症例・治療例紹介
Cases
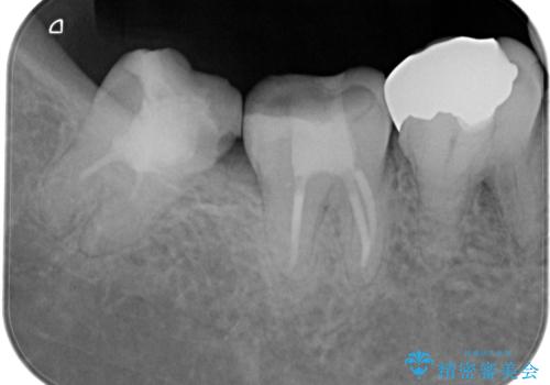
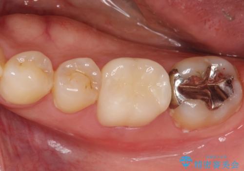
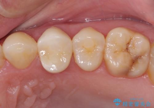
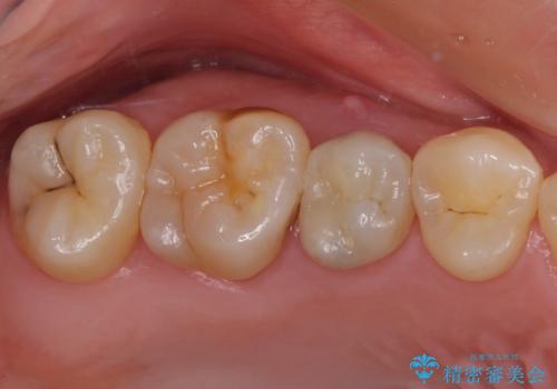
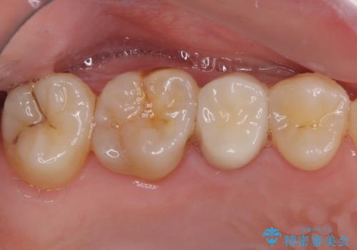
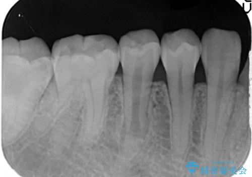
根管治療 → イニシャルトリートメント
3ページ目 / 7
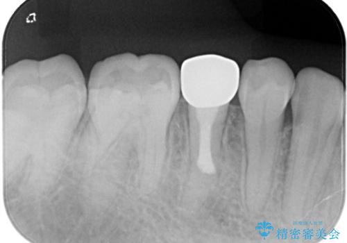
【根管治療】噛んだ時にしみる。最近になってズキズキ痛み、長引く痛みがある
担当医 河口智英


[ 再生治療・歯周外科・小矯正・セラミック補綴 ] 前歯の歯周病治療
担当医 大元洋佑
![[ 再生治療・歯周外科・小矯正・セラミック補綴 ] 前歯の歯周病治療の症例 治療前](https://seimitsushinbi.jp/wp/wp-content/uploads/2022/12/83065c2454a29ed71cf190e15a6106f4-500x350.jpg?v=1671673398)
![[ 再生治療・歯周外科・小矯正・セラミック補綴 ] 前歯の歯周病治療の症例 治療後](https://seimitsushinbi.jp/wp/wp-content/uploads/2022/12/ec16e37ee53325a6f6629b94759f5513-500x350.jpg?v=1671673454)
放置した虫歯 根管治療とオールセラミッククラウン


食事の度に痛む 根管治療とオールセラミッククラウン


抜歯が必要と言われた前歯 根管治療とオールセラミッククラウン


他院で治療しているが痛みが治らない 根管治療とセラミック補綴治療


根管治療から被せ物の治療


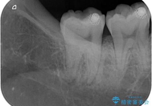
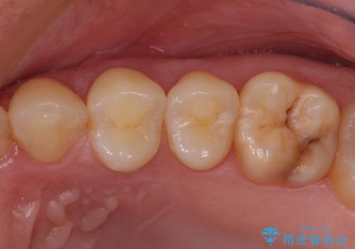
【根管治療】ズキズキ痛い歯の治療
担当医 河口智英


食事をするときに痛む 根管治療とセラミック補綴治療


[インビザライン] 前歯のガタつき・すれ違い マウスピース矯正治療
![[インビザライン] 前歯のガタつき・すれ違い マウスピース矯正治療の症例 治療前](https://seimitsushinbi.jp/wp/wp-content/uploads/2021/08/0b21121c07cfd741f7e6e7110f2c1705-500x350.jpg?v=1629705726)
![[インビザライン] 前歯のガタつき・すれ違い マウスピース矯正治療の症例 治療後](https://seimitsushinbi.jp/wp/wp-content/uploads/2021/08/IMG_3357-500x350.jpg?v=1629705763)
折れた前歯を使えるように、抜かないで残す方法


歯肉にできものがある、根管治療からセラミッククラウンまで


神経が死んで変色した歯 根管治療とオールセラミッククラウン


【中心結節破折】MTAセメントを用いたアペキシフィケーション


【サイナストラクト】歯肉に膿の出口がある歯の治療


根管治療の注意事項(リスク・副作用など)
- 根管治療により類似の全ての症例の問題が解決するわけではなく、症例はあくまでも一例です
- 根管治療により痛みや腫れがひかない事や、術後に痛みや腫れが生じる事、治療によるファイル破折やパーフォレーションなどの偶発症、術後の歯根破折を生じる可能性もあります
- 自費診療(保険適用外)となります
