症例詳細
Case detail
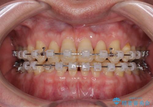
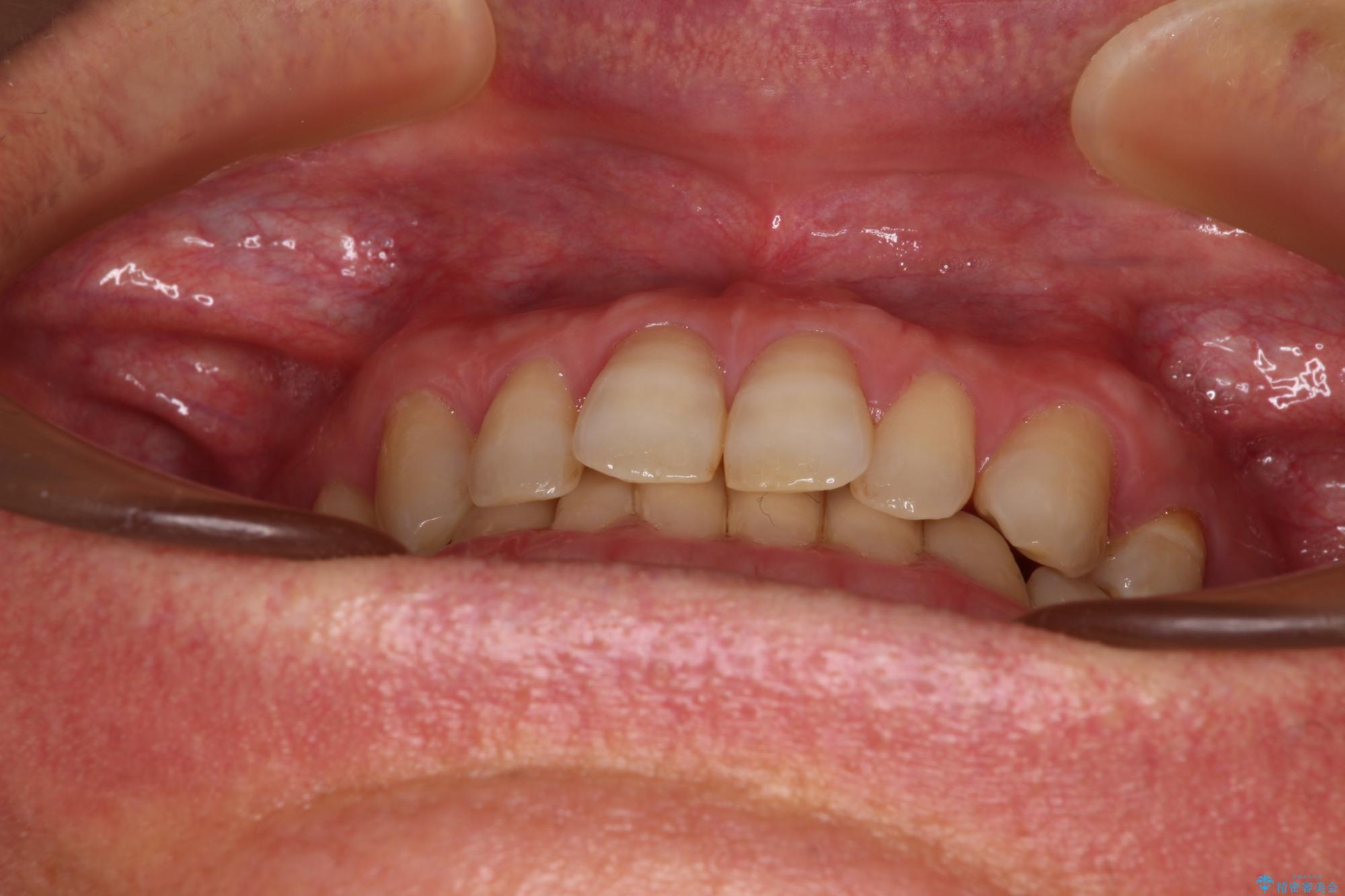
【モニター】ディープバイトで隙間の空いた歯列 ワイヤー装置での非抜歯矯正
治療症例の内容
- 担当医
- 藤巻太一朗(ドクタープロフィール)
- 患者様
- 40代男性
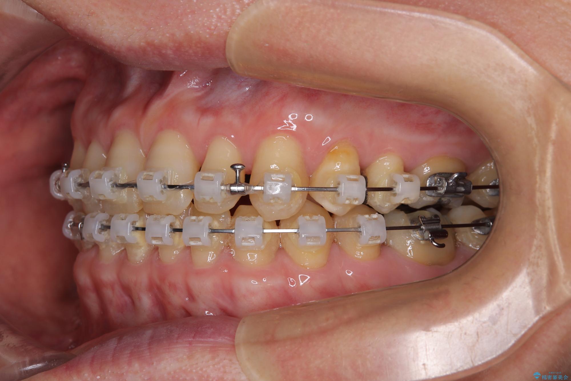
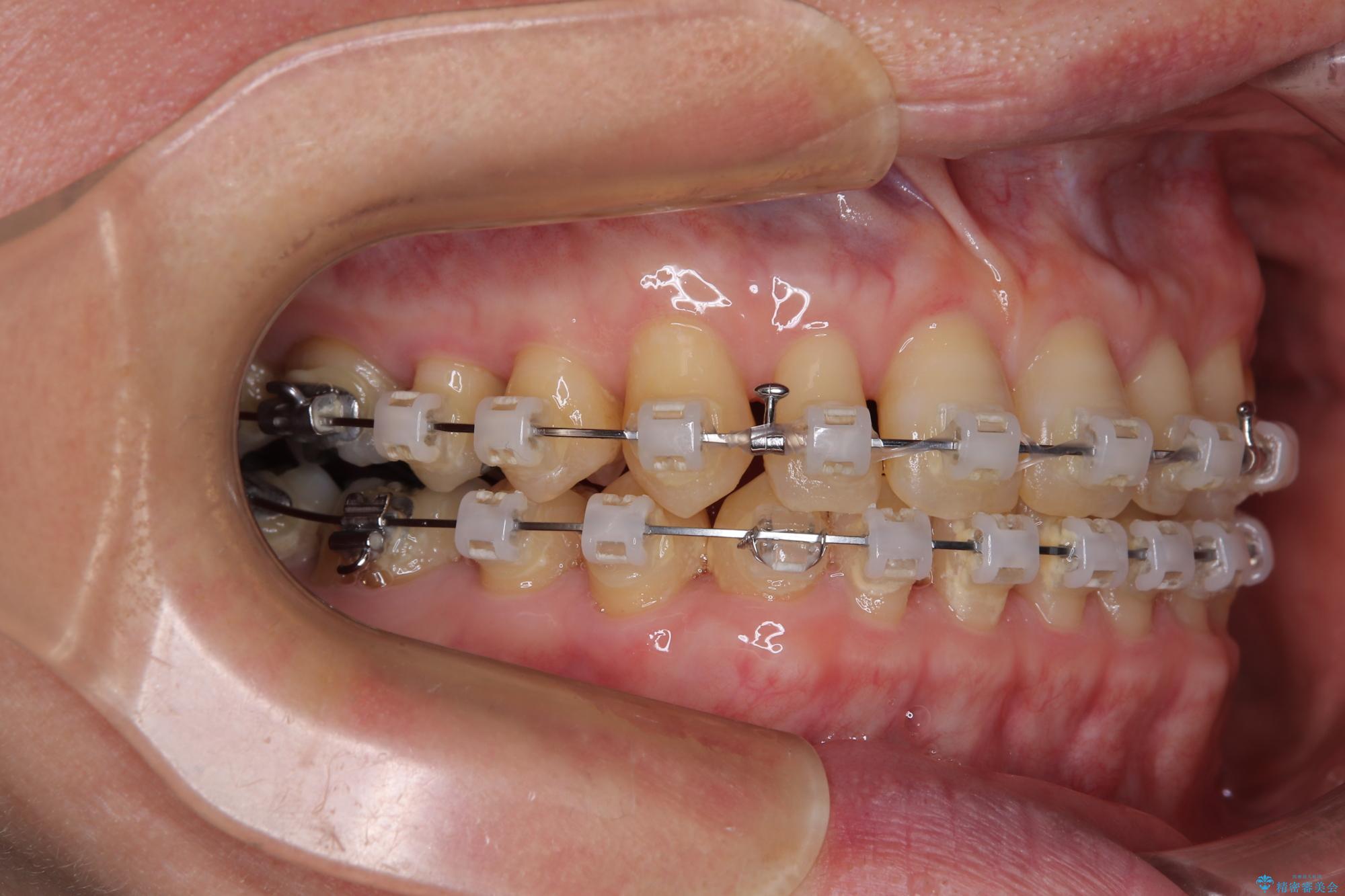
