症例詳細
Case detail
[ 歯周病治療 ] 無症状に進行した歯周病、歯周外科を用いたセラミック治療
治療症例の内容
- 診療科目
- 担当医
- 大元洋佑(ドクタープロフィール)
- 患者様
- 50代女性
- 治療期間
- 5ヶ月
- 治療回数
- 5-10回
- 治療計画
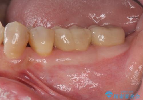
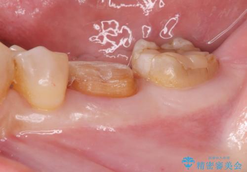
- 「長年歯医者に行っていないので、一生自分の歯で噛めるように虫歯・歯周病のチェックをしてほしい。」と希望され来院されました。
左下奥歯には、銀歯やコンポジットレジン修復の下に小さな虫歯の再発も認められましたが、歯周ポケットが全周に渡り約5mm存在している状態でした。
このまま歯周病が進行し抜歯を余儀なくされ、インプラント治療が視野に入る前に歯周外科を行い歯周病の問題を解決することで、
安定した歯周環境の確立を図ります。
- 費用(概算)
- 39.6万円(ジルコニアクラウン×2・仮歯×2 ・歯周外科手術 )費用は治療当時の料金となります
治療について
歯周外科を行ったことで、もともと5mmあった歯周ポケットは約2mmへと大幅に改善し、しっかりと清掃のできる状態へと改善することができました
外科処置の注意事項(リスク・副作用など)
- 外科手術のため、術後に出血、痛みや腫れ、違和感を伴います
- 口腔内の状態によっては適応できないことがあります
セラミック治療の注意事項(リスク・副作用など)
- 天然歯を削ります
- 硬い素材は天然歯を傷つけてしまう場合があります
- かみ合わせや歯ぎしりが強すぎる方はセラミックが割れてしまう可能性があります
- 自費診療(保険適用外治療)となります
当サイトの内容、テキスト、画像等の無断転載、複製、複写、盗用を固く禁じます。

![[ 歯周病治療 ] 無症状に進行した歯周病、歯周外科を用いたセラミック治療の治療前](https://seimitsushinbi.jp/wp/wp-content/uploads/2025/04/7de572092e0b4c32e52888705b7eb14e-500x350.jpg?v=1745219693)
![[ 歯周病治療 ] 無症状に進行した歯周病、歯周外科を用いたセラミック治療の治療中](https://seimitsushinbi.jp/wp/wp-content/uploads/2025/04/40cf3776aba8ce4c9e31372e2144262e-500x350.jpg?v=1745219700)
![[ 歯周病治療 ] 無症状に進行した歯周病、歯周外科を用いたセラミック治療の治療後](https://seimitsushinbi.jp/wp/wp-content/uploads/2025/04/0ae1401da43ede0ff95e1f4a18608fde-500x350.jpg?v=1745219742)
![[ 歯周病治療 ] 無症状に進行した歯周病、歯周外科を用いたセラミック治療の治療前](https://seimitsushinbi.jp/wp/wp-content/uploads/2025/04/CI10-500x350.jpg?v=1745220367)
![[ 歯周病治療 ] 無症状に進行した歯周病、歯周外科を用いたセラミック治療の治療中](https://seimitsushinbi.jp/wp/wp-content/uploads/2025/04/c45a6dc5ad19224607627408848b2713-500x350.jpg?v=1745219717)
![[ 歯周病治療 ] 無症状に進行した歯周病、歯周外科を用いたセラミック治療の治療後](https://seimitsushinbi.jp/wp/wp-content/uploads/2025/04/ec44dfb555bc8fa88d3dfe459c0aac52-500x350.jpg?v=1745219695)
![[ 歯周病治療 ] 無症状に進行した歯周病、歯周外科を用いたセラミック治療の治療前](https://seimitsushinbi.jp/wp/wp-content/uploads/2025/04/671faa1891bd40d3a3a00c580b09e544-500x350.jpg?v=1745219685)
![[ 歯周病治療 ] 無症状に進行した歯周病、歯周外科を用いたセラミック治療の治療中](https://seimitsushinbi.jp/wp/wp-content/uploads/2025/04/f6405e6fbaa1da9191ef3c3e5435eb0a-500x350.jpg?v=1745219722)
![[ 歯周病治療 ] 無症状に進行した歯周病、歯周外科を用いたセラミック治療の治療後](https://seimitsushinbi.jp/wp/wp-content/uploads/2025/04/30f886301a345166b90bf382fa4abb99-500x350.jpg?v=1745219735)
![[ 歯周病治療 ] 無症状に進行した歯周病、歯周外科を用いたセラミック治療の治療中](https://seimitsushinbi.jp/wp/wp-content/uploads/2025/04/afc8bb8f9d3c41b8b16d988e56c7659d-500x350.jpg?v=1745219706)
![[ 歯周病治療 ] 無症状に進行した歯周病、歯周外科を用いたセラミック治療の治療中](https://seimitsushinbi.jp/wp/wp-content/uploads/2025/04/9f2884cfd7a41a2b30104b254f727c0b-500x350.jpg?v=1745219711)