症例・治療例紹介
Cases
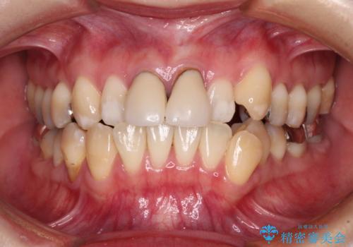
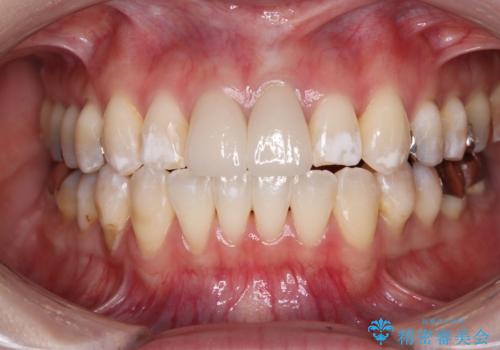
セラミック治療 → 前歯クラウン(オールセラミック)
8ページ目 / 73
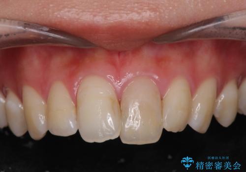
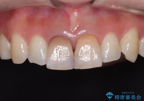
前歯の変色を改善するセラミッククラウン治療
担当医 大元洋佑


セラミッククラウンで前歯の変色を改善


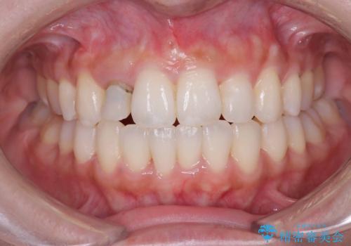
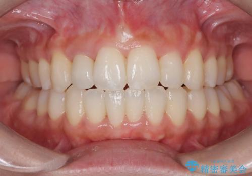
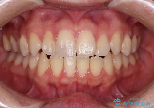
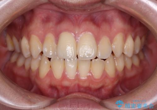
【オールセラミッククラウン】前歯の見た目が気になる!
担当医 河野豊嘉


【オールセラミッククラウン】海外に転居する前に治療したい
担当医 河口智英


前歯をきれいにしたい オールセラミッククラウン
担当医 齋藤佑磨


歯周外科を行い、歯ぐきの状態を整えた前歯セラミック治療


気になる前歯 ワイヤー矯正とセラミック治療


転んで前歯が折れた 色合いの難しい歯のセラミック修復


違和感のある前歯をセラミックにしたい
担当医 齋藤佑磨


金属が見えて不自然な前歯をきれいにしたい
担当医 齋藤佑磨


前歯のセラミックをやり替えたい
担当医 齋藤佑磨


前歯治したい『根管治療 セラミック治療』
担当医 菊地俊介


前歯の見た目をオールセラミッククラウンで改善
担当医 大元洋佑


舌の突出癖による開咬と前歯の突出 インビザライン矯正治療


開咬と変色した前歯 インビザライン矯正とオールセラミッククラウン治療


セラミック治療の注意事項(リスク・副作用など)
- 天然歯を削ります
- 硬い素材は天然歯を傷つけてしまう場合があります
- かみ合わせや歯ぎしりが強すぎる方はセラミックが割れてしまう可能性があります
- 自費診療(保険適用外治療)となります