- 矯正装置
- クリアブラケット
- 治療期間
- 1年6ヶ月
- 治療回数
- 10-30回
- 治療計画
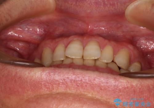
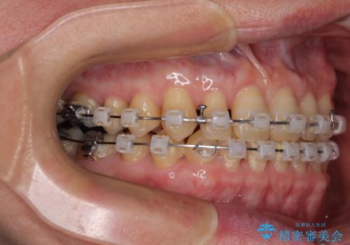
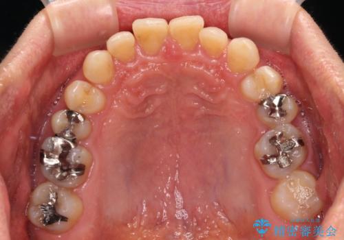
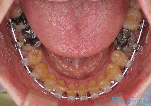
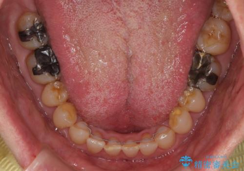
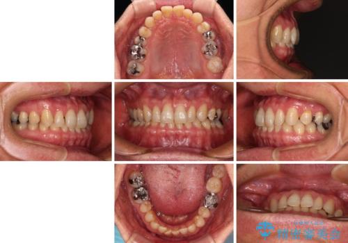
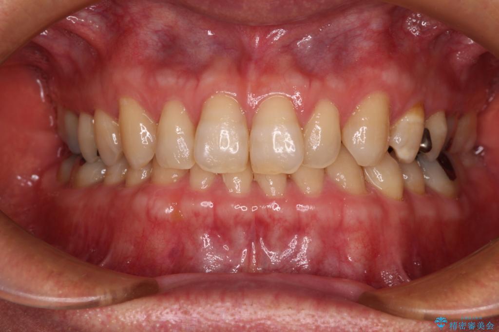
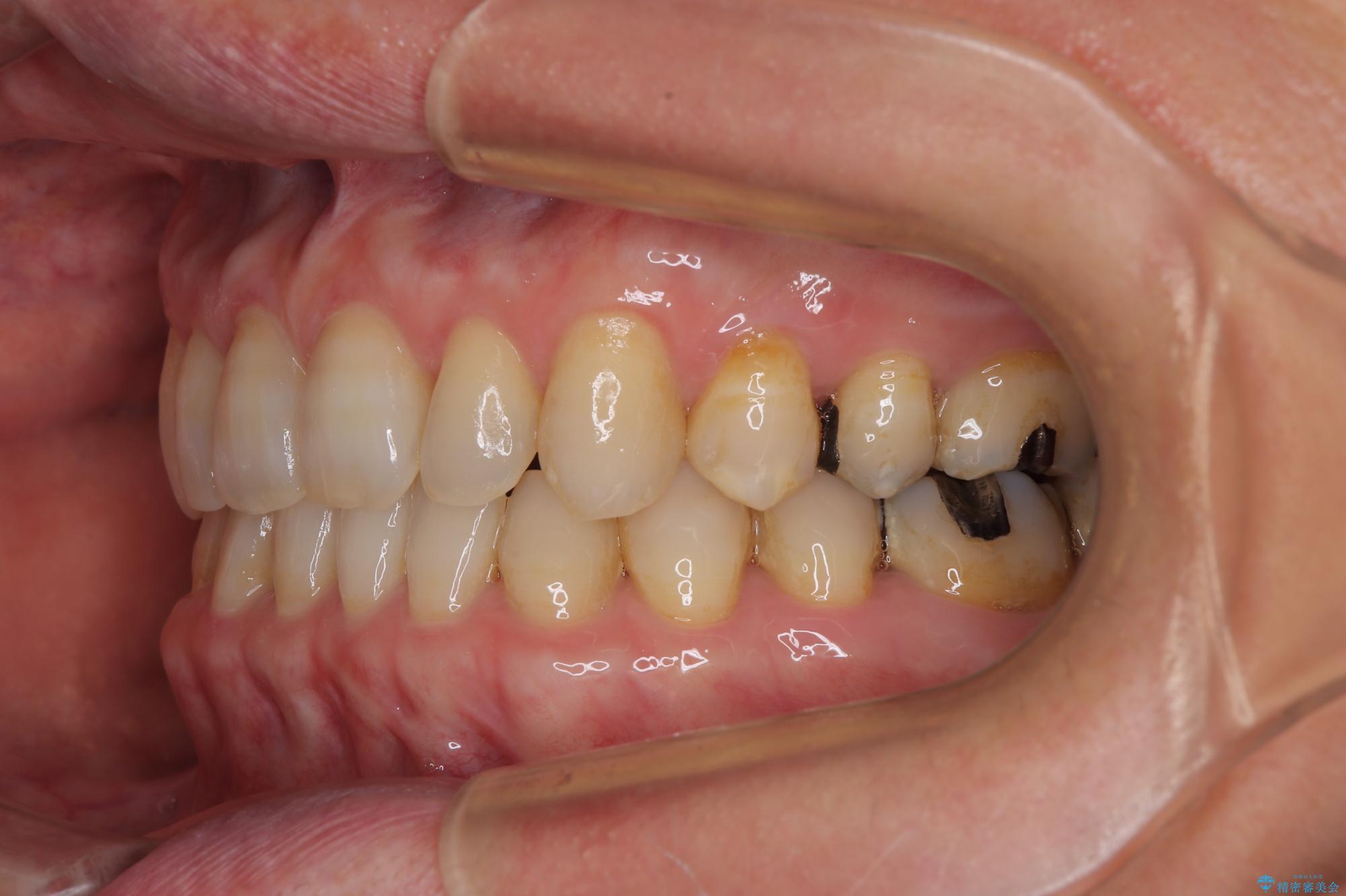
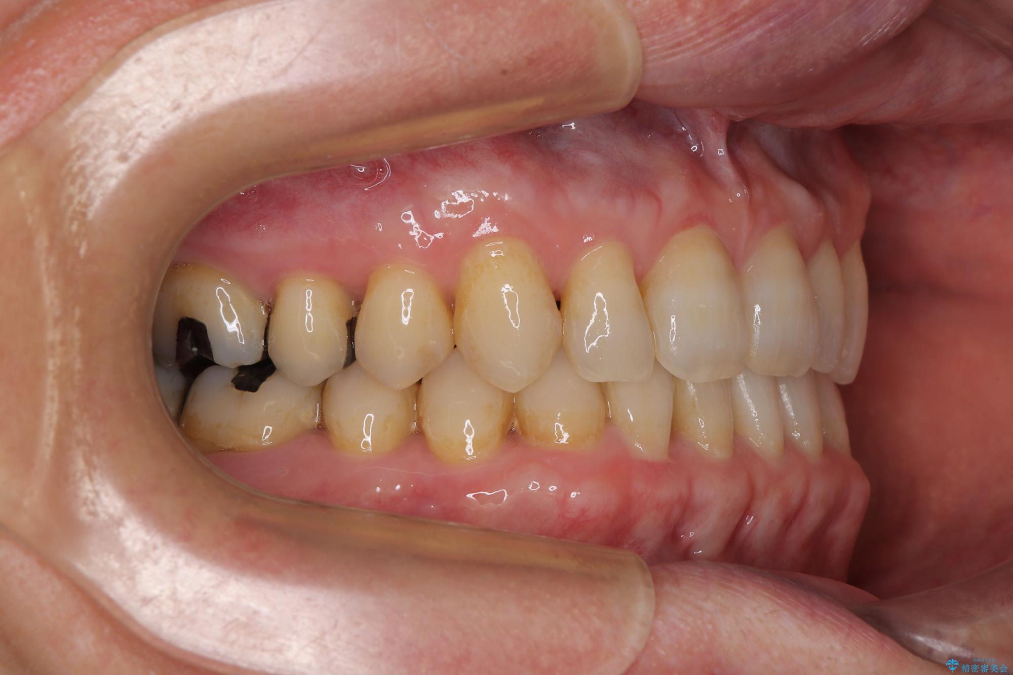
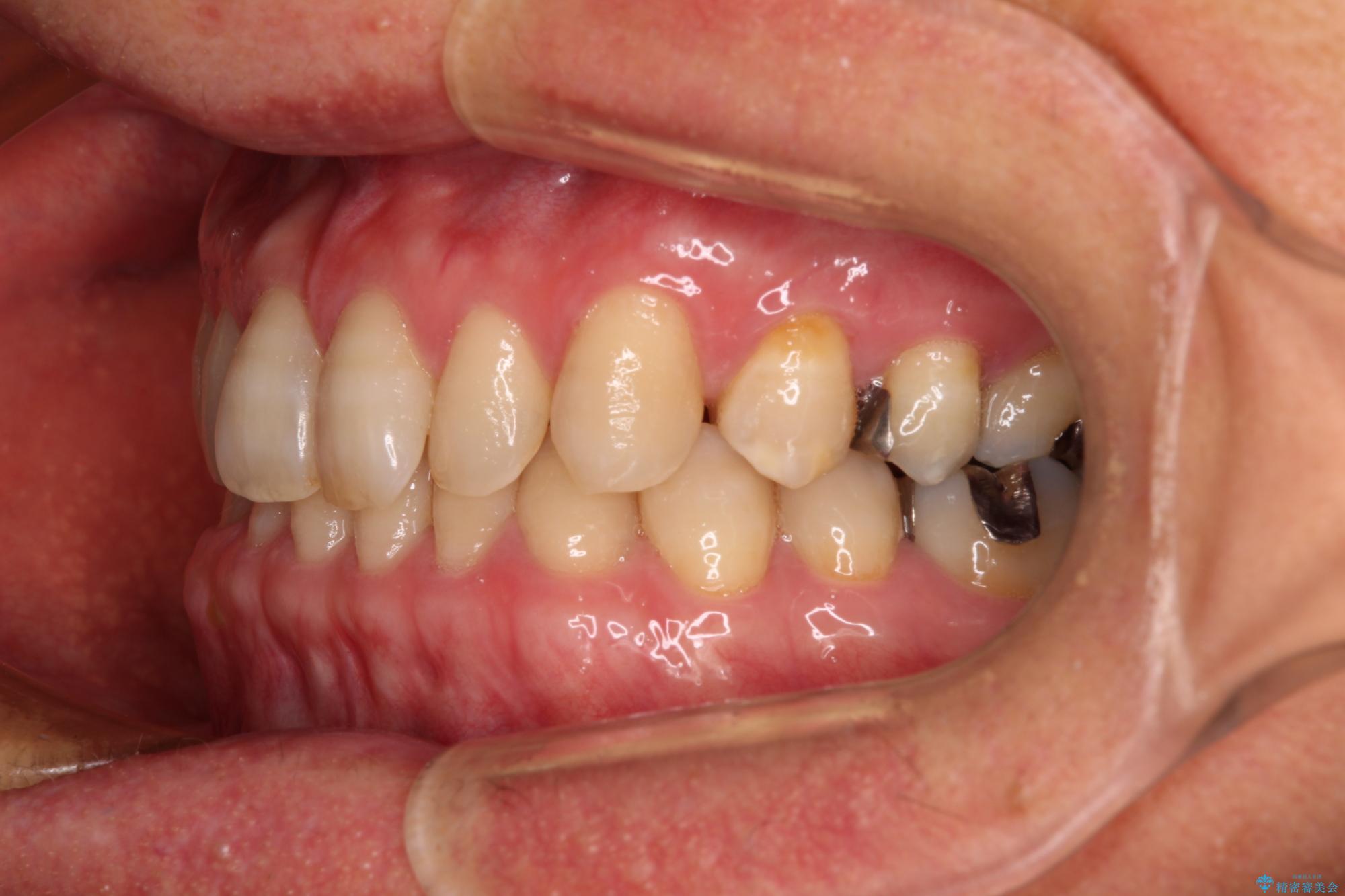
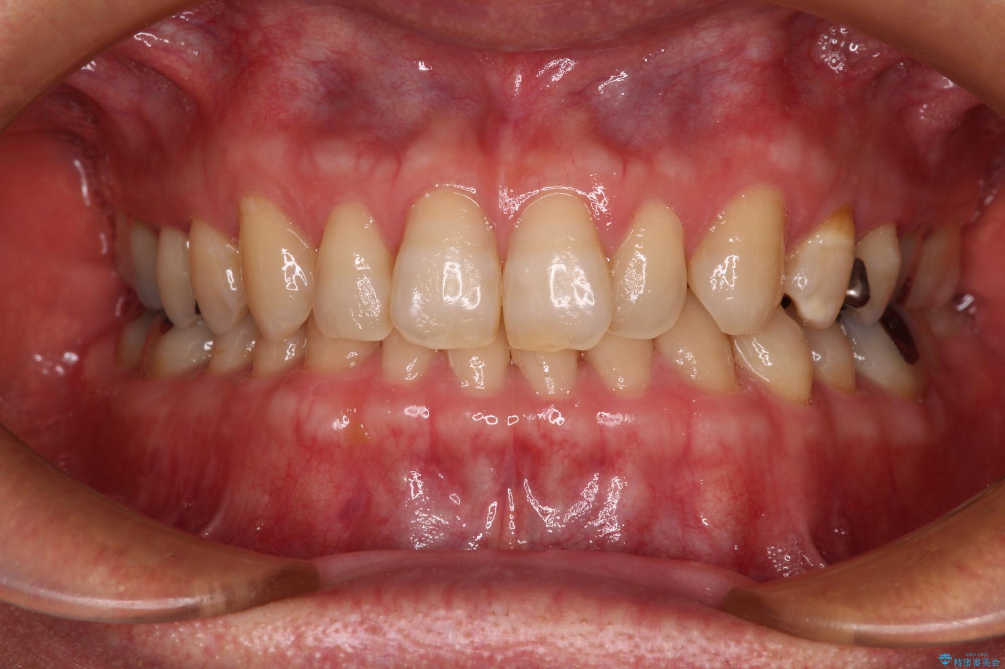
