症例・治療例紹介
Cases
最新の症例
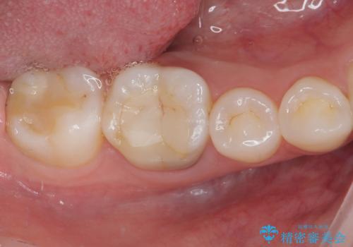
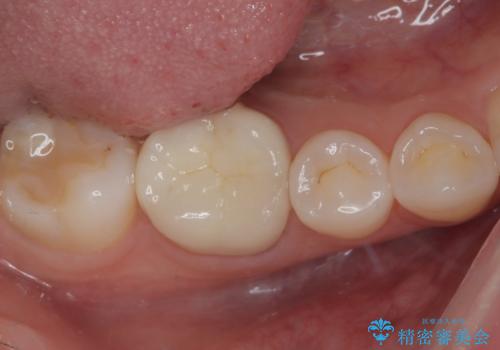
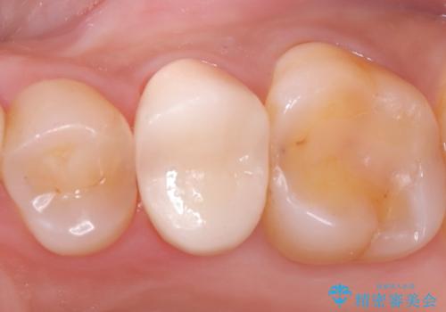
ラバーダム使用で再感染リスクを抑えた再根管治療+精密な補綴による長期安定を実現


男性のエアーフローとオフィスホワイトニング
担当医 歯科衛生士


テトラサイクリン歯 ラミネートべニアやり替え
担当医 高悠莉


銀歯をやり替えたい 〈セラミッククラウン〉
担当医 瀧村怜未


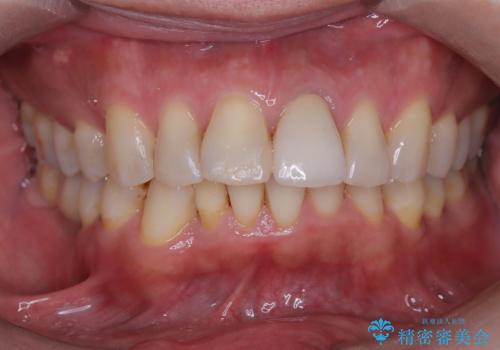
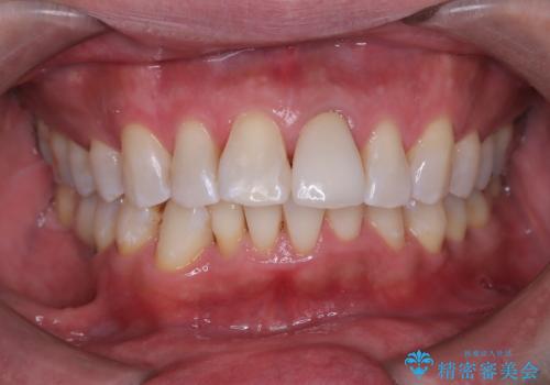
左下奥歯が腫れて痛い フルジルコニアクラウン


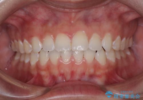
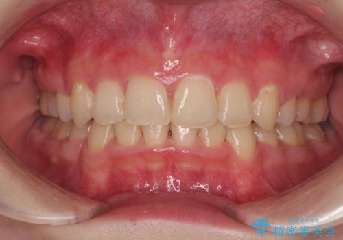
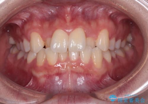
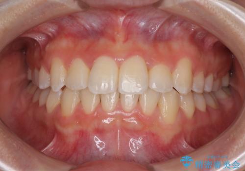
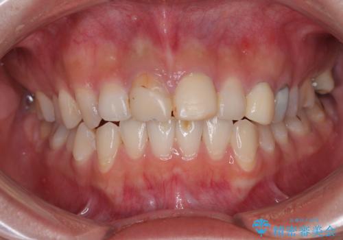
前歯のねじれをきれいに 部分ワイヤー+マウスピース矯正
担当医 大元洋佑


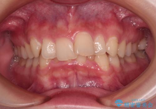
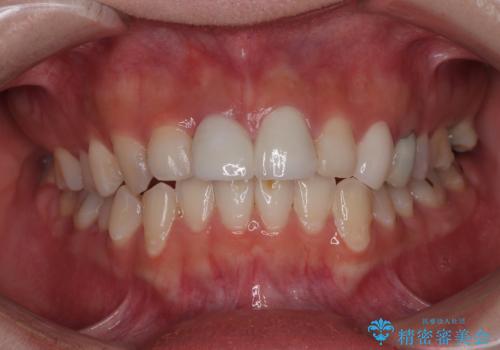
【モニター】マウスピース矯正が煩わしい ワイヤー装置での非抜歯矯正
担当医 藤巻太一朗


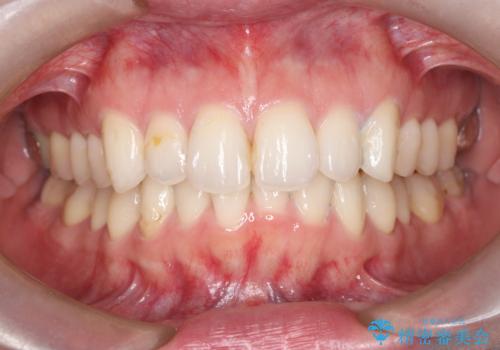
【モニター】デコボコと隠れてしまう前歯 ワイヤー装置による抜歯矯正で美しい口元に


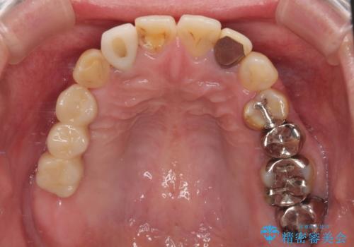
前歯のクロスバイト 裏側に隠れた歯をワイヤー装置で短期間治療
担当医 藤巻太一朗


放置した破折歯 即時・早期のインプラント埋入による補綴治療


「抜歯してブリッジ」と言われた20代女性が選んだ治療とは?|たった4か月で自然な笑顔に|抜歯即時インプラント+審美補綴の症例










