症例詳細
Case detail
【ワイヤー矯正】すきっ歯を治したい
治療症例の内容
- 診療科目
- 治療カテゴリ
- 担当医
- 町田睦月(ドクタープロフィール)
- 患者様
- 20代男性
- 治療期間
- 1年
- 治療回数
- 10-30回
- 治療計画
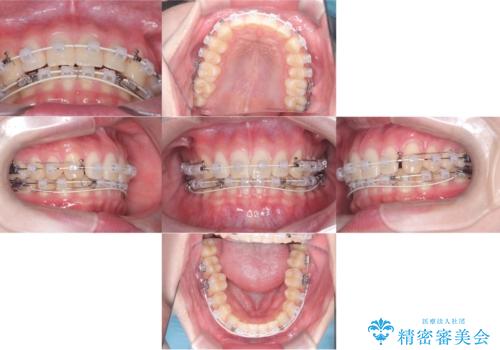
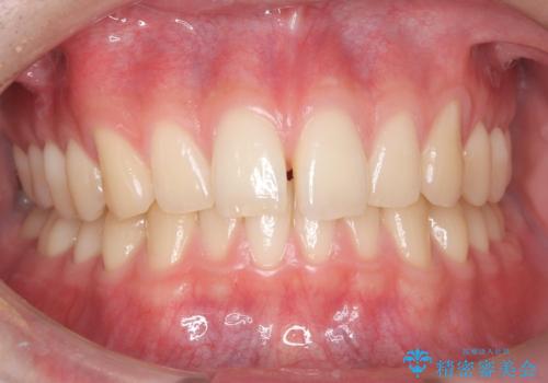
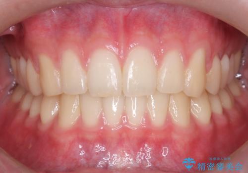
