症例・治療例紹介
Cases
最新の症例
前歯の目立ったすき間 マウスピース矯正で目立たなくします


[ 歯周病による多数歯の欠損 ] 全顎的インプラント・歯周病治療
担当医 大元洋佑
![[ 歯周病による多数歯の欠損 ] 全顎的インプラント・歯周病治療の症例 治療前](https://seimitsushinbi.jp/wp/wp-content/uploads/2022/06/740883583879a0822e9bd95ed27b74e6-500x350.jpg?v=1654154479)
![[ 歯周病による多数歯の欠損 ] 全顎的インプラント・歯周病治療の症例 治療後](https://seimitsushinbi.jp/wp/wp-content/uploads/2022/06/18521d85f6e9e57a2f920c41423bc5b8-500x350.jpg?v=1654154185)
[ インビザライン ]飛び出た前歯を抜かずに矯正治療
担当医 大元洋佑
![[ インビザライン ]飛び出た前歯を抜かずに矯正治療の症例 治療前](https://seimitsushinbi.jp/wp/wp-content/uploads/2022/06/7254b4eb4b8ea41de1dd2bc51ff78413-500x350.jpg?v=1654152589)
![[ インビザライン ]飛び出た前歯を抜かずに矯正治療の症例 治療後](https://seimitsushinbi.jp/wp/wp-content/uploads/2022/06/850be265eb99a1449c8e8c58e0a1e184-500x350.jpg?v=1654152540)
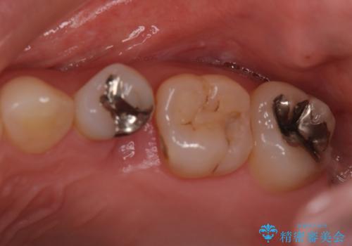
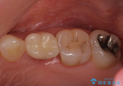
以前入れた詰め物が欠けた
担当医 青山卓弘


【インプラント】奥歯に歯を入れたい
担当医 河口智英


【オールセラミッククラウン】ダイレクトボンディングからのやりかえ
担当医 河口智英


【オールセラミッククラウン】前歯を綺麗にしたい。
担当医 河口智英


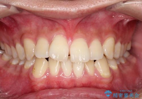
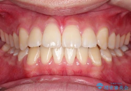
前歯がガタガタで咬めない ワイヤーによる抜歯矯正で整った歯並びへ


前歯2本の着色が気になる、、、セラミック治療
担当医 菊地俊介


前歯のがたがた気になる インビザラインによる矯正治療


銀歯と歯の形が気になる セラミック
担当医 菊地俊介










