症例詳細
Case detail
折れた前歯を使えるように、抜かないで残す方法
- 患者様
- 50代男性
- 治療期間
- 10ヶ月
- 治療回数
- 5-10回
- 治療計画
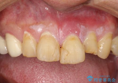
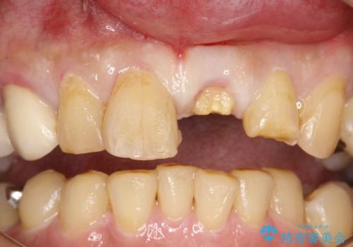
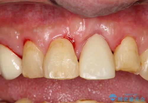
- 左の前歯で硬いものを咬んだら、歯からバキッと音がしてその衝撃で痛みが出た、その後前歯がゆれると来院されました。
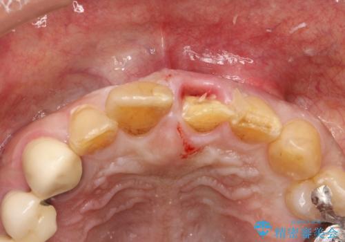
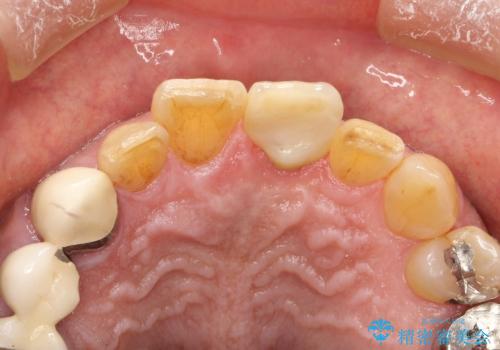
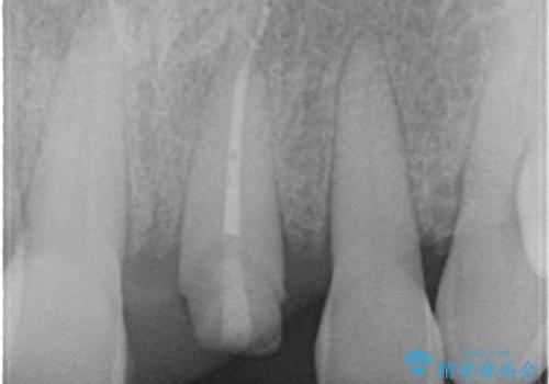
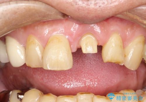
左上1が水平的に割れている状態で、歯冠を取り除くと神経が露出しており、唇側はかなり歯肉縁下で破折しており、そのままではかぶせものを入れるのは難しい状態でした。
抜かずになるべくその歯を残して使っていきたいとのことで、
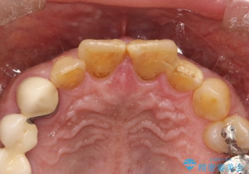
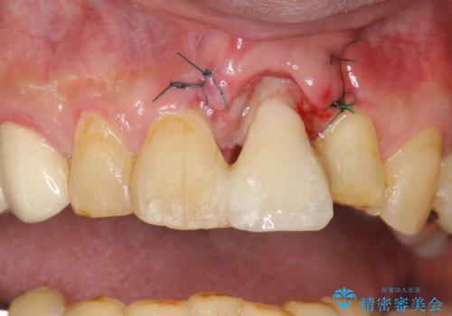
根管治療をした上で歯を引っ張りだして(エクストリュージョン)、その後、骨外科にて歯周組織を整えた上で、かぶせものを入れていく治療計画をたてました。
- 費用(概算)
- 35万円費用は治療当時の料金となります
治療について
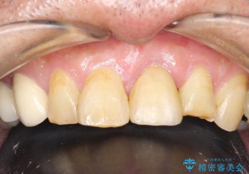
とても治療に対しての意識が高い方で、最初のころは歯磨きもあまりできていませんでしたが、衛生士さんの指導もあり、治療を進めるうちにプラークコントロールも改善していました。
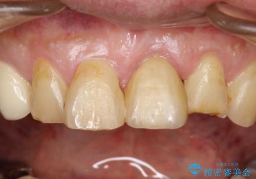
歯を引っ張りあげたり、手術をしたあとの治り待ちをしたり、治療に時間がかかる方法ではありましたが、抜かずにその歯を使うことができたことで、患者さんにはとても満足していただけています。
セラミック治療の注意事項(リスク・副作用など)
- 天然歯を削ります
- 硬い素材は天然歯を傷つけてしまう場合があります
- かみ合わせや歯ぎしりが強すぎる方はセラミックが割れてしまう可能性があります
- 自費診療(保険適用外治療)となります
根管治療の注意事項(リスク・副作用など)
- 根管治療により類似の全ての症例の問題が解決するわけではなく、症例はあくまでも一例です
- 根管治療により痛みや腫れがひかない事や、術後に痛みや腫れが生じる事、治療によるファイル破折やパーフォレーションなどの偶発症、術後の歯根破折を生じる可能性もあります
- 自費診療(保険適用外)となります
外科処置の注意事項(リスク・副作用など)
- 外科手術のため、術後に出血、痛みや腫れ、違和感を伴います
- 口腔内の状態によっては適応できないことがあります
当サイトの内容、テキスト、画像等の無断転載、複製、複写、盗用を固く禁じます。






















