症例・治療例紹介
Cases
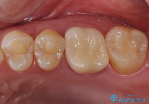
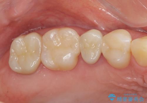
総合歯科治療 → 根管治療&セラミック治療
3ページ目 / 14
違和感のある銀歯の治療


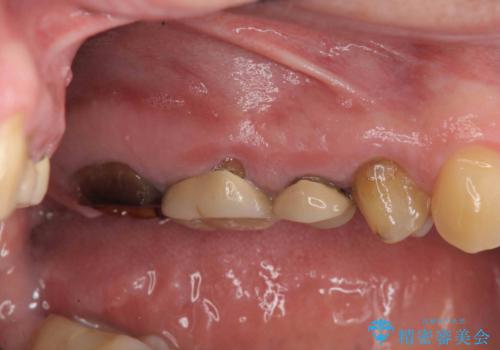
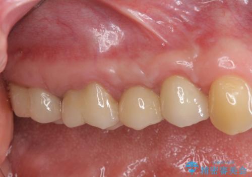
不適合な被せ物 ジルコニアクラウンでの再治療


歯のがたつき インビザラインで矯正


激しく痛む奥歯を治したい


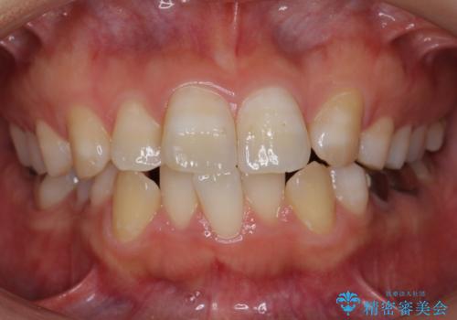
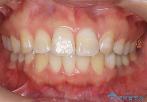
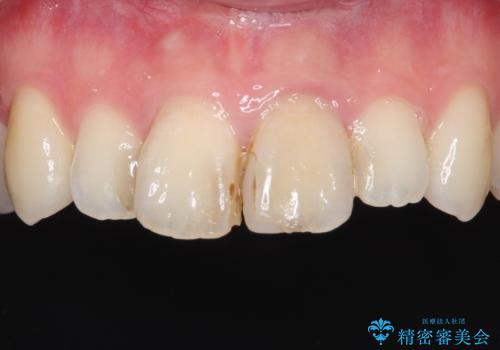
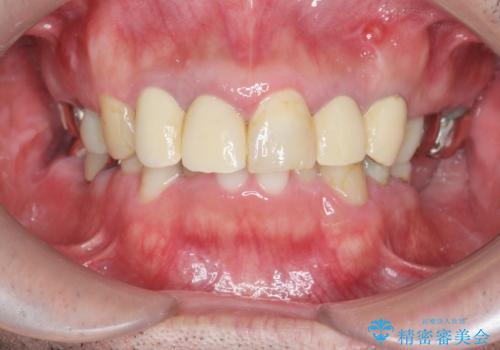
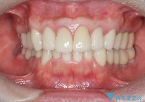
[ 前歯のセラミック治療 ] 変色した前歯を綺麗にしたい
![[ 前歯のセラミック治療 ] 変色した前歯を綺麗にしたいの症例 治療前](https://seimitsushinbi.jp/wp/wp-content/uploads/2023/09/0f897646359464dba78addc6988465c1-500x350.jpg?v=1694490118)
![[ 前歯のセラミック治療 ] 変色した前歯を綺麗にしたいの症例 治療後](https://seimitsushinbi.jp/wp/wp-content/uploads/2023/09/50b8fc6ca647f10fdd55a86b961cd4de-500x350.jpg?v=1694490145)
【破折ファイル除去】他院で折れた根管治療の器具をとってほしい


【根管治療・オールセラミッククラウン】何もしなくても歯が痛い 咬むと更に痛い


治療途中で放置してしまった歯 根管治療からのセラミック治療


【オールセラミッククラウン】メタルフリー治療


前歯の色が気になる【オールセラミッククラウン】


放置した虫歯を外科を行い抜歯を回避


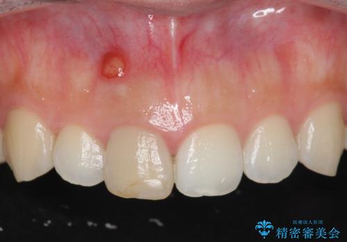
歯ぐきにできものができた 前歯の色調改善


根管治療・歯周外科を行い歯を残した、複合的虫歯治療


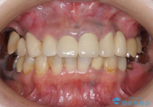
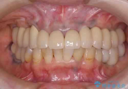
全顎的 虫歯治療 インプラント補綴


セラミック治療の注意事項(リスク・副作用など)
- 天然歯を削ります
- 硬い素材は天然歯を傷つけてしまう場合があります
- かみ合わせや歯ぎしりが強すぎる方はセラミックが割れてしまう可能性があります
- 自費診療(保険適用外治療)となります
根管治療の注意事項(リスク・副作用など)
- 根管治療により類似の全ての症例の問題が解決するわけではなく、症例はあくまでも一例です
- 根管治療により痛みや腫れがひかない事や、術後に痛みや腫れが生じる事、治療によるファイル破折やパーフォレーションなどの偶発症、術後の歯根破折を生じる可能性もあります
- 自費診療(保険適用外)となります


