症例・治療例紹介
Cases
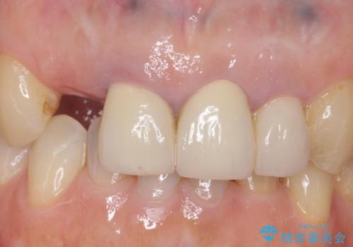
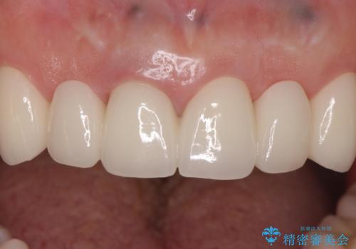
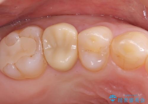
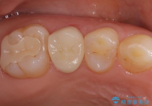
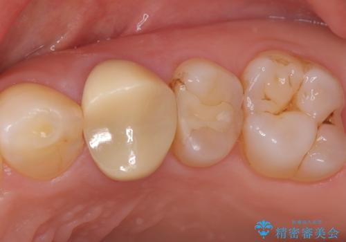
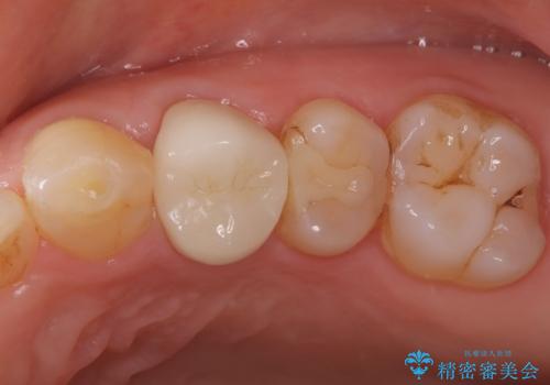
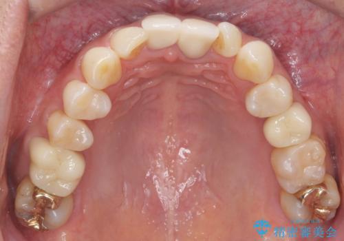
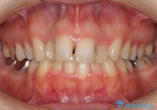
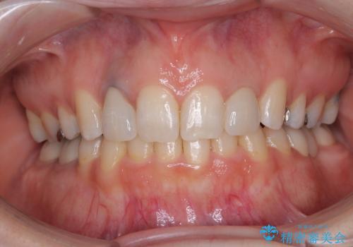
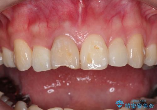
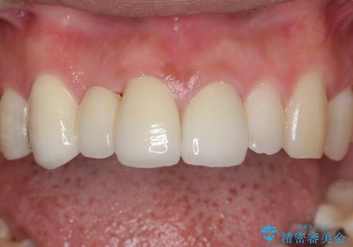
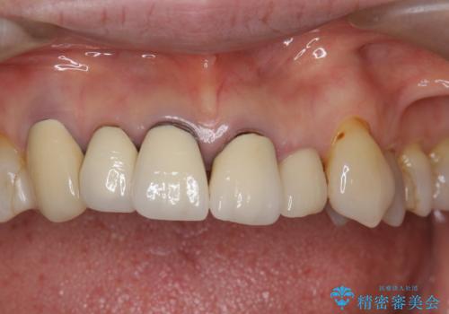
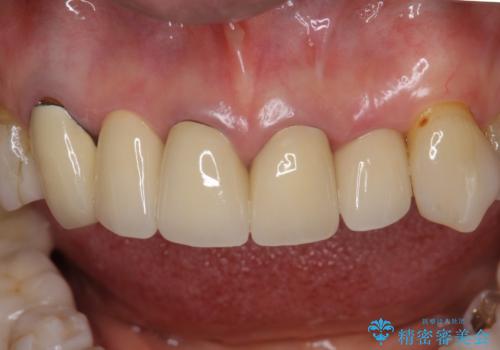
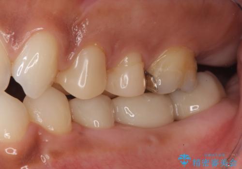
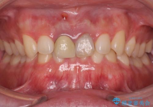
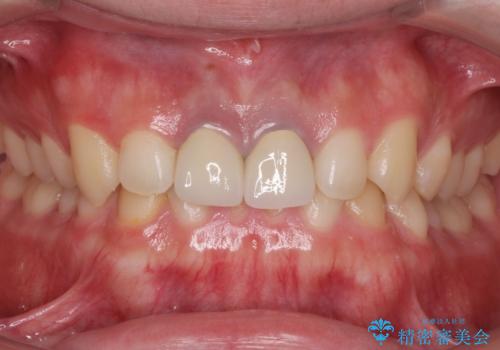
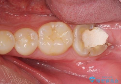
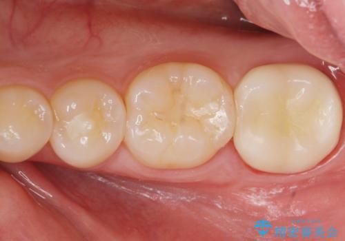
総合歯科治療 → 根管治療&セラミック治療
2ページ目 / 14
入れ歯を変えたい ブリッジでの修復治療


【オールセラミッククラウン】根管治療も行いたい。
担当医 河口智英


【外科的歯内療法】根管治療をしても違和感が残る
担当医 河口智英


【根管治療】ズーンと痛い歯の治療。


銀歯を白くして見た目を改善したい !


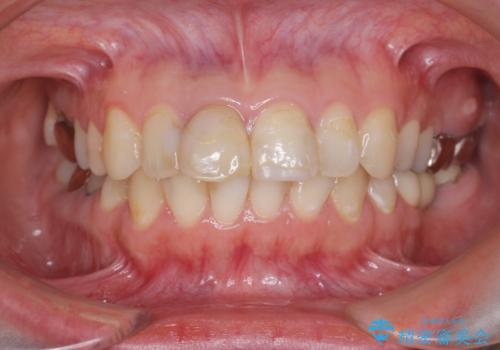
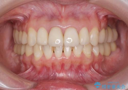
飛び出した上顎前歯とむし歯の多い歯列 目立たないハーフリンガル矯正とむし歯治療


黒っぽい歯ぐきを改善したい メタルフリーセラミック治療


前歯の変色 打撲により失活した前歯の根管・セラミック治療


器具が破折して残ったままの前歯


前歯をやむなく抜歯 ブリッジに 治療ついでに歯並びもよく


前歯のセラミック 神経の再治療から


奥歯の高さがない 20代で入れ歯もインプラントも難しい ブリッジで歯を残す治療


前歯の変色 神経のない歯の再治療


他院での治療に不信感 虫歯除去後のジルコニアクラウン


セラミック治療の注意事項(リスク・副作用など)
- 天然歯を削ります
- 硬い素材は天然歯を傷つけてしまう場合があります
- かみ合わせや歯ぎしりが強すぎる方はセラミックが割れてしまう可能性があります
- 自費診療(保険適用外治療)となります
根管治療の注意事項(リスク・副作用など)
- 根管治療により類似の全ての症例の問題が解決するわけではなく、症例はあくまでも一例です
- 根管治療により痛みや腫れがひかない事や、術後に痛みや腫れが生じる事、治療によるファイル破折やパーフォレーションなどの偶発症、術後の歯根破折を生じる可能性もあります
- 自費診療(保険適用外)となります