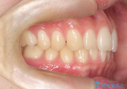
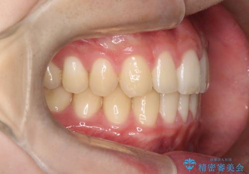
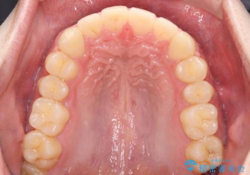
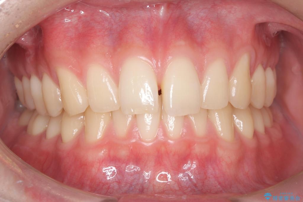
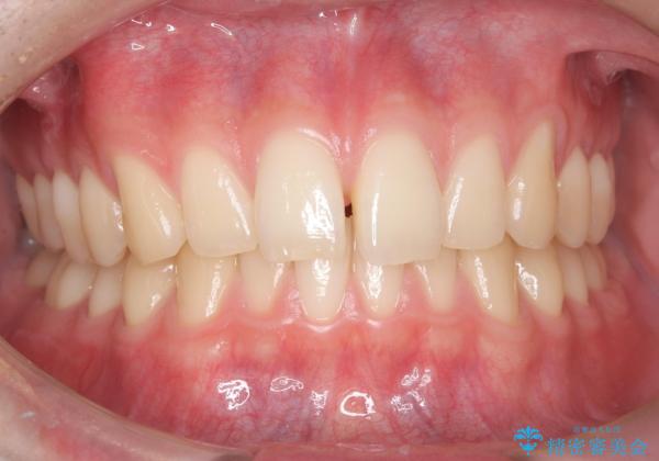
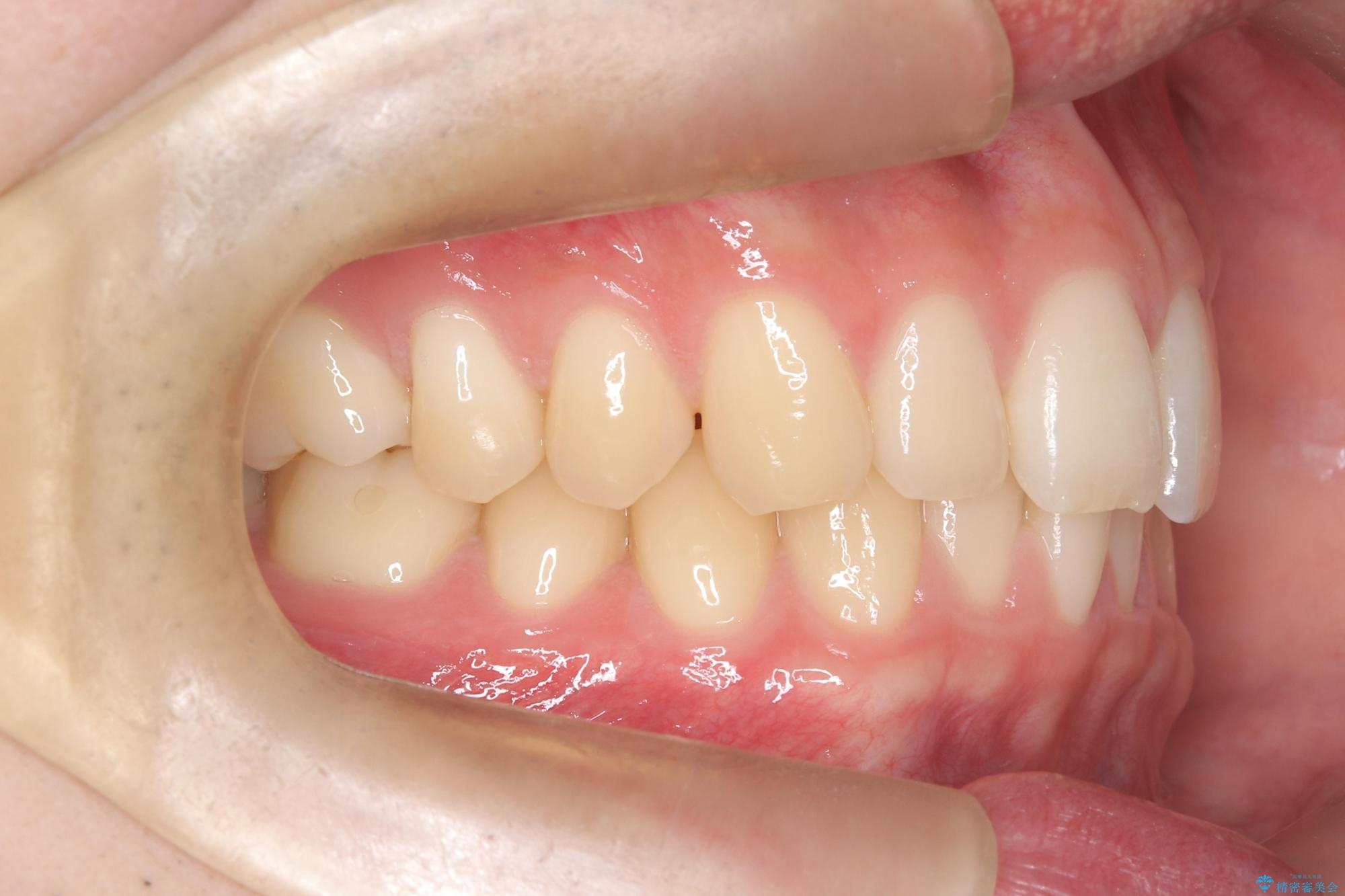
