症例・治療例紹介
Cases
矯正歯科治療 → インビザライン
3ページ目 / 76
MARPEで非抜歯矯正|オープンバイトと八重歯を改善


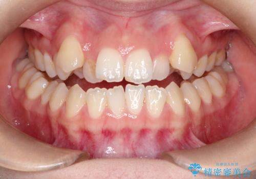
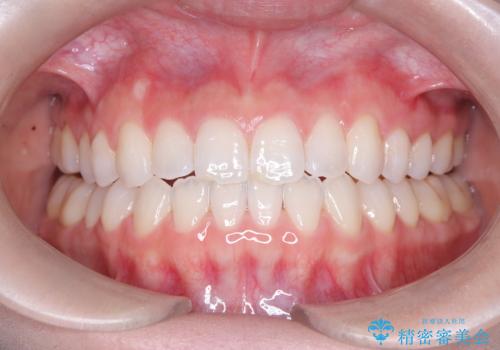
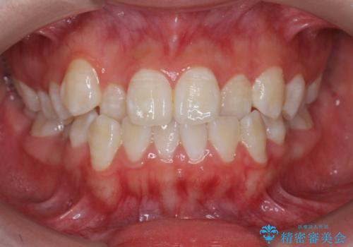
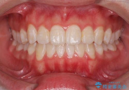
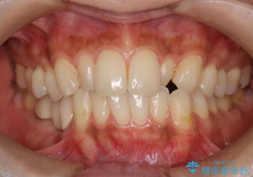
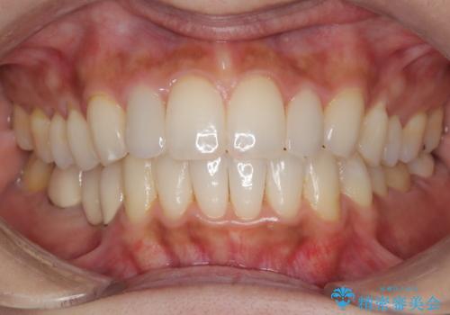
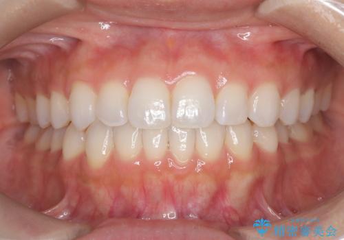
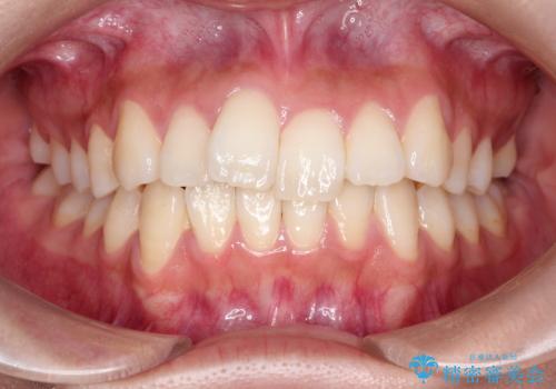
[ 60代から行う矯正治療 ] すれ違った前歯を矯正したい
担当医 大元洋佑
![[ 60代から行う矯正治療 ] すれ違った前歯を矯正したいの症例 治療前](https://seimitsushinbi.jp/wp/wp-content/uploads/2025/05/7d4b62117175bc39b278a3e94528a306-500x350.jpg?v=1747795175)
![[ 60代から行う矯正治療 ] すれ違った前歯を矯正したいの症例 治療後](https://seimitsushinbi.jp/wp/wp-content/uploads/2025/05/ff42471f523f4680b73be1f88aadfafc-500x350.jpg?v=1747795319)
前歯のねじれをマウスピース矯正で治したい
担当医 大元洋佑


