症例・治療例紹介
Cases
歯周病治療 → 歯周外科治療
2ページ目 / 12
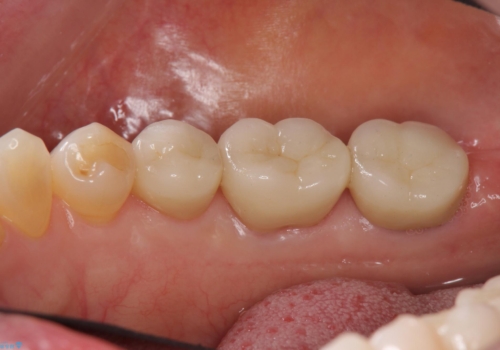
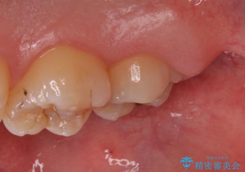
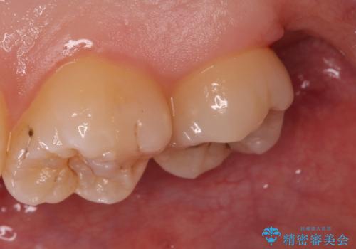
[ 歯冠長延長術 ] クラウンスペースの確保を行い抜歯を回避
![[ 歯冠長延長術 ] クラウンスペースの確保を行い抜歯を回避の症例 治療前](https://seimitsushinbi.jp/wp/wp-content/uploads/2024/08/70e2e357470ac1fd6c1489f5d90a7b82-500x350.jpg?v=1724393985)
![[ 歯冠長延長術 ] クラウンスペースの確保を行い抜歯を回避の症例 治療後](https://seimitsushinbi.jp/wp/wp-content/uploads/2024/08/55bc634e756d10cce362016c1293fafc-500x350.jpg?v=1724393990)
奥歯の高さがない 歯周外科処置で解決 (クラウンレングスニング)


奥歯の高さがない 歯周外科で解決


壊れやすいブリッジ インプラント治療で安定した咬み合わせに


酸蝕歯でボロボロの歯の審美歯科治療 矯正治療も併用して、美しい口元へ


インプラント・ブリッジ補綴を含む、歯周病全顎治療
担当医 大元洋佑


歯の高さがない 被せ物のやりなおし


歯ぐきの形を整え、外れにくい被せ物を装着


前歯をきれいにしたい、セラミック矯正
担当医 吉﨑ゆりな


[ 歯肉縁下齲蝕 ] 歯周外科を行った虫歯治療
![[ 歯肉縁下齲蝕 ] 歯周外科を行った虫歯治療の症例 治療前](https://seimitsushinbi.jp/wp/wp-content/uploads/2023/05/a64b0434e936f69092c4868d7fec9b97-500x350.jpg?v=1684994566)
![[ 歯肉縁下齲蝕 ] 歯周外科を行った虫歯治療の症例 治療後](https://seimitsushinbi.jp/wp/wp-content/uploads/2023/05/fa1958073cf4724216bea0bd1890c46a-500x350.jpg?v=1684994581)
歯の高さを出すための親知らず抜歯と歯肉切除
担当医 岡田康成


[ 重度歯周病 ] 骨造成・インプラント治療による咬合機能の回復
![[ 重度歯周病 ] 骨造成・インプラント治療による咬合機能の回復の症例 治療前](https://seimitsushinbi.jp/wp/wp-content/uploads/2023/03/14ce77237eb07b97238f044a087dfe7d-500x350.jpg?v=1678759178)
![[ 重度歯周病 ] 骨造成・インプラント治療による咬合機能の回復の症例 治療後](https://seimitsushinbi.jp/wp/wp-content/uploads/2023/03/653ce5328b3ab59b9ab143b906ecba0e-500x350.jpg?v=1678759187)
歯周病治療の注意事項(リスク・副作用など)
- 外科手術のため、術後に痛みや腫れ、違和感を伴います
- 歯周組織再生治療は患者様の状態によって術後の経過が異なります(見た目が改善しない場合もあります)
- 歯周組織再生治療は自費診療(保険適用外)となります