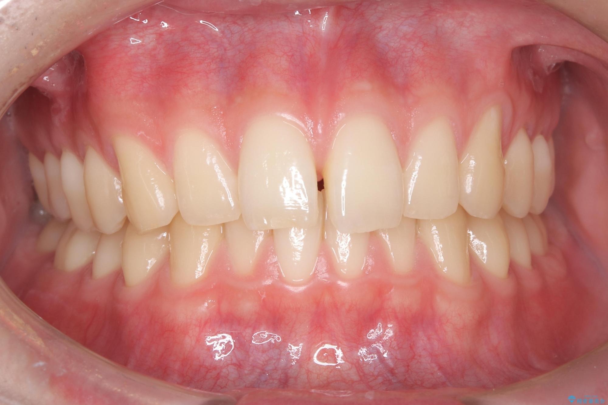
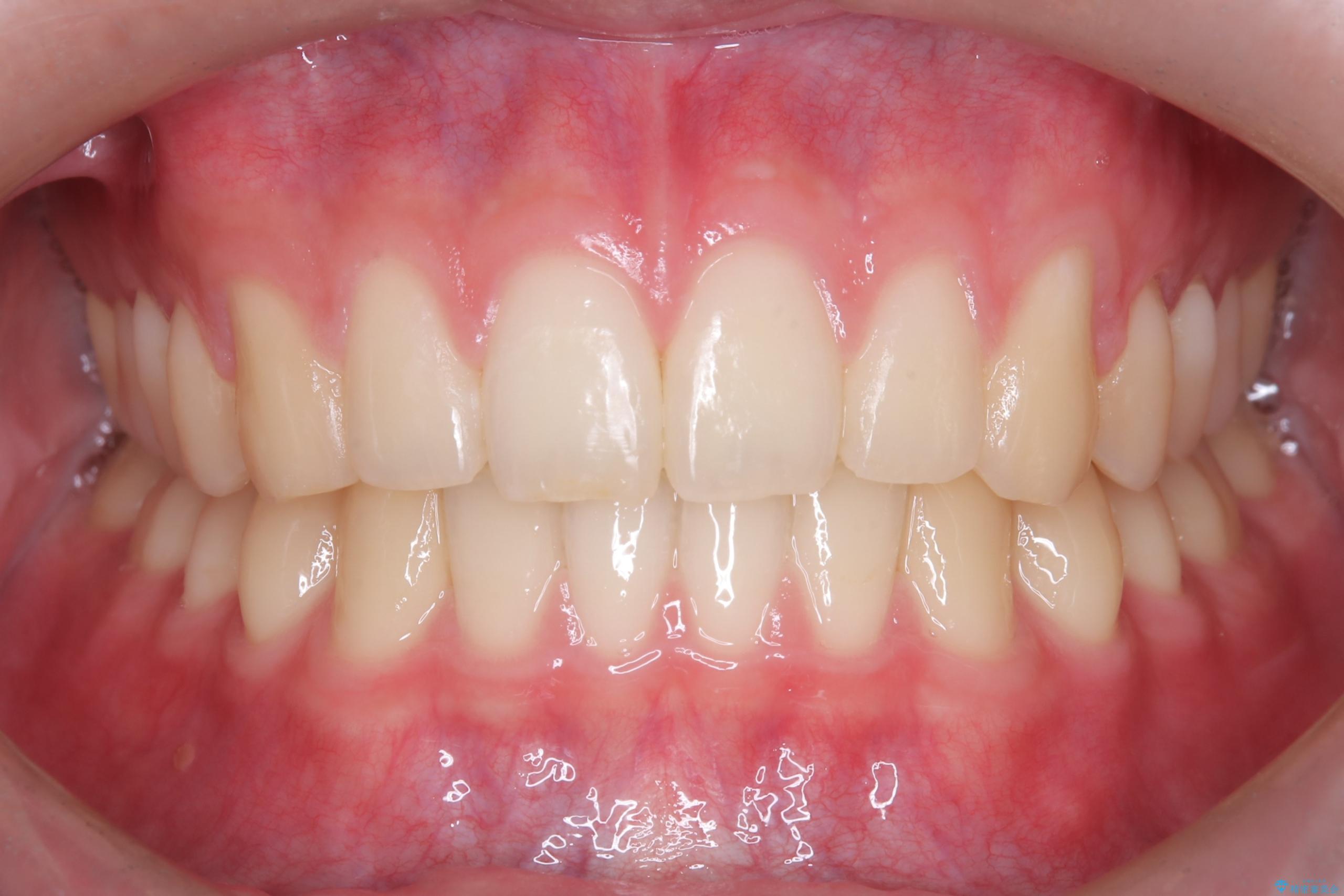
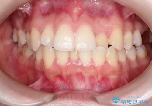
- 主訴:上の前歯のすきっ歯を治したい。
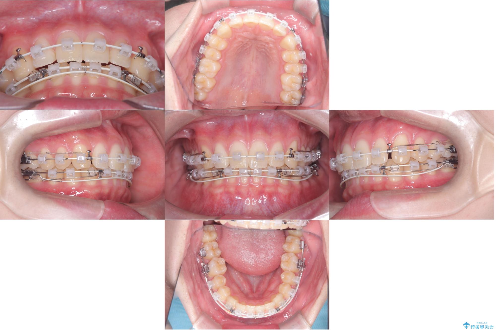
今回のような空隙歯列に対したは、マウスピース矯正・ワイヤー矯正どちらの方法でも矯正治療可能と説明し、ワイヤー矯正を希望されました。