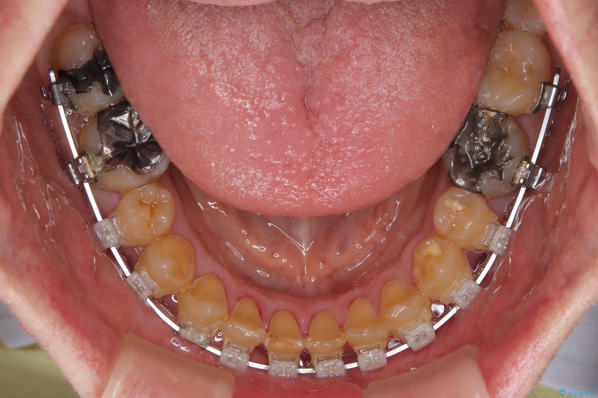
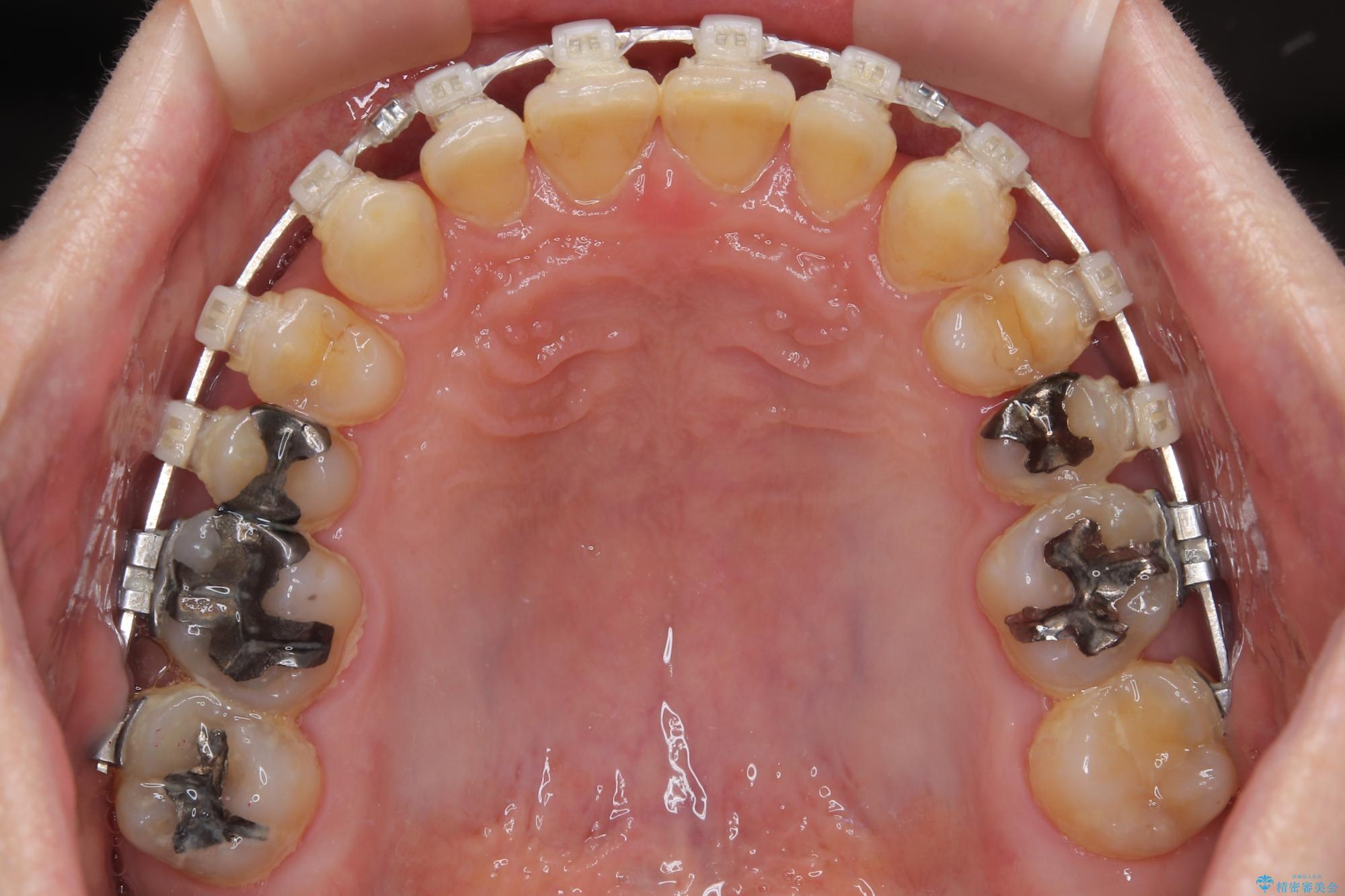
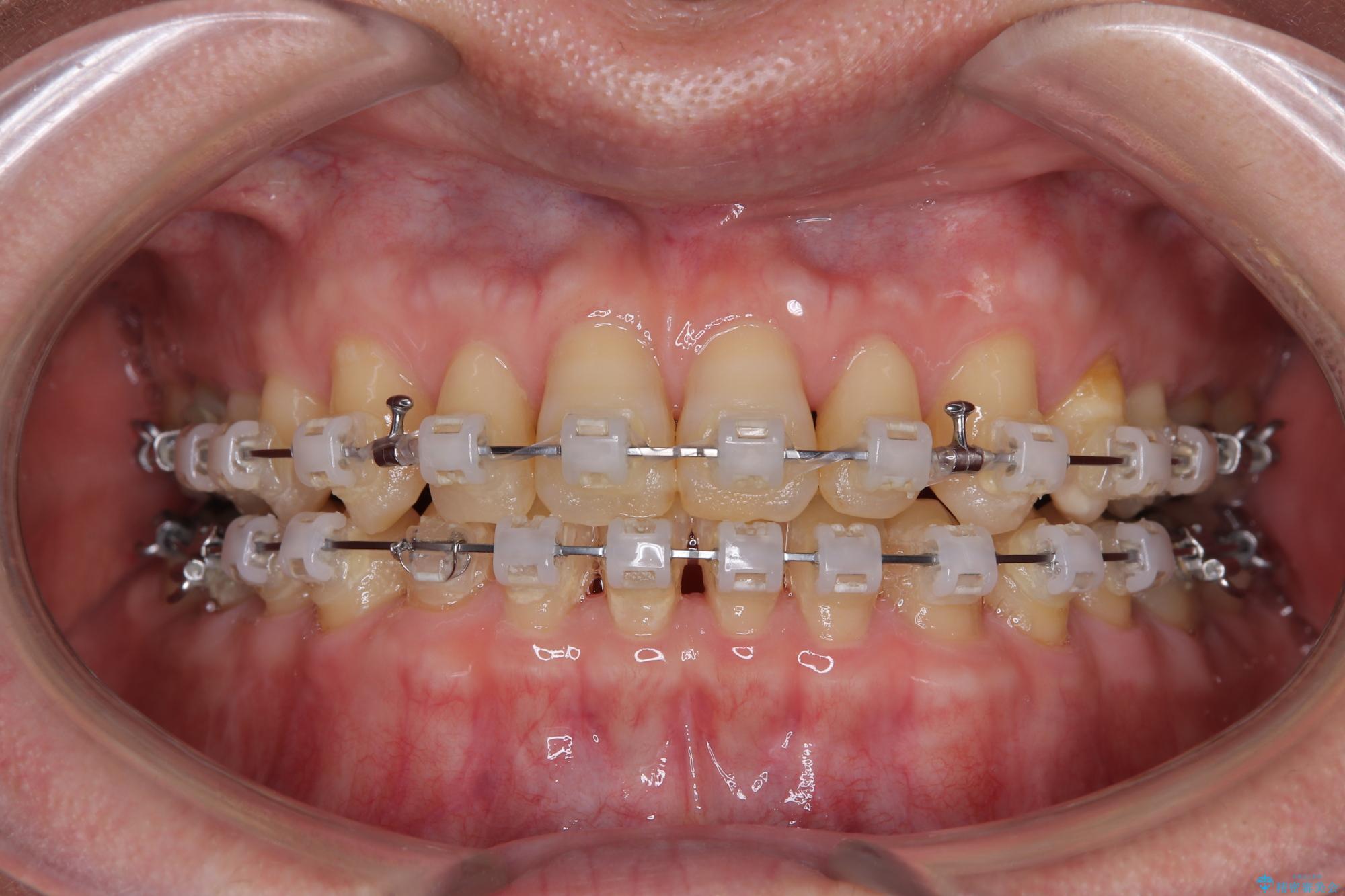
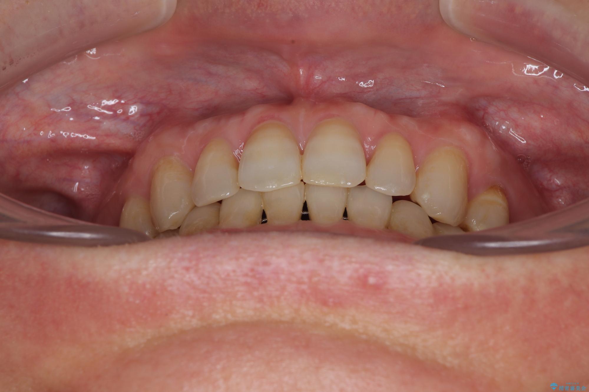
- 前歯のデコボコと隙間の空いた歯列を気にして来院された患者様です。
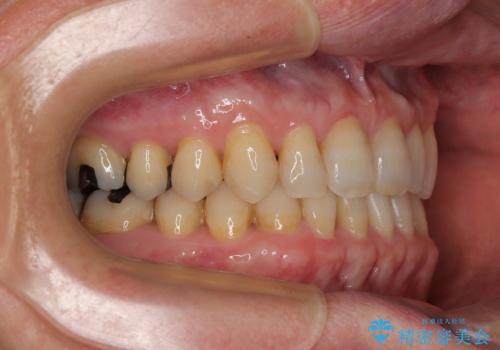
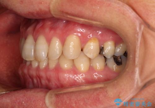
