症例・治療例紹介
Cases
矯正歯科治療 → インビザライン
16ページ目 / 76
骨格性の受け口 非抜歯で下の歯を後ろに下げる インビザラインで インプラント矯正


八重歯をインビザラインで 抜歯矯正


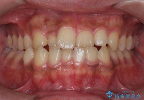
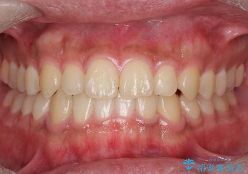
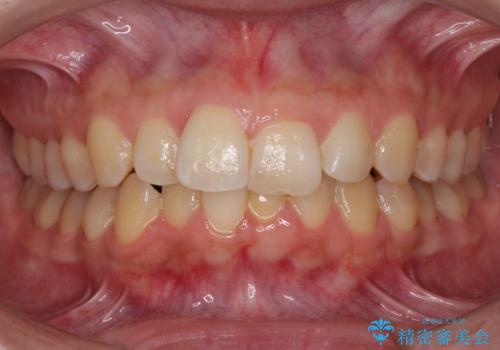
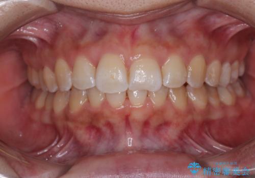
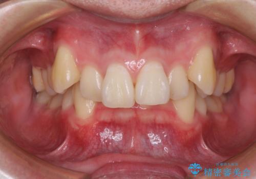
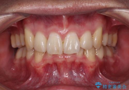
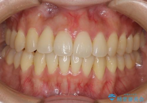
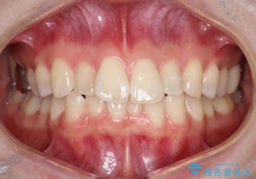
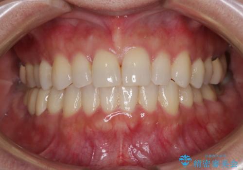
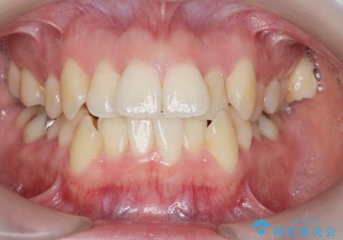
[ マウスピース矯正 ] がたがたした歯並びを治したい
担当医 大元洋佑
![[ マウスピース矯正 ] がたがたした歯並びを治したいの症例 治療前](https://seimitsushinbi.jp/wp/wp-content/uploads/2024/04/IMG_0106-500x350.jpg?v=1711951424)
![[ マウスピース矯正 ] がたがたした歯並びを治したいの症例 治療後](https://seimitsushinbi.jp/wp/wp-content/uploads/2024/04/46939b7482334672d3a091da1562afec-500x350.jpg?v=1711951403)
前歯のデコボコをインビザライン矯正で綺麗に改善
担当医 藤巻太一朗


前歯のデコボコが気になる インビザラインによる矯正治療
担当医 藤巻太一朗


40代男性 今からでも遅くない インビザラインで綺麗な歯列を獲得


八重歯の抜歯矯正 インビザラインを用いて気になる歯並びを改善


前歯のデコボコを治したい インビザライン矯正治療


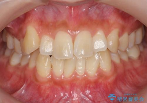
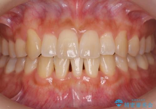
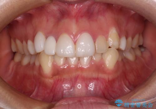
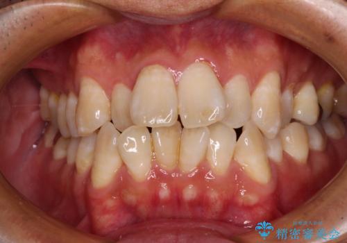
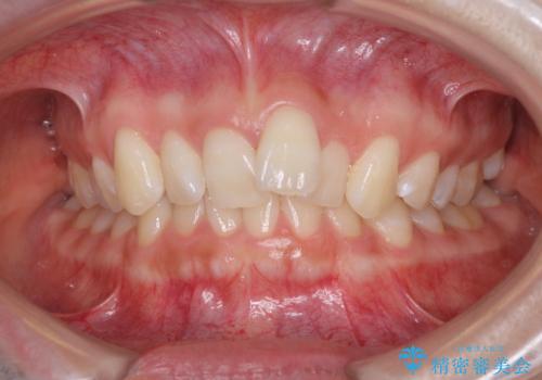
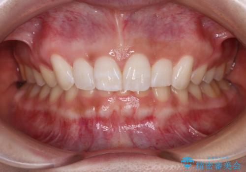
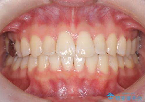
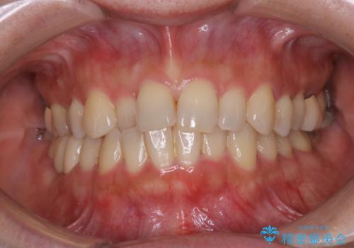
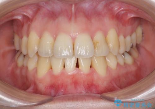
[ 総合歯科診療 ] がたつきの改善とセラミック治療
![[ 総合歯科診療 ] がたつきの改善とセラミック治療の症例 治療前](https://seimitsushinbi.jp/wp/wp-content/uploads/2024/03/f0f438a14c56b185411649f48b5b188c-500x350.jpg?v=1710833163)
![[ 総合歯科診療 ] がたつきの改善とセラミック治療の症例 治療後](https://seimitsushinbi.jp/wp/wp-content/uploads/2024/03/7212917eb9c4ef33050c52e7f9724490-500x350.jpg?v=1710833188)
出っ歯と歯のねじれ 非抜歯で 30代男性


本来は外科ケース:インビザラインで前歯の重度がたつきとオープンバイトの改善


インビザライン矯正 短期間でがたつきのないきれいな歯並びに


前歯のガタつきをマウスピース矯正で改善


マウスピース矯正の注意事項(リスク・副作用など)
- 口腔内・歯並びの状態によっては対応できない場合があります
- マウスピース型矯正装置の長時間装着が必須です
- 治療計画通りに進めるためには、患者様の意志が重要になります
- 矯正治療後の保定が不十分だと後戻り(元の位置に戻ろうとする動き)をします
- 自費診療(保険適用外)となります