- 費用(概算)
- 660,000円(税込み)費用は治療当時の料金となります
治療について
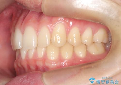
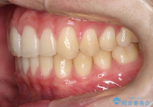
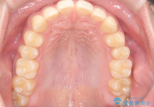
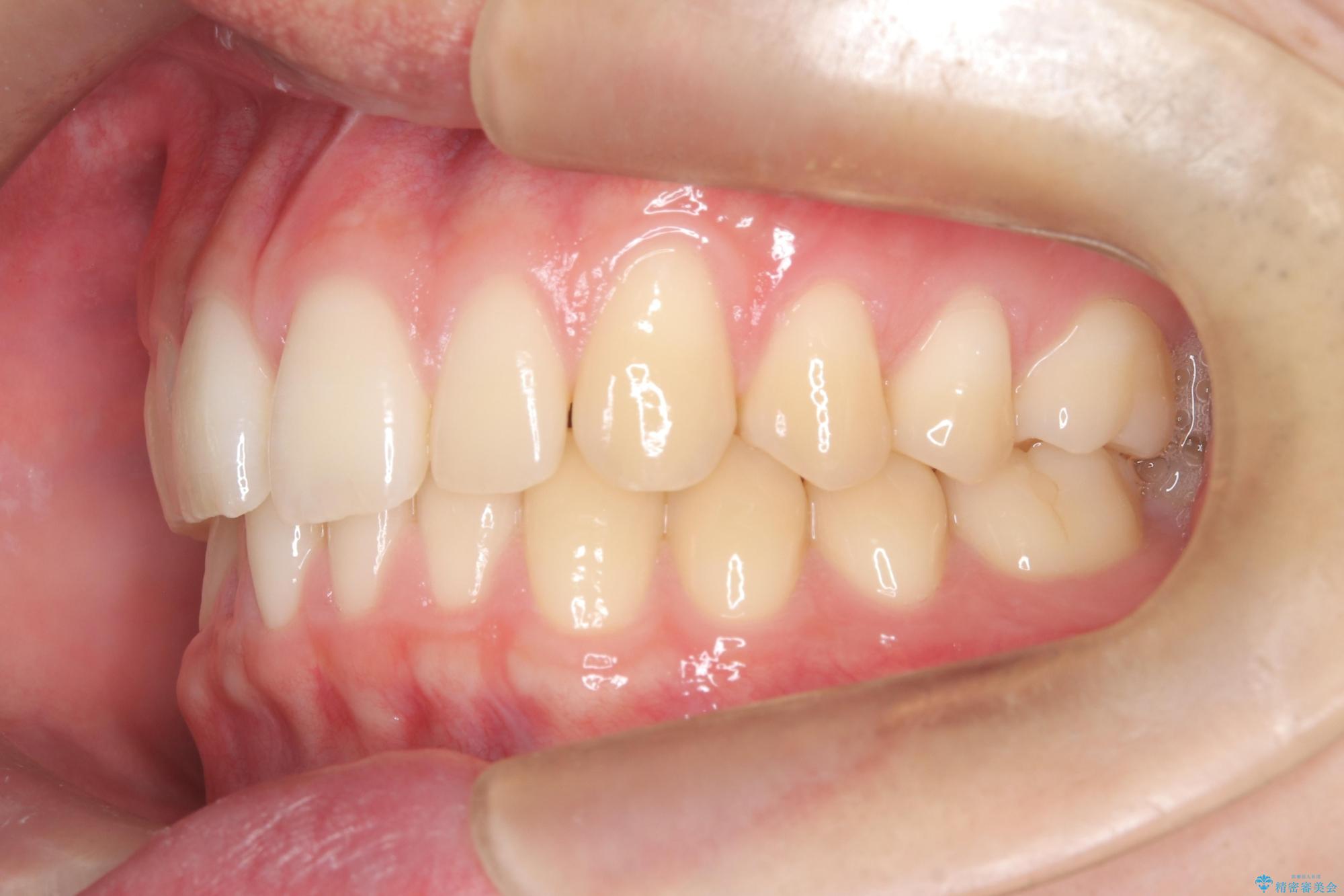
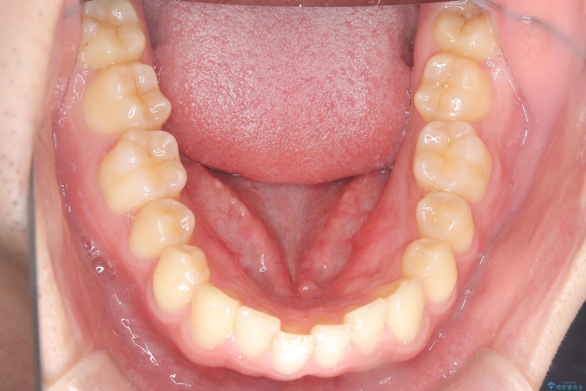
