症例詳細
Case detail
治療途中で放置してしまった歯 根管治療からのセラミック治療
治療症例の内容
- 担当医
- 大元洋佑(ドクタープロフィール)
- 患者様
- 30代男性
- 治療期間
- 1ヶ月
- 治療回数
- 2-5回
- 治療計画
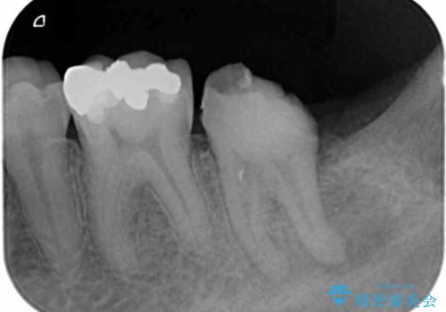
- 治療途中で放置してしまって歯が痛むので診て欲しい、と希望され来院されました。
X線写真を撮影すると、根尖部に大きな病変を認め、根管内の感染の除去から治療が必要な状態です。
根管治療→ファイバーコア築盛→セラミッククラウンの作製 を行い痛みを除去・咬合機能の回復を計画します。
- 費用(概算)
- 15.4万円費用は治療当時の料金となります
治療について
痛みなく噛めるようになり、歯の長期的な予後が期待できるような状態にすることができました。
根管治療の注意事項(リスク・副作用など)
- 根管治療により類似の全ての症例の問題が解決するわけではなく、症例はあくまでも一例です
- 根管治療により痛みや腫れがひかない事や、術後に痛みや腫れが生じる事、治療によるファイル破折やパーフォレーションなどの偶発症、術後の歯根破折を生じる可能性もあります
- 自費診療(保険適用外)となります
セラミック治療の注意事項(リスク・副作用など)
- 天然歯を削ります
- 硬い素材は天然歯を傷つけてしまう場合があります
- かみ合わせや歯ぎしりが強すぎる方はセラミックが割れてしまう可能性があります
- 自費診療(保険適用外治療)となります
当サイトの内容、テキスト、画像等の無断転載、複製、複写、盗用を固く禁じます。