上下すれ違った前歯の矯正治療


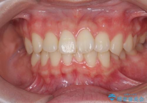
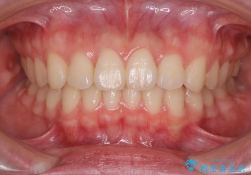
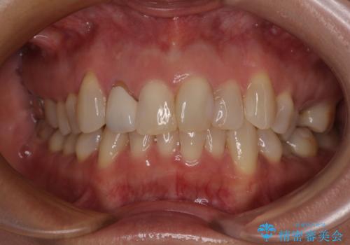
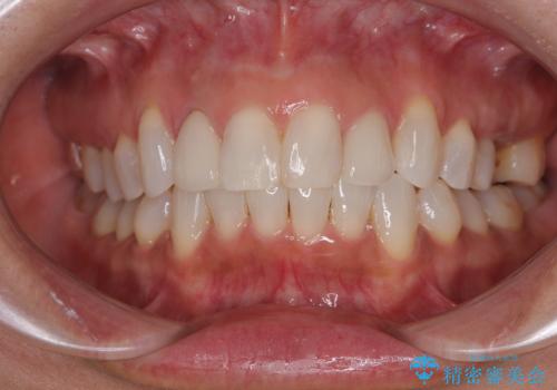
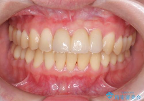
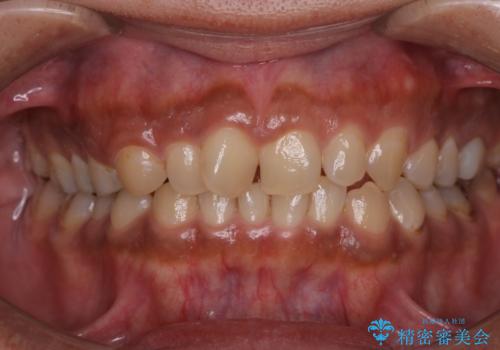
[インビザラインライト] すきっ歯を治したい。
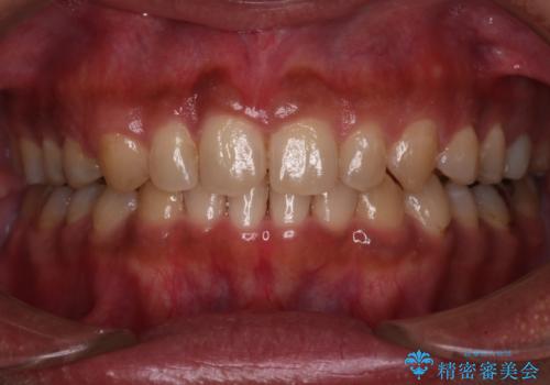
![[インビザラインライト] すきっ歯を治したい。の症例 治療前](https://seimitsushinbi.jp/wp/wp-content/uploads/2025/05/IMG_2278-500x350.jpg?v=1746624784)
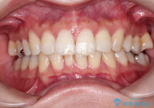
![[インビザラインライト] すきっ歯を治したい。の症例 治療後](https://seimitsushinbi.jp/wp/wp-content/uploads/2025/05/IMG_8878-500x350.jpg?v=1746624912)
前歯のデコボコとむし歯治療の跡 インビザライン矯正とオールセラミッククラウン治療


矮小歯を伴う叢生を審美的に改善|インビザライン矯正+セラミッククラウン修復


前歯の開咬とシザーズバイトを改善|インビザライン矯正


[ マウスピース矯正治療 ] がたつき ねじれのある前歯をきれいにしたい
担当医 大元洋佑
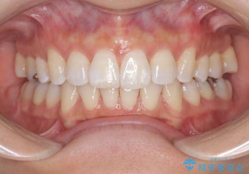
![[ マウスピース矯正治療 ] がたつき ねじれのある前歯をきれいにしたいの症例 治療前](https://seimitsushinbi.jp/wp/wp-content/uploads/2025/04/8438e7299f1b9566ac213e8e9f7db5f6-500x350.jpg?v=1745226068)
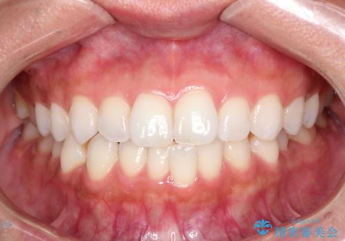
![[ マウスピース矯正治療 ] がたつき ねじれのある前歯をきれいにしたいの症例 治療後](https://seimitsushinbi.jp/wp/wp-content/uploads/2025/04/IMG_0097-500x350.jpg?v=1745225947)
[ マウスピース矯正] 前歯のがたつき 出っ歯に見える歯をきれいに
担当医 大元洋佑
![[ マウスピース矯正] 前歯のがたつき 出っ歯に見える歯をきれいに の症例 治療前](https://seimitsushinbi.jp/wp/wp-content/uploads/2025/04/IMG_0123-500x350.jpg?v=1744960747)
![[ マウスピース矯正] 前歯のがたつき 出っ歯に見える歯をきれいに の症例 治療後](https://seimitsushinbi.jp/wp/wp-content/uploads/2025/04/a5c1eab0aff12598c7b5c9fb710c2648-500x350.jpg?v=1744960670)
【モニター】インビザライン 前歯の捻れを治したい


マウスピース矯正の注意事項(リスク・副作用など)
- 口腔内・歯並びの状態によっては対応できない場合があります
- マウスピース型矯正装置の長時間装着が必須です
- 治療計画通りに進めるためには、患者様の意志が重要になります
- 矯正治療後の保定が不十分だと後戻り(元の位置に戻ろうとする動き)をします
- 自費診療(保険適用外)となります







![[ 上顎前突 ] マウスピースとマイクロインプラントを用いた抜歯をしない遠心移動矯正の症例 治療前](https://seimitsushinbi.jp/wp/wp-content/uploads/2025/04/IMG_6660-500x350.jpg?v=1745380316)
![[ 上顎前突 ] マウスピースとマイクロインプラントを用いた抜歯をしない遠心移動矯正の症例 治療後](https://seimitsushinbi.jp/wp/wp-content/uploads/2025/04/IMG_7513-500x350.jpg?v=1745380231)