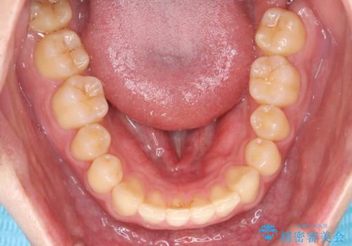
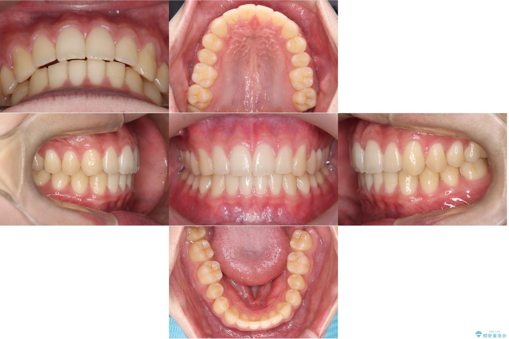
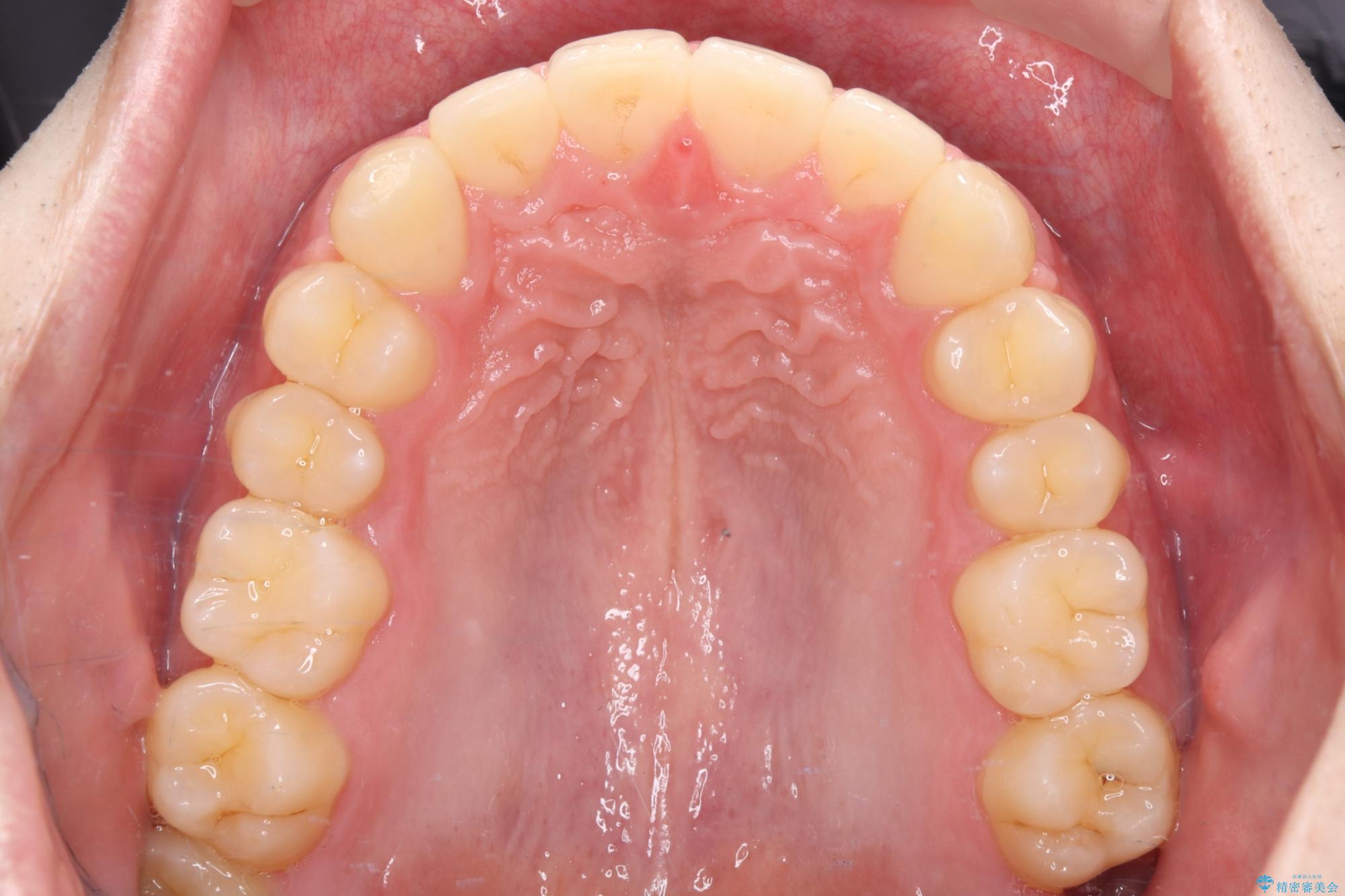
上顎中切歯間の隙間の他にもフロスが抵抗なく入るスペースが上顎は数か所ありました。スペースを閉じ下顎の歯列弓との調和をとるためIPRを行いました。
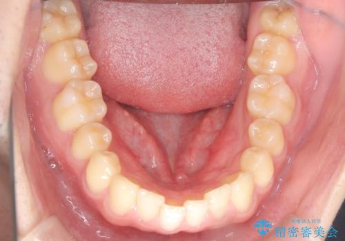
下顎の舌側傾斜気味の前歯も唇側へ歯軸傾斜させています。
矯正期間:1年2か月
ワイヤー矯正の注意事項(リスク・副作用など)
- 治療中は違和感や痛みが起こることがあります
- 症状により、抜歯が必要な場合があります
- 治療中は歯磨きがしにくくなるため、虫歯や歯周病になりやすくなります
- 矯正治療後の保定が不十分だと後戻り(元の位置に戻ろうとする動き)をします
- 自費診療(保険適用外)となります
当サイトの内容、テキスト、画像等の無断転載、複製、複写、盗用を固く禁じます。













