症例・治療例紹介
Cases
矯正歯科治療 → 部分矯正
8ページ目 / 14
折れた前歯を使えるように、抜かないで残す方法


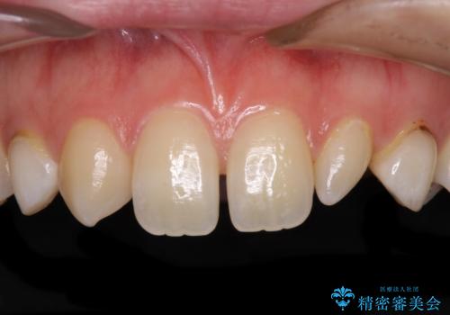
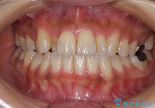
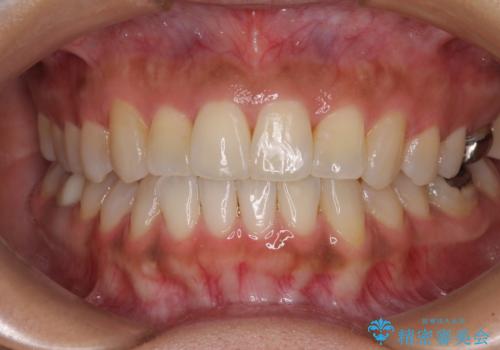
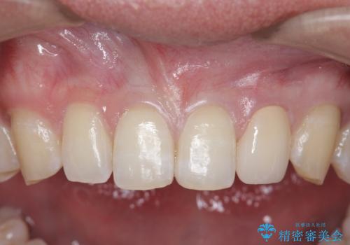
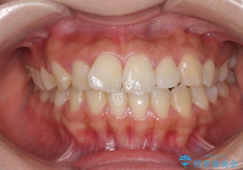
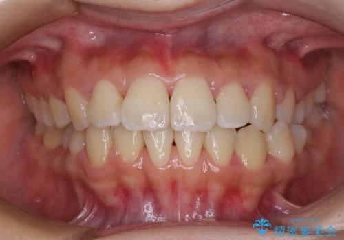
[ 矯正と補綴、総合歯科治療 ] クロスバイトを避ける前歯部審美ブリッジ
![[ 矯正と補綴、総合歯科治療 ] クロスバイトを避ける前歯部審美ブリッジの症例 治療前](https://seimitsushinbi.jp/wp/wp-content/uploads/2021/07/IMG_9914-500x350.jpg?v=1626697179)
![[ 矯正と補綴、総合歯科治療 ] クロスバイトを避ける前歯部審美ブリッジの症例 治療後](https://seimitsushinbi.jp/wp/wp-content/uploads/2021/07/fcd77503a97e2f3a648f6e8698e34626-500x350.jpg?v=1626697051)
小矯正を伴う臼歯部ブリッジ治療
担当医 大元洋佑


前歯の奇形歯 オールセラミッククラウンによる審美歯科治療


変色した前歯のクラウン オールセラミッククラウンにより審美歯科治療


【モニター】幅の狭い上顎歯列 骨幅を拡大する矯正治療
担当医 藤巻太一朗


オールセラミッククラウン 部分矯正


気になる部分を全て治療 総合歯科治療で口腔内環境改善
担当医 藤巻太一朗


深い虫歯で歯茎が腫れる 部分矯正を用いたむし歯治療


オールセラミッククラウン 歯の挺出・歯周外科による歯茎より深い虫歯の治療


部分矯正とセラミック 前歯の審美治療


ワイヤー矯正歯科治療の注意事項(リスク・副作用など)
- 治療中は違和感や痛みが起こることがあります
- 症状により、抜歯が必要な場合があります
- 治療中は歯磨きがしにくくなるため、虫歯や歯周病になりやすくなります
- 矯正治療後の保定が不十分だと後戻り(元の位置に戻ろうとする動き)をします
- 自費診療(保険適用外)となります
マウスピース矯正の注意事項(リスク・副作用など)
- 口腔内・歯並びの状態によっては対応できない場合があります
- マウスピース型矯正装置の長時間装着が必須です
- 治療計画通りに進めるためには、患者様の意志が重要になります
- 矯正治療後の保定が不十分だと後戻り(元の位置に戻ろうとする動き)をします
- 自費診療(保険適用外)となります








