症例・治療例紹介
Cases
Dr. 大元洋佑の症例写真
5ページ目 / 67
歯周病 、インプラント、 矯正 全顎治療
担当医 大元洋佑


充填物の変色を繰り返す前歯のセラミック治療
担当医 大元洋佑


[ 60代から行う矯正治療 ] すれ違った前歯を矯正したい
担当医 大元洋佑
![[ 60代から行う矯正治療 ] すれ違った前歯を矯正したいの症例 治療前](https://seimitsushinbi.jp/wp/wp-content/uploads/2025/05/7d4b62117175bc39b278a3e94528a306-500x350.jpg?v=1747795175)
![[ 60代から行う矯正治療 ] すれ違った前歯を矯正したいの症例 治療後](https://seimitsushinbi.jp/wp/wp-content/uploads/2025/05/ff42471f523f4680b73be1f88aadfafc-500x350.jpg?v=1747795319)
突き出た前歯を治したい 小臼歯抜歯+マルチブラケット矯正
担当医 大元洋佑


前歯のねじれをマウスピース矯正で治したい
担当医 大元洋佑


上下すれ違った前歯の矯正治療


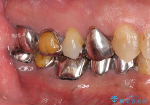
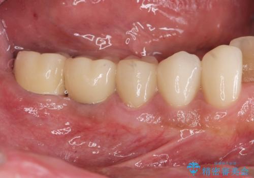
ブリッジのぐらつき インプラントを用いた奥歯の噛み合わせの再構築


スペース狭小な銀歯を白くしたい 歯冠長延長術を併用したセラミック治療


[ セラミック治療 ] 仮歯で放置した前歯をきれいにしたい
担当医 大元洋佑
![[ セラミック治療 ] 仮歯で放置した前歯をきれいにしたいの症例 治療前](https://seimitsushinbi.jp/wp/wp-content/uploads/2025/05/6890296d4c82e781ad96061d3f6d4f20-500x350.jpg?v=1746172426)
![[ セラミック治療 ] 仮歯で放置した前歯をきれいにしたいの症例 治療後](https://seimitsushinbi.jp/wp/wp-content/uploads/2025/05/81a7c44674b0a5de5dd831ff43275a2e-500x350.jpg?v=1746172464)
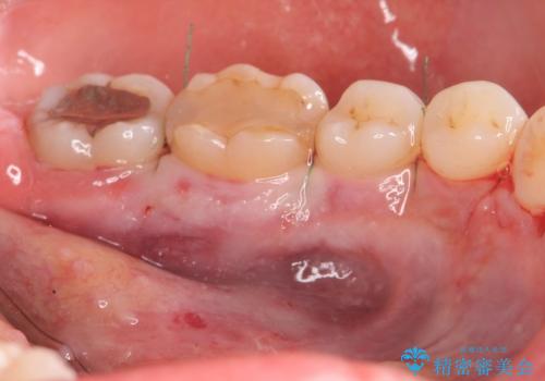
多数の銀歯と虫歯、セラミック・インプラント治療


[ マウスピース矯正治療 ] がたつき ねじれのある前歯をきれいにしたい
担当医 大元洋佑
![[ マウスピース矯正治療 ] がたつき ねじれのある前歯をきれいにしたいの症例 治療前](https://seimitsushinbi.jp/wp/wp-content/uploads/2025/04/8438e7299f1b9566ac213e8e9f7db5f6-500x350.jpg?v=1745226068)
![[ マウスピース矯正治療 ] がたつき ねじれのある前歯をきれいにしたいの症例 治療後](https://seimitsushinbi.jp/wp/wp-content/uploads/2025/04/IMG_0097-500x350.jpg?v=1745225947)
[ 歯周病治療 ] 無症状に進行した歯周病、歯周外科を用いたセラミック治療
![[ 歯周病治療 ] 無症状に進行した歯周病、歯周外科を用いたセラミック治療の症例 治療前](https://seimitsushinbi.jp/wp/wp-content/uploads/2025/04/7de572092e0b4c32e52888705b7eb14e-500x350.jpg?v=1745219693)
![[ 歯周病治療 ] 無症状に進行した歯周病、歯周外科を用いたセラミック治療の症例 治療後](https://seimitsushinbi.jp/wp/wp-content/uploads/2025/04/0ae1401da43ede0ff95e1f4a18608fde-500x350.jpg?v=1745219742)





![[ 上顎前突 ] マウスピースとマイクロインプラントを用いた抜歯をしない遠心移動矯正の症例 治療前](https://seimitsushinbi.jp/wp/wp-content/uploads/2025/04/IMG_6660-500x350.jpg?v=1745380316)
![[ 上顎前突 ] マウスピースとマイクロインプラントを用いた抜歯をしない遠心移動矯正の症例 治療後](https://seimitsushinbi.jp/wp/wp-content/uploads/2025/04/IMG_7513-500x350.jpg?v=1745380231)