症例・治療例紹介
Cases
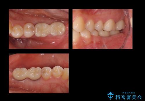
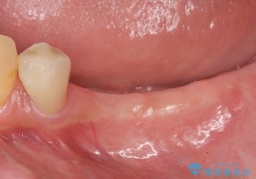
インプラント治療 → 奥歯インプラント
11ページ目 / 36
前歯をきれいにしたい インプラントや部分矯正を用いた総合歯科治療


割れてしまった奥歯とデコボコの前歯 矯正治療とインプラント治療


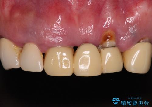
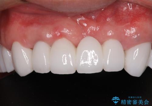
欠損と虫歯だらけの口の中 真っ白なセラミック治療


デコボコと膨らんだ口元 ハーフリンガルによる抜歯矯正とインプラント補綴治療


歯周病に対する全体治療


追加のインプラントと、歯肉移植による磨きやすい歯肉に改善


奥歯のセラミックがすぐに壊れる 欠損した奥歯へのインプラント治療


骨の造成を行った上顎インプラント治療


歯科でトラウマ 怖くて行っていなかったが、今度こそきちんと治療したい


全顎的 虫歯治療 インプラント補綴


くいしばりで割れたブリッジの支台歯 インプラント再補綴


インプラント治療の注意事項(リスク・副作用など)
- 外科手術のため、術後に痛みや腫れ、違和感を伴います
- メンテナンスを怠ったり喫煙により、お口の中に大きな悪影響を及ぼすインプラント周囲炎等にかかる可能性があります
- 糖尿病、肝硬変、心臓病等の場合、インプラント治療ができない可能性があります
- 高血圧、貧血・不整脈等の場合、インプラント治療後に治癒不全を招く可能性があります
- 自費診療(保険適用外治療)となります








