症例詳細
Case detail
根管治療から被せ物の治療
治療症例の内容
- 診療科目
- 担当医
- 河口智英(ドクタープロフィール)
- 患者様
- 20代女性
- 治療期間
- 2ヶ月
- 治療回数
- 2-5回
- 治療計画
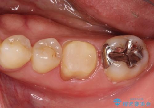
- 噛んだ時の痛みを主訴に当院受診されました。
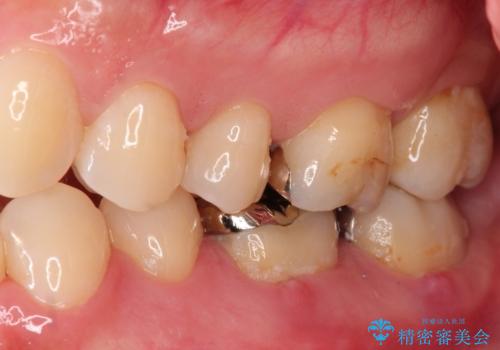
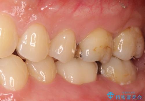
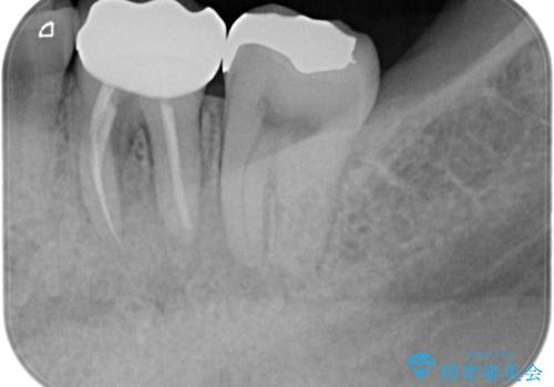
根管治療を行なったのち、症状改善を認めオールセラミッククラウンにて修復治療を行なっております。
┌7は今回の治療後打診(-)、正常歯髄へ診断のもと経過観察を行なっております。
- 費用(概算)
- 30万円費用は治療当時の料金となります
治療について
根管治療後は速やかに歯冠修復が必要です。
セラミック治療の注意事項(リスク・副作用など)
- 天然歯を削ります
- 硬い素材は天然歯を傷つけてしまう場合があります
- かみ合わせや歯ぎしりが強すぎる方はセラミックが割れてしまう可能性があります
- 自費診療(保険適用外治療)となります
根管治療の注意事項(リスク・副作用など)
- 根管治療により類似の全ての症例の問題が解決するわけではなく、症例はあくまでも一例です
- 根管治療により痛みや腫れがひかない事や、術後に痛みや腫れが生じる事、治療によるファイル破折やパーフォレーションなどの偶発症、術後の歯根破折を生じる可能性もあります
- 自費診療(保険適用外)となります
当サイトの内容、テキスト、画像等の無断転載、複製、複写、盗用を固く禁じます。