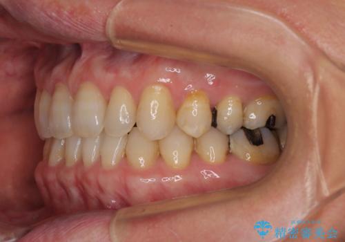
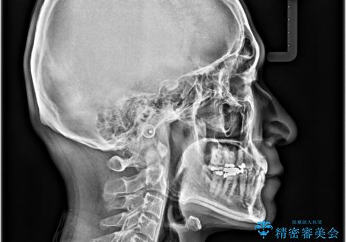
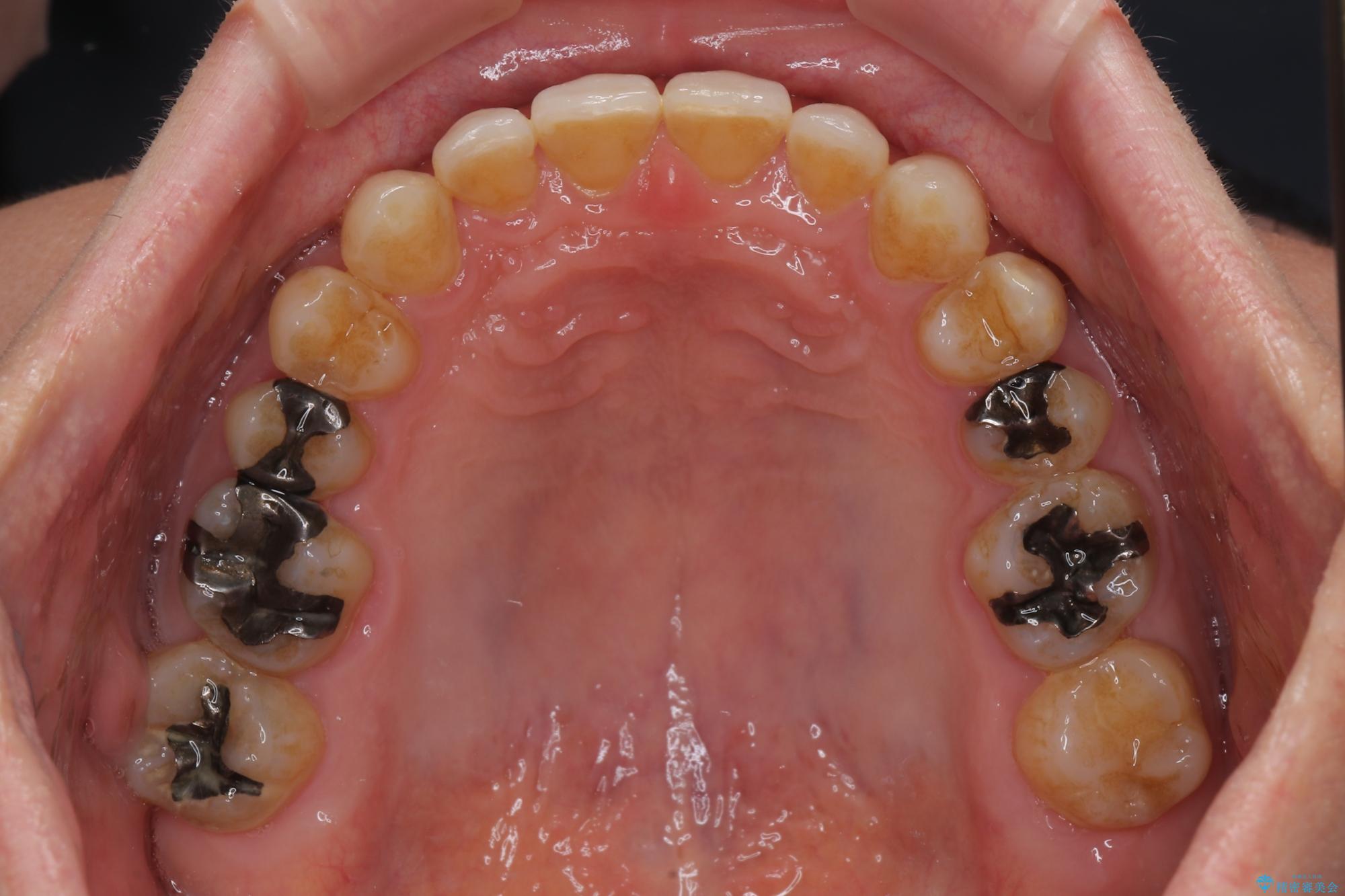
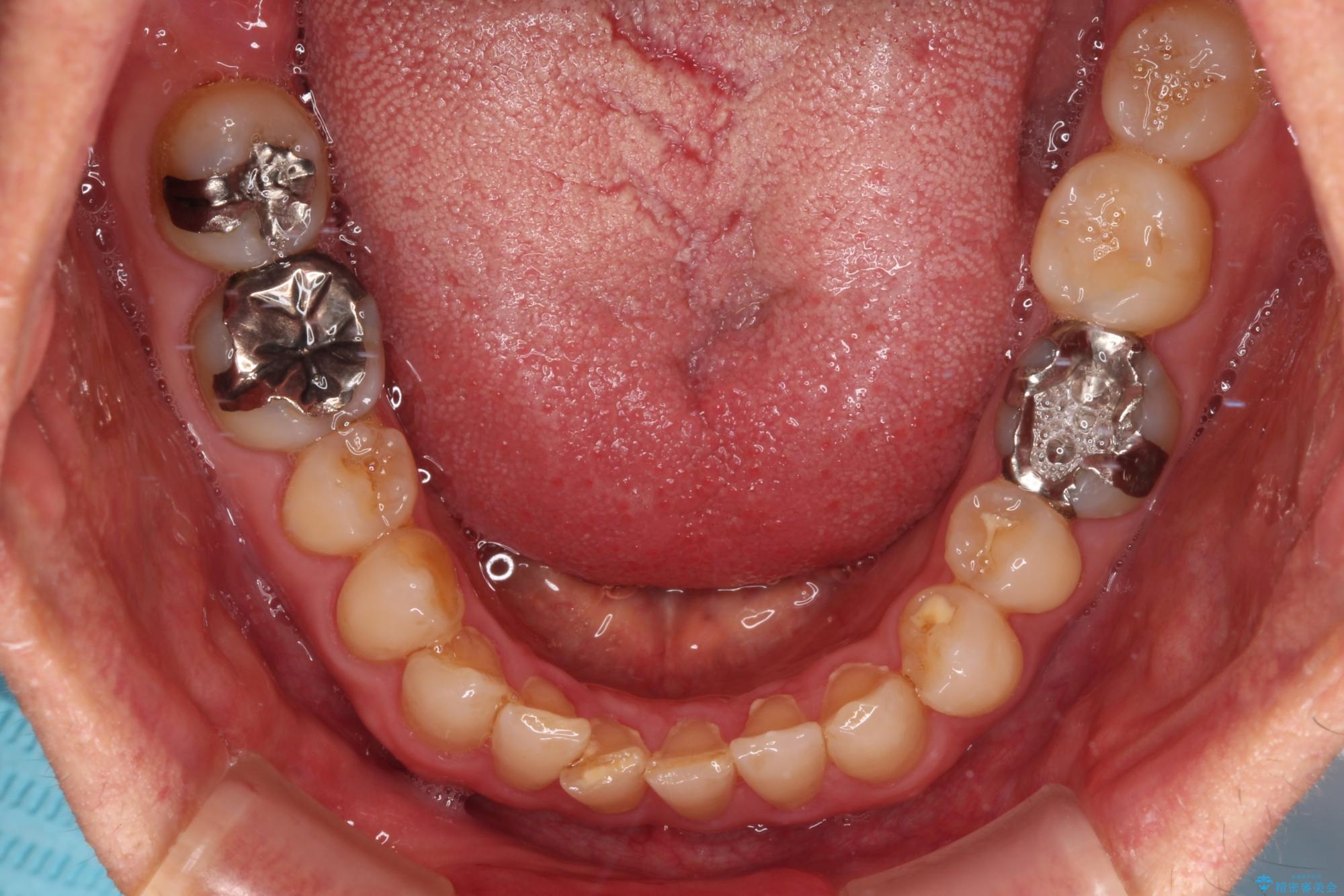
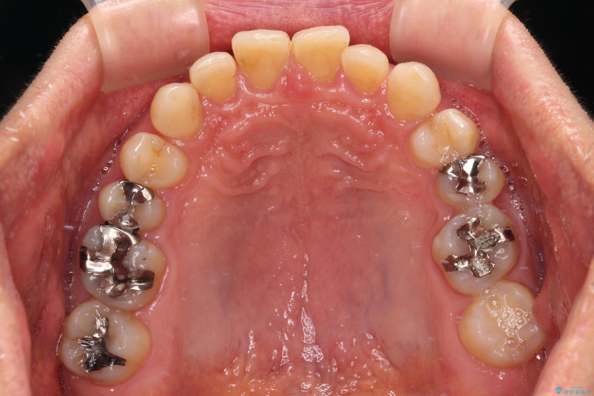
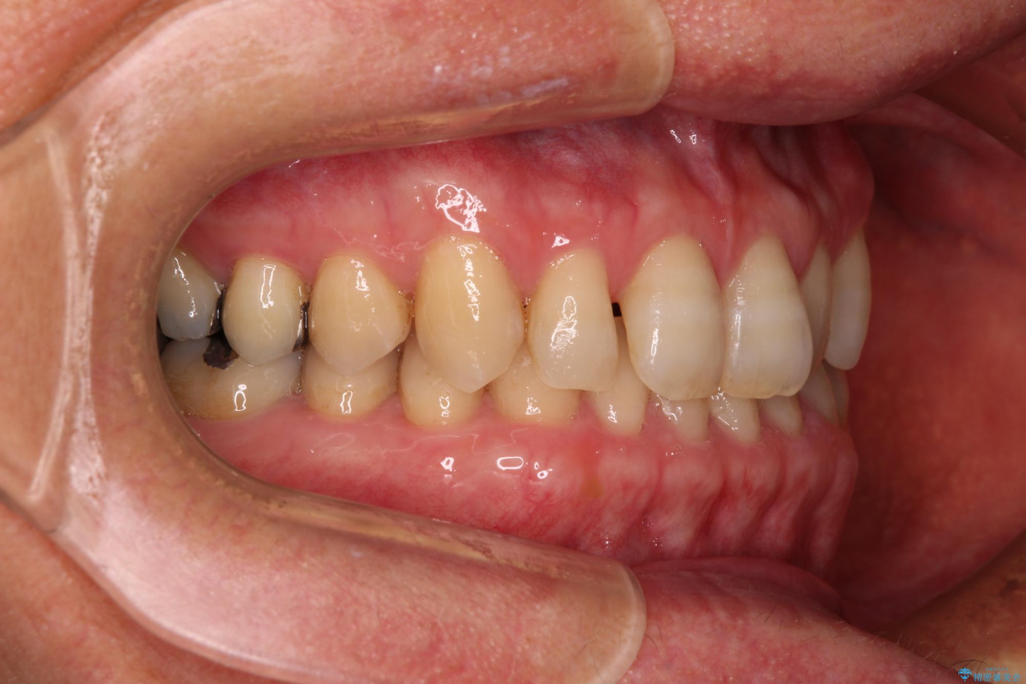
