症例詳細
Case detail
ナイトガードで歯ぎしり予防
治療症例の内容
- 診療科目
- 治療カテゴリ
- 担当医
- 青山卓弘(ドクタープロフィール)
- 患者様
- 40代女性
- 治療期間
- 1ヶ月
- 治療回数
- 2-5回
- 治療計画
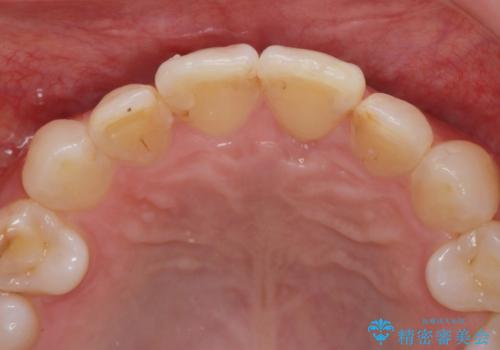
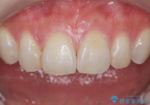
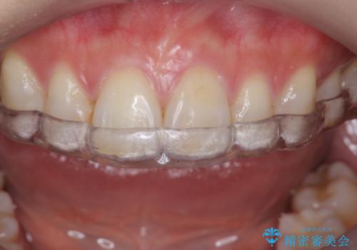
- う蝕治療や矯正治療を終えた患者様です。
歯ぎしりや歯の保護のためにナイトガードを作製しました。
- 費用(概算)
- 自費ナイトガード 3.3万円費用は治療当時の料金となります
治療について
ナイトガードは歯の保護だけではなく、矯正治療後の歯の後戻りの防止もしてくれます。
その他の注意事項(リスク・副作用など)
- 担当歯科医師、歯科衛生士又は医院スタッフから受けた説明・注意事項をよくご確認ください
- 医療を提供するに当たり、適切な説明を行い、患者様の十分な理解を得るよう努めております
当サイトの内容、テキスト、画像等の無断転載、複製、複写、盗用を固く禁じます。







