → 奥歯インプラント
9ページ目 / 36
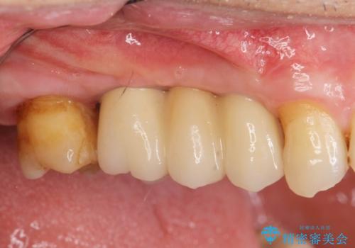
壊れやすいブリッジ インプラント治療で安定した咬み合わせに


インプラント・ブリッジ補綴を含む、歯周病全顎治療
担当医 大元洋佑


失った奥歯を、インプラント治療で機能回復


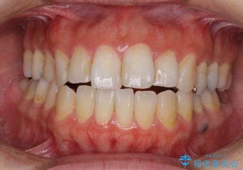
出っ歯と奥歯の欠損 ワイヤー矯正とインプラント治療


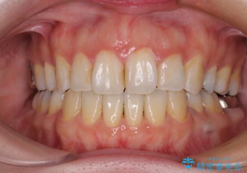
骨造成された奥歯のインプラント補綴治療


抜歯が必要な奥歯と前歯のデコボコ インプラント治療とインビザライン矯正治療


【インプラント】食事中に歯が割れた! かなり深いところまで歯が割れていた


【インプラント】歯が無いので入れて欲しい!


目立つ金属をすべてセラミックに 全顎的メタルフリー治療


欠損した奥歯のインプラント補綴治療


隙間の空いた歯列とボロボロの乳歯 インプラント治療と矯正治療


乳歯の残存 インプラントによる置き換え


インプラント治療の注意事項(リスク・副作用など)
- 外科手術のため、術後に痛みや腫れ、違和感を伴います
- メンテナンスを怠ったり喫煙により、お口の中に大きな悪影響を及ぼすインプラント周囲炎等にかかる可能性があります
- 糖尿病、肝硬変、心臓病等の場合、インプラント治療ができない可能性があります
- 高血圧、貧血・不整脈等の場合、インプラント治療後に治癒不全を招く可能性があります
- 自費診療(保険適用外治療)となります






