症例・治療例紹介
Cases
最新の症例
もげてしまった奥歯 オールセラミッククラウンでの補綴治療


【モニター】上下の八重歯を治したい ワイヤー装置による矯正治療


目立たない裏側装置 ハーフリンガルの抜歯矯正
担当医 藤巻太一朗


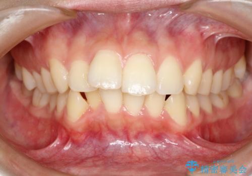
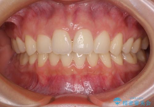
[ インビザライン ] 前歯のがたつきを綺麗に並べたい
担当医 大元洋佑
![[ インビザライン ] 前歯のがたつきを綺麗に並べたいの症例 治療前](https://seimitsushinbi.jp/wp/wp-content/uploads/2023/12/IMG_5222-500x350.jpg?v=1703061285)
![[ インビザライン ] 前歯のがたつきを綺麗に並べたいの症例 治療後](https://seimitsushinbi.jp/wp/wp-content/uploads/2023/12/803d7c4d50ba3593f394cf0ba767444e-500x350.jpg?v=1703061250)
[ 歯並びと虫歯治療 ] 矯正治療とセラミック治療の包括治療
![[ 歯並びと虫歯治療 ] 矯正治療とセラミック治療の包括治療の症例 治療前](https://seimitsushinbi.jp/wp/wp-content/uploads/2023/12/IMG_1093-500x350.jpg?v=1703058764)
![[ 歯並びと虫歯治療 ] 矯正治療とセラミック治療の包括治療の症例 治療後](https://seimitsushinbi.jp/wp/wp-content/uploads/2023/12/d2649953cbde2ed7237dd47483ac69db-1-500x350.jpg?v=1703058723)
ナイトガードで就寝時の歯の予防


ラ行が言いにくい。


[ 前歯のねじれ改善 ] 中学生に行う早期マウスピース矯正治療
担当医 大元洋佑
![[ 前歯のねじれ改善 ] 中学生に行う早期マウスピース矯正治療の症例 治療前](https://seimitsushinbi.jp/wp/wp-content/uploads/2023/12/9a0cc629a357b9cff4cd22d0eeeae9ee-500x350.jpg?v=1703040792)
![[ 前歯のねじれ改善 ] 中学生に行う早期マウスピース矯正治療の症例 治療後](https://seimitsushinbi.jp/wp/wp-content/uploads/2023/12/IMG_3953-500x350.jpg?v=1703040866)
違和感のある銀歯の治療


尖った前歯を引っ込めたい 目立たないワイヤー装置での抜歯矯正
担当医 藤巻太一朗


口が閉じられない ワイヤー装置による矯正治療


前歯のガタガタを整えたい ワイヤー装置による抜歯矯正治療
担当医 藤巻太一朗








