症例・治療例紹介
Cases
最新の症例
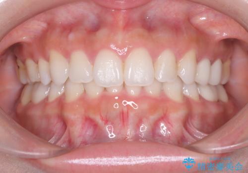
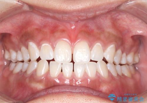
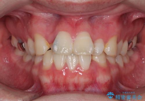
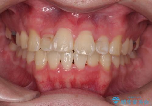
歯の中心のズレを解消し、より美しい口元へ


口ボコと歯のデコボコが気になる!|前歯が出ていて口が閉じにくい|審美ワイヤー矯正による口元の改善!


抜歯即時インプラント|切開しないので低侵襲治療|痛く無い治療!


50代から始めるマウスピース矯正治療
担当医 大元洋佑


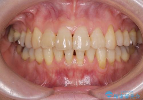
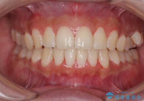
[ 前歯の審美ブリッジ治療] 前歯の見た目をなんとかしたい!
![[ 前歯の審美ブリッジ治療] 前歯の見た目をなんとかしたい!の症例 治療前](https://seimitsushinbi.jp/wp/wp-content/uploads/2025/08/bd94a69cbbac9ac5b10d5d7c87cda996-500x350.jpg?v=1756203623)
![[ 前歯の審美ブリッジ治療] 前歯の見た目をなんとかしたい!の症例 治療後](https://seimitsushinbi.jp/wp/wp-content/uploads/2025/08/97d6e451026ee82dd001df2bb2952523-500x350.jpg?v=1756203682)
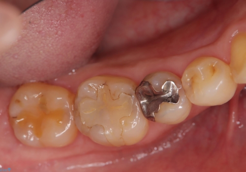
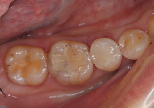
自然な美しさと強度を両立!右上小臼歯の被せもの脱離に対する審美補綴治療
担当医 齋藤佑磨


目立たないマウスピース矯正で下の前歯のデコボコをスッキリ解消!たった1年で整った歯並びに
担当医 齋藤佑磨


入れ歯では食事を楽しめない。インプラントによる咬合機能回復


[ マウスピース矯正 ] 受け口・前歯の隙間を改善
![[ マウスピース矯正 ] 受け口・前歯の隙間を改善の症例 治療前](https://seimitsushinbi.jp/wp/wp-content/uploads/2025/08/IMG_7840-500x350.jpg?v=1756123612)
![[ マウスピース矯正 ] 受け口・前歯の隙間を改善の症例 治療後](https://seimitsushinbi.jp/wp/wp-content/uploads/2025/08/50b028d2680d9b74ce99f15a0145413f-500x350.jpg?v=1756123730)
[ 顎変形症 ] 骨切り矯正をせずに審美性の改善
![[ 顎変形症 ] 骨切り矯正をせずに審美性の改善の症例 治療前](https://seimitsushinbi.jp/wp/wp-content/uploads/2025/08/41a26e34f55b43d09c298debd1cd6617-500x350.jpg?v=1756122471)
![[ 顎変形症 ] 骨切り矯正をせずに審美性の改善の症例 治療後](https://seimitsushinbi.jp/wp/wp-content/uploads/2025/08/bab715e6266a9f208a8784100b0a381a-500x350.jpg?v=1756122489)
かぶせ物が外れたまま放置 伸びてしまった歯を修復
担当医 高悠莉










