症例詳細
Case detail
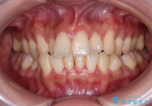
後戻りの再矯正 ワイヤー装置でデコボコと隙間を改善
治療症例の内容
- 診療科目
- 担当医
- 藤巻太一朗(ドクタープロフィール)
- 患者様
- 30代女性
- 矯正装置
- クリアブラケット
- 治療期間
- 1年
- 治療回数
- 10-30回
- 治療計画
- 学生時代の抜歯矯正の後戻りが気になり、再矯正を希望して来院された患者様です。
マウスピース矯正は継続する自信がなく、気になるところを短期間で改善したいとのことで、ワイヤー装置にて矯正治療を行うこととしました。
- 費用(概算)
- 治療費の目安: 95万円(税込)費用は治療当時の料金となります
治療について
詰め物で隠していた下顎前歯の隙間は、歯軸を改善することで詰め物を除去しても隙間が目立たなくなりました。
まだ改善したいところはありましたが、患者様自身は大変満足されたとのことで、治療を終えることとなりました。
ワイヤー矯正の注意事項(リスク・副作用など)
- 治療中は違和感や痛みが起こることがあります
- 症状により、抜歯が必要な場合があります
- 治療中は歯磨きがしにくくなるため、虫歯や歯周病になりやすくなります
- 矯正治療後の保定が不十分だと後戻り(元の位置に戻ろうとする動き)をします
- 自費診療(保険適用外)となります
当サイトの内容、テキスト、画像等の無断転載、複製、複写、盗用を固く禁じます。


