下顎前歯が隠れるほどのディープバイトにより、強い咬合力と突き上げで上顎歯列に隙間が空いている状態でした。
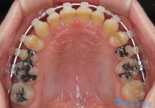
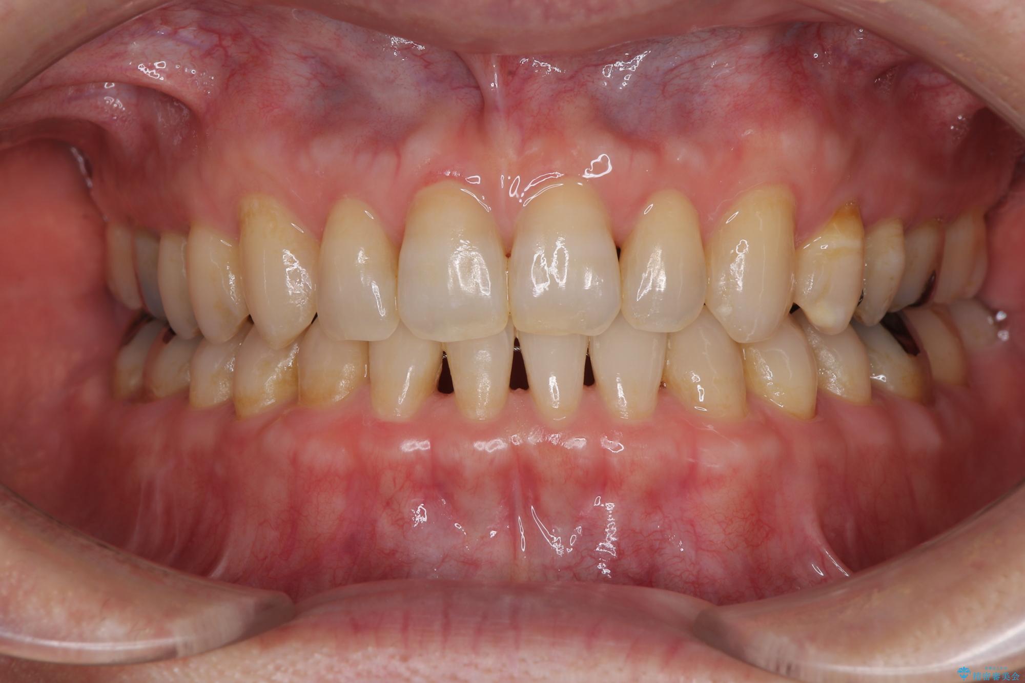
手前に傾斜している奥歯をワイヤー装置で立ち上がらせ、咬み合わせの高さを挙上することで突き上げを解消し、空隙歯列を改善していくこととしました。
- 費用(概算)
- 80万円(税込)費用は治療当時の料金となります
※顔写真掲載にあたり、患者様の了解を得ております
治療について
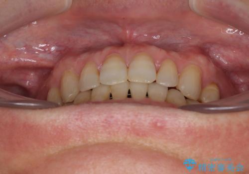
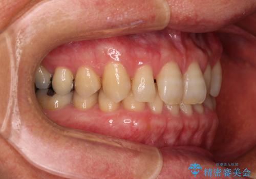
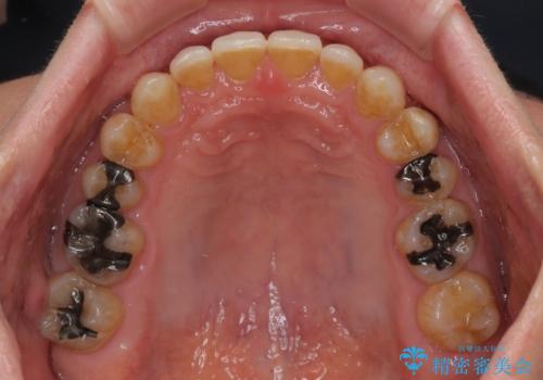
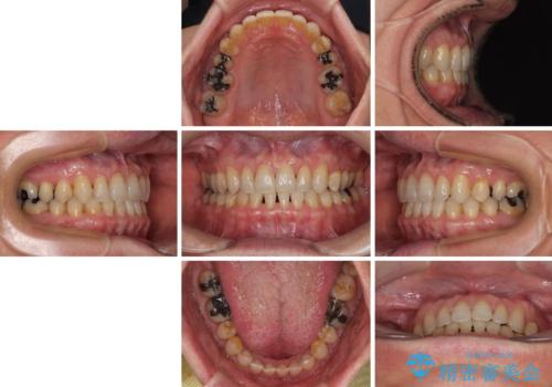
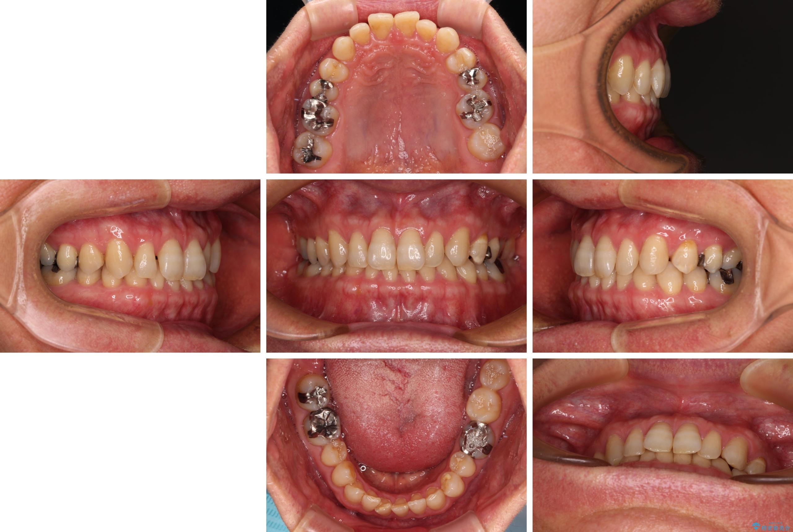
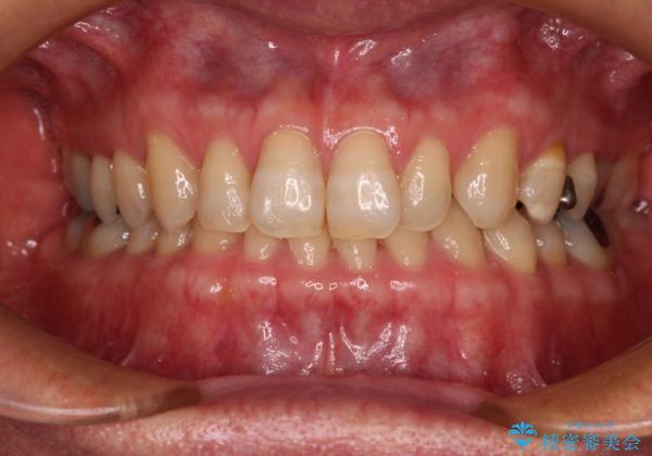
ディープバイトが改善され、睡眠時の食いしばりも緩和され、顎への負担が軽減されました。
ワイヤー矯正の注意事項(リスク・副作用など)
- 治療中は違和感や痛みが起こることがあります
- 症状により、抜歯が必要な場合があります
- 治療中は歯磨きがしにくくなるため、虫歯や歯周病になりやすくなります
- 矯正治療後の保定が不十分だと後戻り(元の位置に戻ろうとする動き)をします
- 自費診療(保険適用外)となります
当サイトの内容、テキスト、画像等の無断転載、複製、複写、盗用を固く禁じます。


























